2. 东阳市人民医院超声科,东阳 322100;
3. 东阳市人民医院放射科,东阳 322100
局限性内膜撕裂(limited intimal tear, LIT)是一种罕见且易被忽视的主动脉病变,与典型主动脉夹层(aortic dissection, AD)相关但存在差异,且更易误诊漏诊而造成致死性后果,故有必要引起重视。本文对2018年8月至2024年8月期间温州医科大学附属东阳医院(东阳市人民医院)收治的4例诊治经过差异巨大的升主动脉LIT病例进行回顾性分析,现报道如下。
1 病例资料病例1,女,41岁,因“突发严重胸闷气促15 h”入院。发病后立即就诊于附近医院,查胸腹平扫CT提示急性肺水肿、双侧胸腔积液、心包积液,查血红细胞计数3.38×1012/L,肌酐369 μmol/L,乳酸11.7 mmol/L,钠尿肽超过检测上限,立即转诊至本院。考虑存在急性多脏器衰竭,立即收入重症监护室,因少尿予连续肾脏替代治疗。右侧胸腔穿刺引流液红细胞计数高达0.22×1012/L。床边经胸超声心动图(transthoracic echocardiography, TTE)未见主动脉病变,但见左心室弥漫肥厚符合高血压性心脏病,心包大量积液伴血块,且出现心包填塞,紧急行心包穿刺,但置管后引流不畅。因心包积液病因不明,且回顾前平扫CT可见升主动脉壁局部密度增高(图 1A),急查主动脉CTA,但影像科对升主动脉根部管壁褶皱情况考虑为搏动伪影。后查经食管超声心动图(transesophageal echocardiography, TEE),清晰可见升主动脉直径38 mm,距主动脉瓣环约16 mm处有飘动纤细光带,考虑升主动脉LIT(图 1B、图 1C)。遂行急诊开胸手术,术中见心包腔内大量积血并血块,升主动脉外膜血肿延入肺动脉外膜至右侧肺门。建立体外循环后,在头臂干开口近侧阻断升主动脉,顺行灌注心脏停搏液良好,纵行切开升主动脉,见左右冠瓣上方横行内膜裂口,中膜无假腔形成,冠状动脉开口、主动脉瓣无病变。用26 mm人工血管置换升主动脉,手术顺利。术后复查TTE见人工血管通畅、形态良好。回顾并重建术前主动脉CTA,曲面重建可见内膜片(图 1D),该处主动脉直径为37 mm。患者术后肾功能衰竭持续,规律随访血透,6个月后失访。
|
| 注:A为平扫CT,箭头示升主动脉壁增厚、密度增高;B为TEE舒张期,箭头示飘动纤细光带;C为TEE收缩期,箭头示飘动纤细光带;D为主动脉CTA,曲面重建,箭头示内膜片 图 1 例1患者两次CT及术前TEE影像 |
|
|
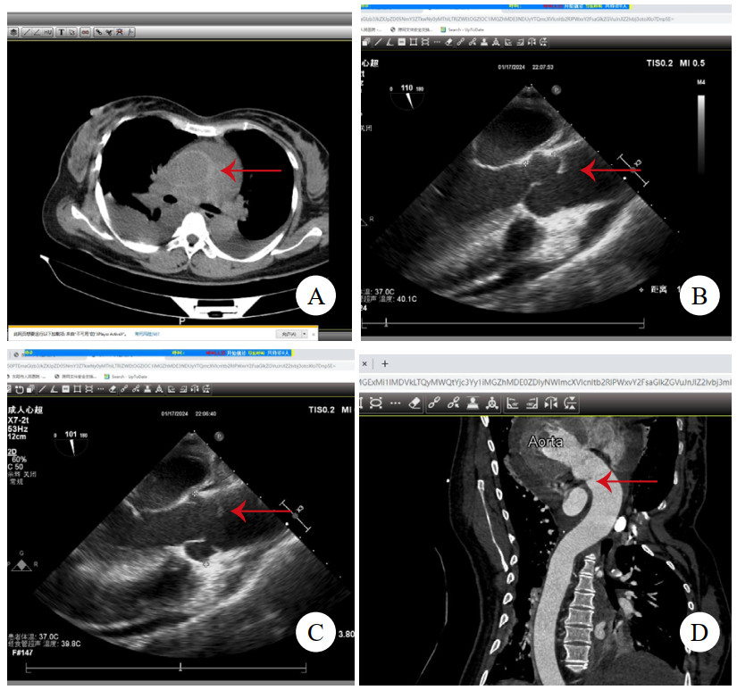
病例2,男,47岁,因“突发背痛伴胸闷1 h”入院。查心电图提示下壁导联ST段抬高0.1 mv,TTE提示节段性室壁运动异常,升主动脉及窦内径增宽,肌钙蛋白阴性,考虑“急性心肌梗死”。行急诊冠脉造影术,见冠状动脉通畅,加行主动脉造影见根部后壁斜行龛影(图 2A)。予查主动脉CTA,见主动脉根部左冠状动脉开口上方条状影(图 2B),该处主动脉直径为44 mm,升主动脉周围少量心包积血(图 2C),提示LIT。建议急诊开胸手术,患方自行至外院行升主动脉置换术,术中所见符合LIT,术后2个月至本院复查TTE,见升主动脉人工血管通畅(图 2D),无室壁运动异常。后门诊随访5年,情况平稳。
|
| 注:A为主动脉造影,箭头示根部后壁斜行龛影;B为主动脉CTA,箭头示左冠状动脉开口上方条状影;C为箭头示升主动脉周围少量心包积血;D为TTE见升主动脉人工血管通畅 图 2 例2患者主动脉根部造影、术前CT及术后TTE影像 |
|
|
病例3,男,60岁,因“半小时前晕厥1次”就诊。送入抢救室时见患者大汗淋漓,显著呼吸困难,查体:心率97次/min,血压76/52 mmHg(1 mmHg=0.133 kPa),精神极软,颈静脉怒张,心音低钝,未及心脏杂音。立即查床边TTE,见大量心包积液(图 3A)。符合心包填塞,予心包穿刺,见血性液体流出约100 mL后,患者胸闷缓解,心率下降,血压138/88 mmHg。查主动脉CTA,见升弓交界靠上腔静脉侧LIT(图 3B,C,D),该处主动脉直径为31 mm,局部外膜薄层血肿形成。建议手术,患方拒绝,在抢救室留置6 h后生命体征突然消失,后宣布临床死亡。
|
| 注:A为TTE,箭头示大量心包积液伴血块;B为CTA横断面,箭头示内膜片;C为CTA冠状面,箭头示内膜片;D为CTA多平面重建,箭头示内膜片 图 3 例3患者TTE及CT影像 |
|
|
病例4,男,63岁,因“活动后胸闷、气促6年,加重1月”入院。TTE提示二尖瓣前叶A2区腱索断裂伴脱垂、重度返流,主动脉瓣重度返流,三尖瓣中度返流,左心室显著增大,左心室舒张末期直径86 mm,心功能减低,中重度肺动脉高压,升主动脉内径增宽直径43 mm。冠状动脉CTA提示双侧冠状动脉无显著病变,少量心包积液,未见主动脉根部病变(图 4A)。术前准备后,择期手术,术中见主动脉前壁窦管交界水平一长约2 cm的内膜撕裂符合LIT。仔细观察切除标本(图 4B),见内膜裂口边缘光滑,考虑为陈旧性改变。予行Bentall加二尖瓣机械瓣置换加三尖瓣成型术。术后康复顺利,规律抗凝随访1年。
|
| 注:A为冠状动脉CTA,未见异常;B为切除的主动脉壁,箭头示内膜裂口 图 4 例4患者CT影像及主动脉壁照片 |
|
|
LIT是一种较为罕见的主动脉病变,其特点为仅有内膜破裂,而无中膜剥离。而典型的AD则具有内膜破裂、真假腔形成两大要素。故LIT与AD在概念上应作出区分。虽然2010年美国胸主动脉疾病诊疗指南[1]对此作了相应介绍,但国内主动脉疾病的指南性文件[2, 3]未引用,且报道LIT的文献较少,导致临床医生对该病的认识不足,继而出现诊断差错。
2.2 LIT的诊断挑战LIT的诊断面临诸多挑战,其病变征象细微,在影像学检查中易被遗漏。主动脉CTA是诊断LIT的首选影像学手段[4],但要获得正确的诊断,必须进行细致审慎的图像分析。如病例1中,术前CTA因急诊检查时未进行心电门控等技术手段减轻运动伪影,且未进行重建分析而导致漏诊。超声检查是重要的补充检查方法,TEE虽然可清晰显示升主动脉根部,但存在一定检查风险且可及性相对差,TTE则因声窗所限而诊断困难。
此外,LIT的一些临床表现也易于导致混淆,如例2误诊为急性心肌梗死。例1在诊断上另一个误导之处为血性胸腔积液,其解释为,升主动脉和肺动脉干在胚胎发育上存在同源性,故解剖上拥有连续的外膜,升主动脉外膜的血肿可沿入左右肺动脉至肺门[5],此点也获得术中所见支持。
根据既往最大宗病例报道[6-7],LIT发生处主动脉直径平均52.0 mm,扩张明显,而本院该病例组中主动脉扩张程度不显著,仅31~44 mm,提示LIT可在相对正常直径的主动脉处发生。另文献报道LIT与马凡综合征相关,而本院马凡综合征患者中未发现LIT[8]。以上差异可能为本院病例数较少导致。
2.3 LIT的治疗策略LIT的治疗应参照典型AD进行。本组例1、3临床过程特别凶险,导致大量心包积血、血块,警示LIT可导致主动脉壁严重受损而致血液成分逸出,引起心包填塞。对于合并心包填塞的患者,应积极引流缓解后,尽快手术[9]。对于术中意外发现的LIT,如病例4,心脏外科术者应细致探查,避免遗漏。
2.4 LIT的预后与随访LIT的预后因个体差异而异,部分患者经及时诊断和治疗后可获得较好的预后,如病例2患者术后随访5年情况平稳;而部分患者可能因病情凶险或诊治不及时而预后不良,如病例3患者因拒绝手术治疗最终死亡。
3 结论LIT是一种少见且极易漏诊的主动脉病变,本文通过详细报道4例升主动脉LIT的诊治过程及预后情况,展示了LIT的多种影像学检查、大体标本特点和不同临床表现,旨在提高临床医生对LIT的认识和重视程度,促进早期诊断和合理治疗,改善患者预后。
利益冲突 所有作者声明无利益冲突
| [1] | Hiratzka LF, Bakris GL, Beckman JA, et al. 2010 ACCF/AHA/AATS/ACR/ASA/SCA/SCAI/SIR/STS/SVM guidelines for the diagnosis and management of patients with thoracic aortic disease: a report of the American College of Cardiology Foundation/American Heart Association Task Force on Practice Guidelines, American Association for Thoracic Surgery, American College of Radiology, American Stroke Association, Society of Cardiovascular Anesthesiologists, Society for Cardiovascular Angiography and Interventions, Society of Interventional Radiology, Society of Thoracic Surgeons, and Society for Vascular Medicine[J]. Circulation, 2010, 121(13): e266-e369. DOI:10.1161/CIR.0b013e3181d4739e |
| [2] | 中国医师协会心血管外科分会大血管外科专业委员会. 主动脉夹层诊断与治疗规范中国专家共识[J]. 中华胸心血管外科杂志, 2017, 33(11): 641-654. DOI:10.3760/cma.j.issn.1001-4497.2017.11.001 |
| [3] | 中国医师协会心血管外科分会大血管外科专业委员会. 急性主动脉综合征诊断与治疗规范中国专家共识(2021版)[J]. 中华胸心血管外科杂志, 2021, 37(05): 257-269. DOI:10.3760/cma.j.cn112434-20210319-00103 |
| [4] | 沈文婷, 徐怡, 王云飞, 等. 升主动脉局限性内膜撕裂CT血管成像的影像学特征分析[J]. 南京医科大学学报(自然科学版), 2025, 45(2): 227-232. DOI:10.7655/NYDXBNSN240744 |
| [5] | Sueyoshi E, Sakamoto I, Uetani M, et al. CT findings of ruptured intramural hematoma of the aorta extending along the pulmonary artery[J]. Cardiovasc Intervent Radiol, 2007, 30(2): 321-323. DOI:10.1007/s00270-005-0388-2 |
| [6] | Chin AS, Willemink MJ, Kino A, et al. Acute limited intimal tears of the thoracic aorta[J]. J Am Coll Cardiol, 2018, 71(24): 2773-2785. DOI:10.1016/j.jacc.2018.03.531 |
| [7] | Madani M, Turner V, Hallett R, et al. Limited aortic intimal tears: CT imaging features and clinical characteristics[J]. Radiol Cardiothorac Imaging, 2022, 4(6): e220155. DOI:10.1148/ryct.220155 |
| [8] | 杨明烽, 陈立军, 王朝辉, 等. FBN1基因突变致马凡综合征主动脉夹层7例临床特点[J]. 中华急诊医学杂志, 2024, 33(11): 1628-1630. DOI:10.3760/cma.j.issn.1671-0282.2024.11.028 |
| [9] | 祝明华, 江寅芳, 胡坚, 等. 主动脉夹层并心包填塞术前诊疗策略分析[J]. 中华急诊医学杂志, 2020, 29(5): 732-735. DOI:10.3760/cma.j.issn.1671-0282.2020.05.025 |
2025, Vol. 34



