2. 康复大学青岛医院(青岛市市立医院)肿瘤科,青岛 266071;
3. 康复大学青岛医院(青岛市市立医院)重症医学科,青岛 266071;
4. 青岛大学青岛医学院,青岛 266003
有机氟化合物因优异的化学稳定性被广泛应用于工业领域,然而,其热解产物的吸入毒性可导致进行性肺损伤。既往中毒案例以消化道摄入氟乙酰胺等灭鼠剂为主,而吸入性中毒临床报道少见。本研究报道某工地4人群体性吸入全氟-4-甲基-2戊烯中毒事件,重点分析其中2例进展至终末期肺病并行肺移植患者的临床特征,为同类病例救治提供参考。
1 病例资料2024-11-15,某工地操作间有值班人员3人,分别为上铺(距地面1.8 m)A某,下铺(距地面0.4 m)B某、C某,事发当天为午休时间,设备出现故障,下午14时维修人员D某进入操作间维修,并将门窗打开,完成维修操作;事发后24 h内4名患者均出现不同程度的恶心、呕吐等消化道症状,起初考虑可能与食物中毒有关,前往当地医院就诊,完善血便常规、胸腹CT等相关检查未见明显异常,在医院给予吸氧补液静卧留观,留观期间4人先后出现不同程度的咽痛、咳嗽、胸闷、憋气等不适,吸氧不能缓解,再次行胸部CT检查示双肺弥漫性改变,间质改变可能,考虑为吸入有毒有害气体,后经采样检测操作间气体残留为全氟-4-甲基-2戊稀[Perfluoro(4-methylpent-2-ene),D1](D1纯度99.92%),导致急性呼吸窘迫综合症(acute respiratory distress syndrome, ARDS)。参照2002年职业性急性有机氟中毒诊断标准[1],A某诊断为急性中度有机氟气体中毒,B某、C某、D某诊断为急性重度有机氟气体中毒(PaO2/FiO2 < 100 mmHg,1 mmHg=0.098 kPa)。立即给予大剂量(120 mg)甲泼尼龙琥珀酸钠治疗,同时补充多种微量元素,加用甲钴胺、硫辛酸,钙剂解毒,后续加用特殊解毒剂乙酰胺治疗。治疗1周后,上铺的A某胸闷、憋气症状较前好转,影像未见明显进展,但患者仍遗留有间断气短症状;其余人员病情持续恶化,出现呼吸衰竭,转入重症医学科,给予气管插管接呼吸机辅助通气,维修人员D某上呼吸机后能基本维持,但不能脱机,继续观察患者病情变化;而下铺患者B某、C某症状不断加重,即使给予呼吸机治疗低氧状态仍未见明显改善,于2024-11-29转入本院进一步治疗。B某、C某入本院时查体:双肺叩诊呈清音,双肺呼吸音粗,可闻及干湿性啰音,具体指标见表 1,图 1、2为肺部影像进展情况。入院给予镇静镇痛、机械通气及抗感染、抗炎、抑酸等治疗,呼吸困难仍持续加重,存在难以纠正的低氧血症及高碳酸血症,表现为ARDS,有体外膜肺氧合(extracorporeal membrane oxygenation, ECMO)治疗指征,参考国内外相关救治经验[2-6],给予患者静脉-静脉ECMO(veno-venous extracorporeal membrane oxygenation, V-V ECMO)治疗,具体参数见表 2。
| 病例 | 年龄(岁) | 体重(kg) | 体温(℃) | 心率(次/min) | 呼吸(次/min) | 血压(mmHg) | 氧饱和度(%) | 吸氧方式 | PO2 (mmHg) | PO2/FiO2 | PCO2 (mmHg) | pH值 | Lac (mmol/L) | WBC (×109) | Hb (g/L) | PLT (×109) | CRP (mg/L) |
| B | 21 | 63 | 36.5 | 94 | 24 | 125/73 | 96.1 | 机械通气 | 114.9 | 114.9 | > 150.0 | 7.03 | < 1.0 | 28.62 | 129 | 242 | 11.22 |
| C | 26 | 55 | 36.7 | 121 | 24 | 156/91 | 79.9 | 机械通气 | 42.1 | 42.1 | 49.5 | 7.38 | 3.5 | 23.06 | 152 | 181 | 14.82 |
| 注:PaO2为动脉血氧分压,FiO2为吸入氧体积分数,PaCO2为动脉血二氧化碳分压,Lac为乳酸,WBC为白细胞计数,Hb为血红蛋白,PLT为血小板,CRP为C反应蛋白 | |||||||||||||||||
|
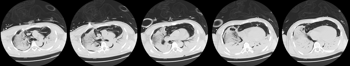
| 图 1 B某发病第1、3、10天胸部CT |
|
|
|
| 图 2 C某发病第1、3、10天胸部CT |
|
|
| 病例 | ECMO模式 | 转速(r/min) | 流量(L/min) | 氧浓度(%) | 气流量(L/min) | 呼吸机模式 | FiO2 (%) | PEEP (cmH2O) | RR (次/min) | PC (cmH2O) | 潮气量(mL) |
| B | V-V ECMO | 3 250~3 500 | 3.2~3.5 | 1.0 | 5 | PCV | 0.6~0.7 | 10 | 12 | 16 | 100 |
| C | V-V ECMO | 3 200 | 3.5 | 1.0 | 5 | PCV | 0.5 | 10 | 15 | 14 | 100 |
| 注:ECMO为体外膜肺氧合,PCV为压力控制通气模式,FiO2为吸入性氧体积分数,PEEP为呼气末正压,PC为压力控制 | |||||||||||
同时给予镇痛、镇静联合肌松,去甲肾上腺素泵入维持血压,俯卧位通气,B某入院后出现高热,经验性给予美罗培南联合万古霉素抗感染治疗,后降阶梯调整为哌拉西林他唑巴坦联合万古霉素治疗;C某抗感染方案为经验性使用万古霉素联合哌拉西林他唑巴坦治疗,痰培养出鲍曼不动杆菌后改为替加环素、头孢哌酮舒巴坦及万古霉素治疗;根据《刺激性气体中毒诊治专家共识》[5]中关于重症患者的治疗措施,同时给予2人泮托拉唑抑酸护胃,氨溴索、富露施化痰、甲泼尼龙抗炎、西维来司他纳及乌司他丁清除炎性介质,维生素C抗氧化、保肝、输血补液,纤支镜吸痰及肺泡灌洗,维持水电解质平衡及营养支持治疗,特别考虑到肺损伤情况,在使用有创通气时给予超保护性通气策略[5, 7];2人仍先后出现气胸、纵膈气肿,行胸腔闭式引流;持续V-V ECMO治疗15 d后,肺部纤维化不可逆转,高分辨率CT肺纤维化评分 > 75%(图 3、4),符合终末期肺病标准,有肺移植指征[8],经评估后2人顺利完成病变肺组织切除(图 5),双侧序贯肺移植,术后患者复查胸片肺部恢复正常(图 6),2位患者术后气管切管接呼吸机辅助通气,并给予泼尼松、他克莫司、吗替麦考酚酯抗排异治疗,其余根据病情给予万古霉素调节肠道菌群、抗感染、保肝、抗凝、呼吸康复锻炼等治疗,后顺利脱机、拔除气切套管,病情稳定出院,后续规律复查胸部CT(图 7)恢复良好。
|
| 图 3 B某发病15 d时胸部CT表现 |
|
|
|
| 图 4 C某发病15 d时胸部CT表现 |
|
|
|
| 注:图A为B某;图B为C某 图 5 患者病变肺组织 |
|
|
|
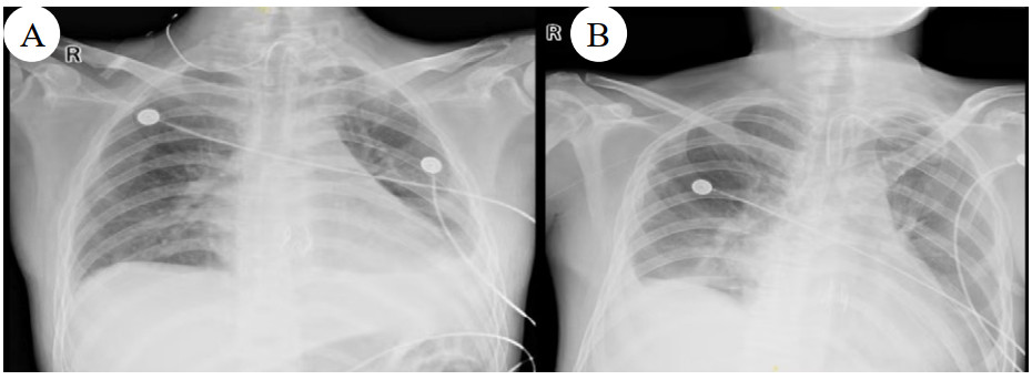
| 注:图A为B某;图B为C某 图 6 患者肺移植术后胸片 |
|
|
|
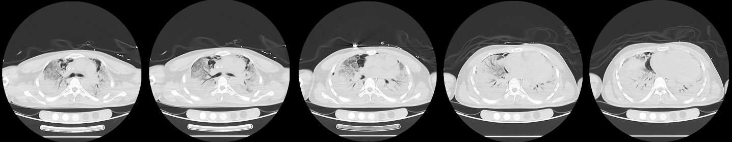
| 注:图A为B某;图B为C某 图 7 肺移植术后第2个月、5个月、8个月CT影像 |
|
|
急性吸入性有机氟中毒常见于工业生产及废液处理中发生意外损伤,导致在短时间内吸入过量有机氟单体裂解气、残液气或热解气等所致的以呼吸系统损害为主的全身性损伤。急性肺损伤是其主要的病理生理学变化[9],其核心病理生理学基础是氧化应激及其介导的剧烈炎症级联反应[7],毒物吸入后,首先直接损伤肺泡上皮和毛细血管内皮细胞,导致血管通透性急剧增高[10],减少肺表面活性物质,造成肺与肺间质水肿、透明膜形成,这解释了本组患者早期均出现两肺弥漫性渗出的影像学表现。随后,活化的中性粒细胞和巨噬细胞释放大量氧自由基及蛋白酶,进一步破坏肺实质结构,形成肺泡隔增生致肺纤维化[11-12],并形成恶性循环。这即导致通气不足、弥散障碍、肺内分流增加和通气/血流比失衡,肺泡塌陷、细支气管闭塞、肺不张,最终导致ARDS,这一机制与本组病例中出现的呼吸困难及难以纠正的低氧血症和高碳酸血症(即ARDS)相符合。
更主要的是,上述氧化应激与炎症反应是驱动肺组织不可逆纤维化的重要始动因素。在毒性损伤的持续刺激下,上皮-间质转化过程被异常激活[5, 13],肺泡上皮细胞转化为成纤维细胞,导致成纤维细胞增生及细胞外基质过度沉积[13]。因此在中毒后短期内即出现暴发性、不可逆的肺纤维化[14]。其直接临床后果是肺顺应性严重丧失,肺组织脆性显著增加。这正是在救治过程中,即便本团队应用了超保护性通气策略严格控制潮气量、平台压及驱动压,两例重症患者仍不可避免地发生了气胸和纵隔气肿的根本原因。此时,机械通气本身已成为气压伤的风险来源[6],凸显了毒性肺损伤的极端严重性。
在治疗层面,目前仍缺乏特效解毒剂,核心措施在于积极的抗炎、抗纤维化与高级生命支持。本团队及时采用了足量糖皮质激素(GCs)联合乌司他丁的方案[15],旨在抑制前述的炎症与氧化应激风暴;糖皮质激素能抑制有机氟引起的肺部渗出及炎性反应,减低毛细血管通透性从而改善气体交换,但大剂量的GCs会造成各类不良反应,在使用时因注意疗效与不良反应之间的平衡。乌司他丁作为广谱的酶抑制剂,可抑制氧自由基及肿瘤坏死因子的产生、释放,对脏器具有保护作用,有研究表明[15],乌司他丁联合甲强龙对急性吸入性有机氟中毒所致的炎症反应和急性肺损伤具有较好的治疗作用,可明显改善重症患者的预后,同时也可减少GCs的用量和疗程,进而降低药物不良反应及并发症。对于难以维持的呼吸衰竭,ECMO是维持生命的核心技术。2019年叶纪录和濮雪华[2]的成功案例,印证了ECMO对于损伤尚属可逆阶段的患者巨大的价值。然而,本组重症患者的转归与该成功案例形成了鲜明对比,揭示了此类中毒更为危重和复杂的一面。在本组患者中,由于有机氟气体诱发的肺损伤从早期即导向不可逆的纤维化,ECMO虽能暂时维持氧合,却无法阻止或逆转肺结构的毁损。因此,其作用只能是为下一步肺移植提供时间。这提示在启动ECMO支持前,临床医生必须尽力评估肺损伤的潜在可逆性,并对ECMO的支持目标建立理性预期。
值得注意的是,本次事件中四位患者的临床表现严重程度存在显著差异,分析这与吸入气体内主要毒性成分的物理性质及患者暴露体位密切相关。D1蒸汽的密度(1.5873 g/mL)大于空气,导致其在低处聚集,这使得位于下铺的B某、C某吸入毒物浓度最高,病情最重;而上铺的A某因所处位置较高,暴露剂量相对较小,症状最轻;维修人员D某则因作业中的蹲起动作避免了持续处于气体最高浓度区域,并因及时开窗通风而减少了总暴露量,故病情居于中间。这一病情分布差异,直观地体现了毒物暴露剂量与临床结局之间的直接关联,为D1强损伤毒性提供了有力的临床证据。
最终,对于此类毒性物质导致的终末期结构性肺损伤,进展为终末期肺病[11],肺移植成为了唯一有效的终极治疗手段[16]。本组病例的救治历程表明,急性重度有机氟中毒其临床进程可能远超常规ARDS,治疗窗口极为狭窄,多器官衰竭风险贯穿全程,需要临床医生在救治早期就具备前瞻性的判断和决策。
利益冲突 所有作者声明无利益冲突
| [1] | 中华人民共和国卫生部. GBZ 66—2002职业性急性有机氟中毒诊断标准[S]. 2002-04-08. |
| [2] | 叶纪录, 濮雪华. ECMO救治有机氟中毒病例报道[J]. 中华急诊医学杂志, 2019, 28(10): 1326-1328. DOI:10.3760/cma.j.issn.1671-0282.2019.10.0230 |
| [3] | Cole JB, Olives TD, Ulici A, et al. Extracorporeal membrane oxygenation for poisonings reported to U.S. poison centers from 2000 to 2018: an analysis of the national poison data system[J]. Crit Care Med, 2020, 48(8): 1111-1119. DOI:10.1097/ccm.0000000000004401 |
| [4] | Lewis J, Zarate M, Tran S, et al. The recommendation and use of extracorporeal membrane oxygenation (ECMO) in cases reported to the California poison control system[J]. J Med Toxicol, 2019, 15(3): 169-177. DOI:10.1007/s13181-019-00704-3 |
| [5] | 中国医师协会急诊医师分会, 中国急诊专科医联体, 中国医师协会急救复苏和灾难医学专业委员会, 等. 刺激性气体中毒诊治专家共识[J]. 中华急诊医学杂志, 2020, 29(12): 1527-1536. DOI:10.3760/cma.j.issn.1671-0282.2020.12.005 |
| [6] | 吴锋, 杨秋林, 张小文, 等. 体外膜氧合成功救治重度有机氟中毒4例报道[J]. 中华急诊医学杂志, 2022, 31(2): 223-227. DOI:10.3760/cma.j.issn.1671-0282.2022.02.015 |
| [7] | Liu HQ, Dong JL, Xu CL, et al. Acute lung injury: pathogenesis and treatment[J]. J Transl Med, 2025, 23(1): 926. DOI:10.1186/s12967-025-06994-2 |
| [8] | Christie JD, Van Raemdonck D, Fisher AJ. Lung transplantation[J]. N Engl J Med, 2024, 391(19): 1822-1836. DOI:10.1056/nejmra2401039 |
| [9] | Mokra D. Acute lung injury–from pathophysiology to treatment[J]. Physiol Res, 2021: S353-S366. DOI:10.33549/physiolres.934602 |
| [10] | 王慎原. 抢救急性有机氟中毒成人呼吸窘迫综合征7例[J]. 中华劳动卫生职业病杂志, 1993, 11(2): 114-116. |
| [11] | 王莹. 急性有机氟中毒的特点[J]. 化工劳动保护(工业卫生与职业病分册), 1997, 18(5): 217-220. |
| [12] | 马争, 彭建梅, 朱志良, 等. 触摸屏防指纹纳米涂层材料应用致有机氟中毒特征分析[J]. 中华劳动卫生职业病杂志, 2019, 37(12): 921-925. DOI:10.3760/cma.j.issn.1001-9391.2019.12.011 |
| [13] | Marconi GD, Fonticoli L, Rajan TS, et al. Epithelial-mesenchymal transition (EMT): the type-2 EMT in wound healing, tissue regeneration and organ fibrosis[J]. Cells, 2021, 10(7): 1587. DOI:10.3390/cells10071587 |
| [14] | Zhang L, Li F, Su XM, et al. Melatonin prevents lung injury by regulating apelin 13 to improve mitochondrial dysfunction[J]. Exp Mol Med, 2019, 51(7): 73. DOI:10.1038/s12276-019-0273-8 |
| [15] | 柳月珍, 何爱文, 陈寿权, 等. 乌司他丁联合甲基强的松龙治疗急性吸人性有机氟中毒疗效观察[J]. 中华急诊医学杂志, 2014, 23(5): 512-515. DOI:10.3760/cma.j.issn.1671-0282.2014.05.009 |
| [16] | Iglesias-Escudero M, Segundo DS, Merino-Fernandez D, et al. Myeloid-derived suppressor cells are increased in lung transplant recipients and regulated by immunosuppressive therapy[J]. Front Immunol, 2022, 12: 788851. DOI:10.3389/fimmu.2021.788851 |
2026, Vol. 35



