脓毒症(sepsis)是机体对感染反应失调引起的危及生命的器官功能障碍(organ dysfunction, OD)[1]。研究显示, 近10年来发达国家脓毒症病死率高达17%~26%[2]。脓毒症发病过程中交感神经兴奋, 释放大量儿茶酚胺(catecholamine, CA), 兴奋β肾上腺素能受体, 引起全身炎症反应异常放大, 引起远隔器官损害, 最终导致多脏器功能障碍(MODS)[3-4]。病程中失控的炎症反应, 可引起肺血管内皮细胞受损、毛细血管通透性增加, 最终导致肺水肿, 是急性肺损伤(ALI)或急性呼吸窘迫综合征(ARDS)发生的重要病理生理机制[5]。以往研究发现, β受体阻滞剂能缓解脓毒症的过度炎症反应[6]。近年有学者提出脓毒症发病时不仅激活了机体炎症网络系统, 还迅速引起神经-内分泌-免疫系统变化[7]。针对脓毒症发病机制的复杂性, 寻找神经-内分泌-免疫系统网络结构中的关键平衡点——交感神经阻滞进行突破, 可能是解决问题的关键点。鉴于交感神经兴奋在脓毒症发病机制中的始动作用, 应用β受体阻滞剂将会给脓毒症的治疗提供新思路。本研究建立脓毒症大鼠模型, 观察β1受体阻滞剂艾司洛尔对脓毒症大鼠肺脏的保护作用。
1 材料与方法 1.1 实验动物与分组54只健康清洁级雄性Sprague-Dawley(SD)大鼠, 体质量250~300 g, 由兰州大学动物实验中心提供, 许可证:SCXK(甘)2013-0002, 适应性喂养1周后用于实验, 实验前12 h禁食, 不禁水。实验动物按随机数字法分为Sham、Sepsis、ES组(n=18), 各组根据实验时间又随机分为6 h、12 h和24 h三个亚组, 每个亚组6只。
1.2 主要试剂戊巴比妥钠(美国Sigma公司); 盐酸艾司洛尔注射液(齐鲁制药有限公司), 肝素钠注射液(江苏万邦生化医药股份有限公司); 核转录因子κB(NF-κB)酶联免疫试剂盒(96孔, 北京诚林生物科技有限公司); 兔抗鼠多克隆抗体TLR4(Toll-like receptors4, TLR4)、NF-κB(Abcam公司); RIPA裂解液、苯甲基磺酰氟化物(PMSF)、BCA蛋白浓度测定试剂盒、丙稀酰胺(Acrylamkle)、过硫酸铵(ammonium persulfate, AP)、四甲基乙二胺(TEMED)、1 mol/L Tris-HCl (pH 6.8)、1.5 mol/L Tris-HCl (pH 8.8)、SDS-PAGE蛋白上样缓冲液(5×)(北京酷来搏科技有限公司); 预染蛋白Marker(Thermo Scientific), 聚偏氟乙稀膜(PVDF膜)(Millipore)。兔抗鼠β-actin多克隆抗体(北京奥博森生物技术有限公司); 辣根过氧化物酶标记的山羊抗兔IgG(北京中杉金桥生物技术有限公司); 超敏ECL化学发光试剂盒(NcmECL Ultra)(新赛美生物科技有限公司)。
1.3 大鼠脓毒症模型的制备及颈内静脉置管采用盲肠结扎穿孔法[8](cecal ligation and puncture, CLP)建立脓毒症大鼠模型。1%戊巴比妥钠40 mg/kg腹腔注射麻醉, 仰卧位固定, 腹部备皮、消毒, 取中腹部正中切口长约2 cm, 逐层切开至腹腔, 游离肠系膜及盲肠, 在盲肠血管弓内, 游离部至根部中外1/3处用4号丝线结扎。18号针头贯通盲肠末端穿孔2次, 挤出少许肠内容物, 回纳盲肠至腹腔, 逐层关腹。关腹前腹腔注射生理盐水20 mL/kg抗休克。Sepsis、ES组采用CLP法建立模型, Sham组开腹、翻动盲肠后逐层关腹。
颈内静脉置管:大鼠左侧颈部备皮、消毒, 沿颈内静脉体表投影切开颈部皮肤, 钝性分离颈内静脉, 结扎颈内静脉远心端。在颈内静脉近心端用眼科剪剪一“V”形切口, 将预冲肝素钠盐水(25 μg/mL)的硬膜外麻醉管(直径约1 mm)置入, 注射器回抽见血液回流确认置管成功。立即结扎近心端, 固定腰麻管并缓慢推注0.3 mL肝素钠盐水, 湿纱布覆盖切口, 输液完成后, 拔管、结扎血管、缝合切口。
1.4 脓毒症大鼠模型评估及给药CLP术后动物逐渐出现以下病态反应:精神萎靡、嗜睡; 反应迟钝、活动差、怕冷、出现竖毛反应; 呼吸急促、腹泻及眼角有痂样分泌物等表现作为造模成功标志。造模成功后左侧颈内静脉给药, Sham、Sepsis组持续微量泵泵入生理盐水1 mL/h, 共计6 h; ES组持续泵入艾司洛尔稀释液1 mL/h[15 mg/(kg·h)], 共计6 h。
1.5 血流动力学监测造模成功后, 各组大鼠分别仰卧位固定在鼠操作台上, 连接BL-420E生物机能实验系统, 将黑色电极置于右后肢皮下, 白色电极置于心前区皮下, 红色电极置于右前肢皮下, 启动计算机记录大鼠心率。
1.6 标本采集各组均于术后相应时间点, 即6、12、24 h, 麻醉后处死大鼠, 开胸取出双肺, 行左侧肺泡生理盐水灌洗, 灌洗液3 000 r/min离心10 min, 取上清液-80 ℃保存, 用于检测灌洗液中蛋白含量。取出左肺滤纸吸干表面血液, 测量湿质量后置于80 ℃恒温烤箱至恒重后测量干质量。右肺前叶-80 ℃保存, 用Western Blot法检测组织中NF-κB、TLR4水平。右肺中叶-80 ℃保存, 用ELISA法检测组织中NF-κB水平。右肺后叶用甲醛溶液固定后用于HE染色, 在光镜下观察组织形态学改变。
1.7 标本检测 1.7.1 ELISA法检测血浆儿茶酚胺、肺组织中NF-κB水平低温保存的肺组织, 按照质量比例1:9加入4 ℃生理盐水, 在冰上研磨制成组织匀浆, 3 000 r/min离心10 min, 取上清液采用ELISA法检测肺脏组织中NF-κB水平。具体操作严格按照试剂盒操作说明书进行, 采用酶标仪于450 nm处测吸光度, 绘制标准曲线, 计算出NF-κB的浓度, 血浆儿茶酚胺检测原理与NF-κB相同。
1.7.2 BCA法测肺泡灌洗液蛋白含量具体操作严格按照试剂盒操作说明书进行, 绘制出标准曲线, 根据标准曲线计算出肺泡灌洗液蛋白含量。
1.7.3 左肺脏组织湿干质量比率(W/D)、肺系数、肺水含量测定大鼠用电子秤称体质量, 麻醉后开胸取左肺, 滤纸吸干表面水分、血液后, 电子秤称湿质量(W), 然后置于80 ℃恒温烤箱48 h, 烤至恒重, 电子秤称干质量(D)。按下述公式计算:湿干比=湿质量/干质量比(W/D); 肺系数=左肺湿质量(g) /大鼠体质量(kg); 肺水含量=(肺湿质量-肺干质量)/肺湿质量×100%。
1.7.4 Western Blot检测肺组织中NF-κB、TLR4的蛋白水平右肺前叶组织块电子秤称重, 用冷生理盐水洗涤2次, 去除血污, 剪成小块置于玻璃匀浆器内, 按照100 mg组织加入1 mL组织裂解液的比例冰上研磨, 提取组织总蛋白, 4℃温度下12 000 r/min离心10 min, 取上清液, 采用BCA法进行蛋白含量测定。在蛋白质样品中加入上样缓冲液, 充分混匀后煮沸5 min使蛋白质变性, -80 ℃保存。制备浓缩胶、分离胶进行电泳, 每孔上样量50 μg总蛋白, 按浓缩胶80 V, 分离胶130 V电压下分离, 电泳后PVDF半干转转膜。5%脱脂奶粉室温摇床封闭2 h后加入一抗(NF-κB 1:1 200; TLR4 1:500稀释), 4 ℃摇床过夜, TBST室温摇床上洗涤3×10 min, 加入辣根过氧化物酶标记的二抗(1:5 000), 摇床常温孵育1 h, TBST洗涤同上, ECL发光法凝胶成像仪曝光成像显示电泳条带, 计算机保存图像, Image J软件测定图像灰度值。目的蛋白含量=(目的蛋白灰度/β-actin灰度)×100%。
1.7.5 肺脏病理肺组织用10%中性甲醛缓冲液固定24 h, 不同梯度酒精脱水, 二甲苯透明, 石蜡包埋, 4 μm厚连续切片、60 ℃烤片过夜、HE染色, 双目光学显微镜观察形态学变化。
1.8 统计学方法所有数据采用SPSS 22.0软件进行统计分析。计量资料采用均数±标准差(x±s)表示, 先行数据方差齐性检验, 组间比较采用单因素方差分析(SNK-q), 以P < 0.05为差异有统计学意义。
2 结果 2.1 血流动力学变化Sham组心率波动在200~300次/min; Sepsis组心率在450~500次/min; ES组心率控制在350~400次/min。
2.2 血浆儿茶酚胺水平变化术后6 h, Sepsis、ES组血浆儿茶酚胺水平明显升高, 与Sham组比较, 差异有统计学意义(P < 0.05), 且ES组儿茶酚胺水平比Sepsis组明显升高(P < 0.05)。术后12 h, ES组儿茶酚胺水平与Sham组比较仍明显升高(P < 0.05); 术后24 h, ES组儿茶酚胺水平与Sepsis组比较明显升高(P < 0.05), 见表 1。
| 组别 | 只数 | 儿茶酚胺(pg/ml) |
| Sham组 | ||
| 术后6 h | 6 | 30.76±6.01 |
| 术后12 h | 6 | 32.24±6.84 |
| 术后24 h | 6 | 34.70±6.25 |
| CLP组 | ||
| 术后6 h | 6 | 56.41±1.30a |
| 术后12 h | 6 | 34.24±6.71 |
| 术后24 h | 6 | 29.16±6.70 |
| ES组 | ||
| 术后6 h | 6 | 65.02±6.19ab |
| 术后12 h | 6 | 39.70±4.20a |
| 术后24 h | 6 | 36.08±6.19b |
| 注:与Sham组同时间点比较, aP < 0.05;与CLP组同时间点比较, bP < 0.05 | ||
术后6 h、12 h、24 h, Sepsis、ES组NF-κB、肺泡灌洗液蛋白含量水平明显升高, 与Sham组相比差异有统计学意义(P < 0.05), 且各时间点ES组NF-κB、肺泡灌洗液蛋白含量水平也均比Sepsis组明显降低(P < 0.05)。结果见表 2。
| 组别 | 只数 | NF-κB(ng/mL) | 灌洗液蛋白含量(μg/mL) |
| Sham组 | |||
| 术后6 h | 6 | 929.92±36.32 | 468.15±90.06 |
| 术后12 h | 6 | 947.65±32.02 | 572.43±46.31 |
| 术后24 h | 6 | 930.79±61.61 | 730.46±54.27 |
| Sepsis组 | |||
| 术后6 h | 6 | 1 536.67±49.22a | 828.05±80.25a |
| 术后12 h | 6 | 2 066.74±146.90a | 898.90±84.23a |
| 术后24 h | 6 | 2 723.64±133.70a | 957.41±66.24a |
| ES组 | |||
| 术后6 h | 6 | 1 116.67±90.24ab | 683.80±129.81ab |
| 术后12 h | 6 | 1 451.75±115.60ab | 777.70±35.63ab |
| 术后24 h | 6 | 2 264.92±50.15ab | 848.89±50.71ab |
| 注:与Sham组同时间点比较, aP < 0.05;与Sepsis组同时间点比较, bP < 0.05 | |||
术后6 h、12 h、24 h, Sepsis组、ES组肺组织湿质量/干质量(W/D)、肺系数、肺水含量水平与Sham组相比均明显升高(P < 0.05), 且各时间点ES组肺组织湿质量/干质量(W/D)、肺系数、肺水含量水平也均较Sepsis组明显降低(P < 0.05), 结果见表 3。
| 组别 | 只数 | W/D比值 | 肺系数 | 肺含水量(%) |
| Sham组 | ||||
| 术后6 h | 6 | 4.088±0.091 | 1.634±0.201 | 75.53±0.54 |
| 术后12 h | 6 | 4.144±0.105 | 1.680±0.290 | 75.83±1.22 |
| 术后24 h | 6 | 4.159±0.070 | 1.755±0.123 | 75.95±0. 40 |
| CLP组 | ||||
| 术后6 h | 6 | 4.574±0.108a | 1.946±0.082a | 78.13±0.51a |
| 术后12 h | 6 | 4.591±0.120a | 2.022±0.111a | 78.21±0.56a |
| 术后24 h | 6 | 4.622±0.125a | 2.108±0.057a | 78.35±0.59a |
| ES组 | ||||
| 术后6 h | 6 | 4.300±0.105ab | 1.800±0.093ab | 76.73±0.58ab |
| 术后12 h | 6 | 4.351±0.073ab | 1.845±0.020ab | 77.01±0.39ab |
| 术后24 h | 6 | 4.393±0.076ab | 1.952±0.088ab | 77.23±0.40ab |
| 注:a与Sham组同时间点比较,P < 0.05;b与CLP组同时间点比较,P < 0.05 | ||||
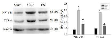
Western Blot结果显示, 术后6 h、12 h、24 h, Sepsis组、ES组NF-κB、TLR4蛋白表达明显增高, 与Sham组相比差异有统计学意义(P < 0.05), 且各时间点ES组NF-κB、TLR4蛋白表达均比Sepsis组明显降低(P < 0.05), 结果见图 1~3。
|
| 与Sham组同时间点比较, aP < 0.05;与CLP组同时间点比较, bP < 0.05 图 1 各组大鼠6 h时肺组织NF-κB、TLR4蛋白的相对表达 Figure 1 The relative expression of NF-κB and TLR4 protein in lung tissue of rats in each group at 6 h |
|
|
|
| 与Sham组同时间点比较, aP < 0.05;与CLP组同时间点比较, bP < 0.05 图 2 各组大鼠12 h时肺组织NF-κB、TLR4蛋白的相对表达 Figure 2 The relative expression of NF-κB and TLR4 protein in lung tissue of rats in each group at 12 h |
|
|
|
| 与Sham组同时间点比较, aP < 0.05;与CLP组同时间点比较, bP < 0.05 图 3 各组大鼠24 h时肺组织NF-κB、TLR4蛋白的相对表达 Figure 3 The relative expression of NF-κB and TLR4 protein in lung tissue of rats in each group at 24 h |
|
|
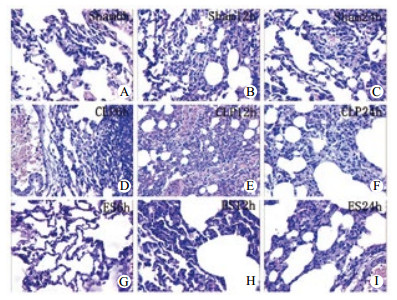
Sham组病理损伤最轻, Sepsis组病理损伤程度随时间延长逐渐加重, ES组各时间点病理损伤均较Sepsis组明显减轻, 较Sham组明显加重。见图 4。
|
| A:Sham 6 h组, 肺组织相对正常; B: Sham 12 h组, 肺组织少量炎细胞浸润, 部分正常; C: Sham 24 h组, 肺组织炎细胞浸润, 纤维间隔增厚, 间质血管充血; D:CLP 6 h组, 肺泡周围血管腔明显扩张充血, 炎性细胞明显浸润; E:CLP 12 h组, 肺泡壁破坏, 纤维间隔明显增厚, 血管壁纤维样坏死, 大量炎细胞浸润; F:CLP 24 h组, 肺泡壁结构破坏, 肺泡扩张融合, 纤维间隔增厚, 炎细胞浸润; G:ES 6 h组, 肺泡间隔轻度增厚, 肺组织少量炎细胞浸润。H:ES 12 h组, 纤维间隔增厚, 炎细胞浸润; I:ES 24 h组, 肺泡扩张融合, 炎细胞浸润, 纤维间隔相对增厚 图 4 各组大鼠肺组织形态变化(HE×400) Figure 4 The morphological changes of lung tissue in each group (HE×400) |
|
|
肺脏是脓毒症时最易受累的靶器官, 早期即可出现ALI/ARDS。脓毒症肺损伤发生最早、发病率最高、病情重, 常是患者死亡的直接原因[9]。脓毒症早期交感神经兴奋, 激活交感-肾上腺髓质系统, 释放大量儿茶酚胺, 导致β肾上腺素能受体持续兴奋[3]。机体应激反应在一定程度上是有利的, 长期的应激反应会导致肺动脉高压、肺水肿、血液高凝状态及免疫抑制等[10]。近年来β受体治疗脓毒症的研究日益增多, 具体机制包括[11]:①阻断儿茶酚胺所致的高代谢。②降低机体氧耗。③调节机体炎性反应。既往笔者前期研究[12]已证实, 大鼠脓毒症早期, 血浆儿茶酚胺水平升高, 应用艾司洛尔于脓毒症大鼠后儿茶酚胺的水平进一步升高。提示艾司洛尔可与儿茶酚胺竞争性结合β受体, 从而缓解高水平儿茶酚胺对β受体的持续、过度刺激, 改善β受体的反应。
Toll样受体(toll-like receptors, TLR)是一类广泛分布的天然免疫受体, 可以识别病原相关分子模式, 在固有免疫和获得性免疫中均发挥重要作用[13]。TLR4主要存在于肺巨噬细胞、腹腔巨噬细胞、枯否细胞等[14]。TLR4信号通路由髓样分化因子88(myeloid diferentiation factor 88, MyD88)依赖途径和MyD88非依赖途径传导来激活NF-κB, 进而刺激炎症因子的释放[15]。有研究显示, 由TLR4调控的细胞炎症反应相关的信号通路中, NF-κB是其中一个重要的转录因子[16]。NF-κB是真核细胞内广泛存在的一种转录因子, 在稳定状态下, NF-κB位于胞浆中与IκB相结合处于失活状态。在脓毒症刺激下, IκB发生泛素化而与NF-κB解离, 后者活化后移位至胞核内特定位点, 从而调控靶基因的转录[17]。NF-κB被激活时可调控炎症反应各阶段的许多分子, 如TNF-α、IL-6、IL-8等的释放[18]。研究发现, 内毒素激活NF-κB, 诱导促炎因子大量生成, 是急性肺损伤发病的关键环节[19]。本研究肺组织TLR4、NF-κB蛋白表达结果显示, 术后6 h、12 h、24 h, Sepsis组、ES组TLR4、NF-κB蛋白表达明显增高, 与Sham组比较差异有统计学意义(P < 0.05), 且各时间点ES组TLR4、NF-κB蛋白表达均比Sepsis组明显降低(P < 0.05)。说明脓毒症时激活TLR4—NF-κB信号通路, 应用艾司洛尔后可以抑制TLR4、NF-κB蛋白的表达, 抑制TLR4—NF-κB信号通路。
肿瘤坏死因子(TNF-α)是肺损伤重要的启动因子之一, 可造成肺毛细血管内皮细胞、肺泡上皮细胞损害, 导致肺通透性增高, 是导致肺损伤的关键因素[20]。既往笔者前期研究亦证实, 脓毒症发病过程中激活炎症反应, TNF-α水平明显升高, 应用艾司洛尔可以降低TNF-α水平, 抑制炎症反应[12]。有研究报道, TLR4—NF-κB信号通路是细胞内重要的炎症信号通路, 在诱导细胞产生炎症反应、释放炎症因子过程中发挥重要作用, 阻断细胞TLR4—NF-κB信号通路的传导能够有效抑制细胞炎症反应的发生[21]。这与本研究结果相一致。
本研究结果显示, 术后6 h、12 h、24 h, Sepsis、ES组肺组织NF-κB、W/D、肺系数、肺水含量水平明显升高, 与Sham组比较差异有统计学意义(P < 0.05), 且各时间点ES组NF-κB、W/D、肺系数、肺水含量水平也均比Sepsis组明显降低(P < 0.05)。Yang等[22]研究发现脓毒小鼠肺组织NF-κB水平明显升高与本实验结果一致。研究结果表明脓毒症时肺脏毛细血管通透性增加, 导致肺水肿, 最终导致肺损伤, 应用艾司洛尔抑制炎症因子释放, 降低肺脏通透性, 肺水肿明显减轻。肺组织病理学结果显示, Sham组病理损伤最轻, Sepsis组病理损伤程度最重, ES组各时间点病理损伤均较Sepsis组明显减轻, 较Sham组明显加重。NF-κB、肺组织(W/D)、肺系数、肺水含量水平与肺组织病理结果相吻合, 同时肺组织病理结果亦与国内外研究报道一致。
综上所述, 脓毒症早期机体交感神经兴奋, 释放大量儿茶酚胺、炎症因子, 引起肺损伤。艾司洛尔促进儿茶酚胺分泌, 抑制炎症因子释放, 降低肺脏通透性, 减轻肺水肿, 进而起到保护肺脏的作用。其机制可能为艾司洛尔改善β受体对儿茶酚胺的反应性, 通过抑制TLR4—NF-κB—TNF-α信号通路来调节炎症因子水平, 从而发挥对肺脏的保护作用。
| [1] | Seymour CW, Liu VX, Iwashyna TJ, et al. Assessment of clinical criteria for sepsis: for the third international consensus definitions for sepsis and septic shock(Sepsis-3)[J]. JAMA, 2016, 315(8): 801-810. DOI:10.1001/jama.2016.0288 |
| [2] | 罗红敏. 全球脓毒症发生率及病死率的估计[J]. 中华危重病急救医学, 2016, 28(8): 722. DOI:10.3969/j.issn.1003-0603.2016.08.014 |
| [3] | Wilson J, Higgins D, Hutting H, et al. Early propranolol treatment induces lung heme-oxygenase-1, attenuates metabolic dysfunction, and improves survival following experimental sepsis[J]. Crit Care, 2013, 17(5): R195. DOI:10.1186/cc12889 |
| [4] | Rossaint J, Zarbock A. Pathogenesis of multiple organ failure in sepsis[J]. Crit Rev Immunol, 2015, 35(4): 277-291. DOI:10.1615/CritRevImmunol.2015015461 |
| [5] | Perl M, Lomasneira J, Venet F, et al. Pathogenesis of indirect(secondary) acute lung injury[J]. Expert Rev Respir Med, 2011, 5(1): 115-126. DOI:10.1586/ers.10.92 |
| [6] | Ackland GL, Yao ST, Rudiger A, et al. Cardioprotection, attenuated systemic inflammation, and survival benefit of β1-adrenoceptor blockade in severe sepsis in rats[J]. Crit Care Med, 2010, 38(2): 388-394. DOI:10.1097/CCM.0b013e3181c03dfa |
| [7] | 姚咏明, 张庆红. 从神经内分泌途径认识脓毒症时免疫反应失调[J]. 中国急救医学, 2012, 32(2): 97-100. DOI:10.3969/j.issn.1002-1949.2012.02.001 |
| [8] | Medina E. Murine model of polymicrobial septic peritonitis using cecal ligation and puncture(CLP)[J]. Methods Mol Biol, 2010, 602: 411-415. DOI:10.1007/978-1-60761-058-8-23 |
| [9] | Huang Y, Pettitt SJ, Guo G, et al. Isolation of homozygous mutant mouse embryonic stem cells using a dual selection system[J]. Nucleic Acids Res, 2012, 40(3): e21. DOI:10.1093/nar/gkr908 |
| [10] | 张廉君. β受体阻滞剂在脓毒性休克中的应用研究进展[J]. 西南军医, 2015, 17(5): 546-548. DOI:10.3969/j.issn.1672-7193.2015.05.030 |
| [11] | 刘军. β受体阻滞剂在脓毒症中的作用研究进展[J]. 肠外与肠内营养, 2014, 21(4): 244-246. DOI:10.16151/j.1007-810x.2014.04.003 |
| [12] | 李杜鹏, 方德舟, 王映珍, 等. 艾司洛尔对脓毒症大鼠肠道的保护作用的实验研究[J]. 中国急救医学, 2017, 37(1): 37-42. DOI:10.3969/j.issn.1002-1949.2017.01.009 |
| [13] | 傅瑞丽, 潘灵辉, 林飞, 等. 调控Toll样受体2/核转录因子-κB信号通路对呼吸机相关性肺损伤大鼠的影响[J]. 中华危重病急救医学, 2014, 26(12): 865-869. DOI:10.3760/cma.j.issn.2095-4352.2014.12.004 |
| [14] | Bachar O, Adner M, Uddman R, et al. Toll-like receptor stimulation induces airway hyper-responsiveness to bradykinin, an effect mediated by JNK and NF-κB signaling pathways[J]. Eur J Immunol, 2004, 34(4): 1196-1207. DOI:10.1002/eji.200324569 |
| [15] | 左文琼, 张育才. TOLL样受体与重症感染后急性肺损伤[J]. 国际儿科学杂志, 2010, 37(4): 378-380. DOI:10.3760/cma.j.issn.1673-4408.2010.04.014 |
| [16] | Li J, Xie C, Zhuang J, et al. Resveratrol attenuates inflammation in the rat heart subjected to ischemia-reperfusion:Role of the TLR4/NF-κB signaling pathway[J]. Mol Med Rep, 2015, 11(2): 1120-1126. DOI:10.3892/mmr.2014.2955 |
| [17] | 孟辉, 曹大伟, 刘超锋, 等. Bruton酪氨酸激酶和核因子-κB在高氧诱导肺损伤中的作用[J]. 中华急诊医学杂志, 2017, 26(2): 181-185. DOI:10.3760/cma.j.issn.1671-0282.2017.02.012 |
| [18] | Yamamoto M, Takeda K. Current views of toll-like receptor signaling pathways[J]. Gastroenterol Res Pract, 2010, 2010(1): 240365. DOI:10.1155/2010/240365 |
| [19] | Schwartz MD, Moore EE, Moore FA, et al. Nuclear factor-kappa B is activated in alveolar macrophages from patients with acute respiratory distress syndrome[J]. Crit Care Med, 1996, 24(8): 1285-1292. DOI:10.1097/00003246-199608000-00004 |
| [20] | 陈晓彤, 王寿平, 邹子俊, 等. Toll样受体4单克隆抗体预处理对脂多糖诱发小鼠急性肺损伤的影响[J]. 中华急诊医学杂志, 2011, 20(10): 1052-1055. DOI:10.3760/cma.j.issn.1671-0282.2011.10.012 |
| [21] | Hassan-Khabbar S, Vamy M, Cottart CH, et al. Protective effect of post -ischemic treatment with trans -resveratrol on cytokine production and neutrophil recruitment by rat liver[J]. Biochimie, 2010, 92(4): 405-410. DOI:10.1016/j.biochi.2009.12.009 |
| [22] | Yang L, Li D, Zhuo Y, et al. Protective role of liriodendrin in sepsis -induced acute lung injury[J]. Inflammation, 2016, 39(5): 1805-1813. DOI:10.1007/s10753-016-0416-1 |
2018, Vol. 27



