患者,男,31岁,既往体健。因“间断发热、咳嗽10 d,昏迷16 h”于2016年12月9日入院。患者2016-11-30无诱因出现咳嗽、发热,抗感染治疗3 d后,症状好转。2016-12-6患者再次出现上述症状,最高体温38℃,伴头痛。2016-12-8 19:31于本院就诊期间出现意识模糊,瞻妄,次日02:15患者深昏迷,呼之不应。查体:体温38.5℃,脉搏131次/min,呼吸29次/min,血压126/56 mmHg(1 mmHg=0.133 kPa), 心、肺、腹未见异常。专科情况:深昏迷,双侧瞳孔不等大,左侧d=5.5 mm, 右侧d=6.0 mm, 双侧对光反射消失,疼痛刺激无反应,角膜反射未引出,脑神经查体不合作,四肢肌力查体不合作,双上肢肌张力高,双下肢肌张力正常,双侧膝、跟腱反射亢进,踝阵挛,颈强直,克氏征阳性、布氏征阳性。颅脑CT示双侧侧脑室低密度影,颅内感染?双侧侧脑室扩张。血常规:白细胞15.43×109/L,中性粒细胞百分比4.62%;降钙素原3.74 ng/mL, 12月9日行腰椎穿刺抽出淡黄色微混脑脊液,压力>300 cmH2O(1cmHg=0.098kPa), 脑脊液常规:细胞总数864 ×106/L,白细胞818×106/L,多核细胞80%,单核细胞20%,生化:氯113.3 mmol/L,葡萄糖1.00 mmol/L,总蛋白258.0 g/L,革兰染色、墨汁染色、抗酸染色阴性,脑脊液培养结果阴性。血培养结果示:肺炎链球菌。诊断为化脓性脑膜炎,病原菌为肺炎链球菌。给予降颅压,抗感染治疗后,症状好转,2016-12-12患者疼痛刺激有反应。2016-12-20神志转清,可按指令发出动作,但遗留有双侧动眼神经损伤,表现为双侧瞳孔散大,双侧对光反射消失,双侧眼睑下垂,左侧明显,双侧瞳孔各方位(除外展位外)运动不良;此外,合并双侧视神经、左侧面神经损伤,表现为无光感,左侧额纹消失,左侧鼻唇沟略浅。2016-12-26患者恢复部分光感,但视野缺损,无法分辨颜色。双侧动眼神经损伤及左侧面神经损伤未见明显改善,查体脑膜刺激征仍阳性。2016-12-15复查颅脑CT较前无明显变化。2016-12-27颅脑磁共振示脑积水,颅底感染,考虑患者动眼神经及其余脑神经损伤与高颅压压迫脑神经及颅底感染侵及脑神经有关,建议患者外院行脑室穿刺引流术进一步治疗。
2 讨论肺炎链球菌目前为成人化脓性脑膜炎最主要病原菌,大约占到所有病原菌的50%~80%[1-2]。Jit[3]研究提示肺炎链球菌脑膜炎出院患者中,30%~40%的患者都有后遗症,包括智力受损、瘫痪、癫痫发作、听力受损。这些损伤可能与炎症致血管改变导致的脑梗死,脑出血,脑脓肿,血管炎,血栓形成有关[2, 4]。而肺炎链球菌脑膜炎引起动眼神经损伤及其他脑神经损伤的病例极少。复习文献,通常动眼神经损伤考虑以下几方面原因:①颅内损伤,通常由于支配动眼神经核、动眼神经副核的血管发生血管炎或血管痉挛致动眼神经损伤。②颅外损伤,通常与高颅压压迫脑神经有关,常同时涉及第二、三、六、七、八对脑神经,这些脑神经均穿过蛛网膜下腔区域。③颅底感染很容易侵及脑神经,同时晚期形成颅底蛛网膜广泛粘连影响脑脊液回流,这在结核性脑膜炎及隐球菌性脑膜炎中多见,而肺炎链球菌性脑膜炎很少累及颅底感染[5-7]。该患者起病急,临床表现典型,结合病史及辅助检查,考虑化脓性脑膜炎诊断明确,病原学考虑肺炎链球菌。但患者意识恢复后逐渐出现动眼神经、面神经、视神经等多对脑神经损伤。对于该患者,动眼神经损伤同时累及视神经、面神经等多对脑神经损伤,持续脑积水状态,且影像学可见明显的颅底感染,故考虑该患者的脑神经损伤与高颅压状态压迫脑神经及颅底感染侵及多对脑神经有关。最终建议患者行侧脑室穿刺引流、脑室-腹腔分流术等解除高颅压状态。
|
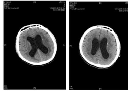
| 图 1 左侧为2016年12月8日我院颅脑CT,右侧为2016年12月15日我院复查颅脑CT,两次颅脑CT均提示双侧侧脑室扩张,无明显变化 |
|
|
|
| 图 2 为2016年12月27日颅脑磁共振,提示脑积水、颅底感染 |
|
|
|
| 图 3 上睑下垂、眼球外展位、对光反射消失提示动眼神经损伤 |
|
|
| [1] | Weisfelt M, Van d BD, Spanjaard L, et al. Clinical features, complications, and outcome in adults with pneumococcal meningitis: a prospective case series[J]. Lancet Neur, 2006, 5(2): 123-109. DOI:10.1016/S1474-4422(05)70288-X |
| [2] | Lucas MJ, Brouwer MC, Bovenkerk S, et al. Group A Streptococcal meningitis in adults[J]. Infection, 2015, 71(1): 37. DOI:10.1016/j.jinf.2015.01.008 |
| [3] | Jit M. The risk of sequelae due to pneumococcal meningitis in high-income countries: A systematic review and meta-analysis[J]. Vaccine, 2010, 61(2): 114-124. DOI:10.1016/j.jinf.2010.04.008 |
| [4] | Engelenlee JY, Brouwer MC, Aronica E, et al. Pneumococcal meningitis: Clinical-pathological correlations (meningene-path)[J]. Acta Neur Comm, 2016, 4(1): 1-12. DOI:10.1186/s40478-016-0297-4 |
| [5] | Mukherjee S, Askwith JK. Transient isolated oculomotor nerve paralysis in neonatal group B streptococcal meningitis[J]. J Paed Child Health, 2008, 44(4): 231-252. DOI:10.1111/j.1440-1754.2008.01289.x |
| [6] | Chu ML, Litman N, Kaufman DM, et al. Cranial nerve palsies in Streptococcus pneumoniae meningitis[J]. Pediat Neur, 1990, 6(3): 209. DOI:10.1016/0887-8994(90)90066-A |
| [7] | Barry B, Kanamori M, Geldhoff M, et al. Pathogenesis and pathophysiology of pneumococcal meningitis[J]. Clin Microbiol Rev, 2011, 24(3): 557. DOI:10.1128/CMR.00008-11 |
2018, Vol. 27



