急性假膜性坏死性喉气管支气管炎, 又称急性纤维蛋白性喉气管支气管炎(acute fibrinous laryngotracheobronchitis, AFLTB), 是喉、气管、支气管黏膜的急性弥漫性坏死性炎症, 多见于幼儿。急性喉气管支气管炎(acute laryngotracheobronchitis, ALTB)主要分为急性阻塞性喉气管支气管炎(acute obstructive laryngotracheobronchitis, AOLTB)和急性纤维蛋白性喉气管支气管炎。后者较前者少见, 病情凶险, 病死率极高。现将浙江大学医学院附属儿童医院2017年收治的两例病例报道如下。
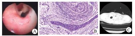
1 资料与方法病例1, 患儿, 女, 1岁8个月, 因“咳嗽发热2 d, 气促声嘶1 d”于2017年2月10日入院。既往体健。入院查体:T 37.5 ℃, P 160次/min, R 38次/min, BP 128/78 mmHg(1 mmHg=0.133 kPa), 神志欠清, 呼吸促, 三凹征明显, 双肺呼吸音粗, 偏低, 未闻及明显干湿啰音, 心音中, 腹软。立即予气管插管呼吸机辅助通气, 呼吸机显示气道峰压高, 经气管插管吸出褐色黏性物质后气道峰压下降。之后行纤维支气管镜检查, 镜下见气管支气管黏膜红肿, 并可见大量黏液条索状物质(图 1A), 予冲洗清除完毕后送检病理, 提示(支气管)小片炎性坏死组织(图 1B)。诊断:急性假膜性坏死性喉气管支气管炎。患儿入院后查血常规提示白细胞计数14.11×109/L, 中性粒细胞85.8%, 超敏C反应蛋白63 mg/L, 痰培养提示甲氧西林敏感金黄色葡萄球菌, 痰呼吸道病毒检测阴性, 胸部CT提示肺炎, 左下肺为著, 右侧胸膜反应, 气管上段线样稍高密度影(图 1C)。入院后予气管插管呼吸机辅助通气2 d, 吸痰清理呼吸道, 美罗培南抗感染, 甲泼尼龙抗炎等治疗, 患儿病情逐渐缓解。入院5 d拍背后剧烈咳嗽, 随即出现发绀, 心搏呼吸骤停, 立即心肺复苏2 h无效, 予以建立体外膜肺支持, 但最终因多器官功能障碍综合征宣告死亡。
|
| 图 1 A:病例1纤支镜下见气管黏膜红肿, 并可见黏液条索状物质; B:病理结果(支气管)小片炎性坏死组织(HE, 200×); C:胸部CT提示气管上段线样稍高密度影 |
|
|
病例2, 患儿, 女, 2岁4个月, 因“发热咳嗽4 d, 气促声嘶3 d”于2017年3月14日入院。3 d前进食橡皮软糖后出现气促及咳嗽加重。既往体健。入院查体:T 37.0℃, P 172次/min, R 46次/min, BP 117/52 mmHg, 烦躁不安, 呼吸促, 三凹征明显, 张口呼吸, 双肺呼吸音低, 可闻及少许干啰音, 心音中, 腹软。立即予气管插管接呼吸机辅助通气, 患儿气道峰压高明显, 行纤维喉镜检查提示气道黄色黏液样物质, 难以取出, 遂立即行纤维支气管镜检查, 镜下见黄色黏性物质堵塞气道, 冲洗干净后, 见气管支气管黏膜红肿, 局部发白, 可见大量黏液条索状物质(图 2A)。纤支镜病理提示(灌洗物)炎性坏死组织, 多量脓细胞。肺部灌洗液样品与可疑呼吸道异物样品红外图谱对比提示呼吸道异物为橡皮软糖可能性大。诊断:急性假膜性坏死性喉气管支气管炎, 呼吸道异物。入院后查血常规提示白细胞计数9.81×109/L, 中性粒细胞86.4%, 超敏C反应蛋白82 mg/L, 多次纤支镜灌洗液培养均提示甲氧西林敏感金黄色葡萄球菌, 痰及灌洗液呼吸道病毒检测提示流感A病毒阳性, 复查纤支镜病理提示(支气管)片状炎性纤维素样坏死渗出物(可符合假膜性喉支气管炎)(图 2B), 入院前胸部CT提示左主支气管显示不清, 右肺中叶肺炎伴不张, 入院后复查胸部CT提示右肺少量炎症性改变, 以右肺上叶为著。患儿入院后予气管插管呼吸机辅助通气, 吸痰清理呼吸道, 多次纤维支气管镜检查及冲洗, 并予奥司他韦抗病毒, 美罗培南、利奈唑胺抗感染, 甲泼尼龙抗炎, 雾化加强呼吸道护理等治疗。住院期间亦突发气道堵塞, 予心肺复苏抢救, 直接喉镜下夹取约2 cm×0.3 cm痰栓样物质, 之后纤支镜冲洗清除干净。住院期间患儿受损气道黏膜逐步愈合, 咳嗽缓解, 声嘶好转, 1个月后顺利出院。
|
| 图 2 A:病例2纤支镜下见气管黏膜红肿, 局部发白, 可见黏液条索状物质; B:病理结果(支气管)片状炎性纤维素样坏死渗出物(HE, 200×) |
|
|
一般认为本病多为病毒继发细菌感染, 主要病理特点是喉、气管、支气管内有大块或筒状痂皮、黏液脓栓和假膜, 易阻塞气道, 出现呼吸困难, 极易窒息死亡。
从病因来说, Szpunar等[1]早在1971年通过对246例急性假膜性坏死性喉气管支气管炎的患者进行统计分析, 发现该疾病的始发因素为病毒感染, 主要累及呼吸道黏膜纤毛上皮。国内亦有文献报道常见的病毒为流感病毒、腺病毒等[2]。亦有多例甲型流感并发塑型支气管炎的报道[3-4]。而细菌绝大多数为革兰阳性菌, 如金黄色葡萄球菌、溶血性链球菌、肺炎链球菌等[2, 5]。本文病例1未查到常见的呼吸道病毒, 可能为标本原因, 亦可能为其他罕见病毒, 病例2在痰液及灌洗液中均检测到甲型流感病毒。在细菌感染方面, 两病例都明确为甲氧西林敏感金黄色葡萄球菌。该菌毒力因子众多, 主要为杀白细胞素、溶血毒素、肠毒素等, 其中杀白细胞素是导致坏死性肺炎的重要毒素[6-7]。有研究认为在流感病毒和(或)杀白细胞素阳性的金葡菌作用下, 气道上皮细胞受到破坏, 暴露出细胞下基质, 细菌在繁殖同时产生大量的细胞毒素, 如杀白细胞素、溶血毒素等[8]。目前具体作用机制尚不明确。从临床治疗而言, 一旦确诊本病, 需尽早明确致病的病毒和细菌, 如确为流感病毒, 建议尽早应用奥司他韦, 而抗生素则应以抗革兰阳性菌为主。在病例2中, 积极应用奥司他韦抗病毒及利奈唑胺抗金葡菌治疗, 患儿体温、炎症指标逐步下降。
除积极抗感染以外, 保证气道通畅尤为重要。本文两例患儿入院时均存在明显通气障碍, 通过及时气管插管、吸痰、喉镜及支气管镜解除梗阻后病情好转, 住院期间均因内生异物阻塞气道再次抢救。本病发生气道堵塞时, 常需紧急气管插管, 喉镜、支气管镜取异物, 甚至行气管切开术。硬支气管镜被认为是取异物的首选方法, 而软支气管镜主要用于诊断, 但随着技术的进步, 软支气管镜也广泛应用于治疗[9]。病情缓解期, 除加强气道湿化以避免干痂形成外, 需反复支气管镜检查、冲洗及取异物, 尽量减少内生异物阻塞气道的可能。在病例2中, 患儿初期气道梗阻解除后, 多次给予纤维支气管镜检查和治疗, 可见患儿气道黏膜红肿逐步消退, 黏液样物质逐渐减少, 后期气道局部覆盖白色膜状物质, 通过支气管镜逐步清除干净, 最终顺利出院。有研究认为反复支气管镜操作可能导致气道黏膜水肿加重, 且患儿呼吸循环衰竭时难以耐受, 建议气管切开后加强气道护理[5], 但气管切开无法解除切开部位以下梗阻, 经气切套管吸痰亦难以彻底清除假膜, 且本病多为幼儿, 气管切开术相对风险大, 目前已有多例未实施气管切开术依靠支气管镜治疗成功[10]。
综上所述, 急性假膜性坏死性喉气管支气管炎发病率不高, 但病情危重, 临床上需对其高度警惕。除了加强抗病毒、抗感染、激素减轻炎症反应、湿化气道等基本措施以外, 梗阻时需积极气管插管甚至气管切开, 及时采用喉镜、支气管镜等保证气道通畅, 稳定时亦需要反复支气管镜检查和治疗以减少气道堵塞发生。
| [1] | Szpunar J, Glowacki J, Laskowski A, et al. Fibrinous laryngotracheobronchitis in children[J]. Arch Otolaryngol, 1971, 93(2): 173-178. DOI:10.1001/archotol.1971.00770060259011 |
| [2] | 薛刚, 尚小岭, 林彦涛. 成人急性纤维蛋白性喉气管支气管炎4例报告[J]. 临床耳鼻咽喉科杂志, 2003, 17(4): 241. DOI:10.3969/j.issn.1001-1781.2003.04.024 |
| [3] | 陈凌, 陈琪, 黄萍. 甲型流感危重症致塑型性支气管炎一例[J]. 中华急诊医学杂志, 2010, 19(4): 434-435. DOI:10.3760/cma.j.issn.1671-0282.2010.04.033 |
| [4] | 白科, 林晓娟, 刘成军. 小儿危重症甲型流感并发塑型支气管炎15例临床分析[J]. 重庆医科大学学报, 2015, 40(1): 140-143. DOI:10.13406/j.cnki.cyxb.000375 |
| [5] | 僧东杰, 韩富根, 史东梅. 小儿纤维蛋白性喉气管支气管炎的临床诊治[J]. 中国小儿急救医学, 2008, 15(4): 368-369. DOI:10.3760/cma.j.issn.1673-4912.2008.04.026 |
| [6] | 蔡双启, 黄莹莹, 陈一强. 金黄色葡萄球菌毒力因子的研究进展[J]. 国际呼吸杂志, 2015, 35(16): 1242-1245. DOI:10.3760/cma.j.issn.1673-436X.2015.16.009 |
| [7] | 刘颖超, 杨鑫, 王丽娟, 等. 儿童医院重症监护病房金黄色葡萄球菌分子特征的研究[J]. 中华急诊医学杂志, 2017, 26(6): 614-621. DOI:10.3760/cma.j.issn.1671-0282.2017.06.003 |
| [8] | 吕小艳, 马筱玲. 产PVL毒素的金黄色葡萄球菌感染与坏死性肺炎[J]. 国际检验医学杂志, 2010, 31(4): 364-365, 368. DOI:10.3760/cma.j.issn.1673-4130.2010.04.023 |
| [9] | Salih AM, Alfaki M, Alam-Elhuda DM. Airway foreign bodies:A critical review for a common pediatric emergency[J]. World J Emerg Med, 2016, 7(1): 5-12. DOI:10.5847/wjem.j.1920-8642.2016.01.001 |
| [10] | 刘天夫, 任树北, 朱旭, 等. 支气管镜在小儿急性纤维蛋白性喉气管支气管炎急诊处理中的应用[J]. 临床耳鼻咽喉头颈外科杂志, 2015, 29(16): 1484-1485. DOI:10.13201/j.issn.1001-1781.2015.16.020 |
2018, Vol. 27



