心源性猝死是心力衰竭患者的最主要死亡原因之一。超过50%的心源性猝死是由于恶性心律失常所致[1]。而其中与心衰时存在的电生理重构特别是离子流重构密不可分。心肌细胞的钙离子流(ICa, L)改变在心衰后心律失常发生中起着重要的作用。ICa, L参与构成心肌细胞动作电位的2相平台期。心衰时,ICa, L增大将延长动作电位时程(action potetial duration, APD),易引起早后除极和触发活动,也易于2相折返的形成[2-3]。因此,研发针对心衰时降低ICa, L的药物将有利于减少心律失常的发生,降低猝死率。
大蒜素(alllcini, All)是一种从百合科植物大蒜鳞茎中分离出的具有多种生物学活性的化合物[4],其化学名为二烯丙基三硫化物。研究显示,大蒜素对多种离子流均有作用,从而发挥抗心律失常的效应[5-7]。研究还发现,All可抑制原发性高血压大鼠血管平滑肌细胞上的ICa, L[8]。但All是否对心衰后心室肌细胞ICa, L也有作用,尚未可知。本文选择心力衰竭兔的心室肌细胞,用全细胞膜片钳技术观察All对兔心室肌细胞ICa, L的影响,旨在寻找新的治疗心衰后恶性心律失常的药物。
1 材料与方法 1.1 溶液与试剂HEPES、胶原酶Ⅱ、胰蛋白酶、L-谷氨酸、K-天冬氨酸、GTP为美国Sigma公司产品;EGTA购自美国Fluka Biochemika公司;CdCl2、TTX和CsCl购自美国Sigma公司;DMEM细胞培养基购自美国Thermo公司产品;FBS胎牛血清。Lipofectamine转染试剂为美国Invitrogen公司产品。
细胞分离液成份(mmol/L) NaCl 130,KCl 5,CaCl2 1.5,MgCl2 1.2,HEPES 10,glucose 10,pH值用NaOH调至7.4;无钙分离液为分离液中不加CaCl2但增加EGTA 10 mmol/L。
细胞外液:同细胞分离液。于细胞外液加入4-AP 5 mmol/L阻断Ito,TTX 100 μmol/L阻断INa。细胞内液(mmol/L):CsC1 100、TEA-Cl 20、EGTA 10、三磷酸腺苷二钠5、HEPES 10,pH调至7.2。
1.2 兔慢性心力衰竭模型的制备取雄性新西兰大白兔(解放军总医院动物实验中心),体质量2.5~3.5 kg。采用20%乌拉坦(300 mg/kg)麻醉,分离腹主动脉近心端,在右肾动脉开口以上,用丝线将其缩窄60%~70%。2周后钝性分离右侧颈总动脉,4 F动脉鞘管通过右颈总动脉刺破主动脉瓣造成反流,脉压增加50%以上视为手术成功。青霉素肌注连续3 d,预防感染。术后8周评估心功能,心脏射血分数小于50%以下的兔允许进入下列实验,随机(随机数字法)分为3组:假手术组(sham组)、心衰组(HF组)、心衰+大蒜素组(HF+All组),每组15只。其中HF组、HF+All组采用腹主动脉缩窄联合主动脉瓣反流术建立兔心力衰竭模型,sham组只游离腹主动脉不缩窄、只结扎右颈总动脉不破坏主动脉瓣。
1.3 兔心室肌细胞的分离按笔者前期研究方法[9]采用酶解法制备心室肌单细胞并进行了改进。取上述实验兔首先肝素化(腹腔注射100 U/mL),再用20%乌拉坦(300 mg/kg)麻醉,迅速取心脏,在37℃和通氧条件下行Langendorff灌流。用无Ca2+ Tyrode's液灌流3~5 min,用含Ⅱ型胶原酶70 mg、胰蛋白酶12 mg的无Ca2+ Tyrode's液灌流(50 mL)25~30 min。沿房室间沟取心室肌,剪碎入KB液中并吹打使细胞脱落,并于-4 ℃保存,1 h后进行实验。取保存液加于1 mL灌流槽中,待细胞贴壁后,于倒置显微镜下选择边缘整齐、表面无颗粒、横纹清晰、无收缩的细胞,37℃下进行实验。Sham组和HF组心肌细胞灌流正常台氏液;HF+All组为含有大蒜素的台氏液灌流心衰心肌细胞,每组取15个心肌细胞。
1.4 药物及应用大蒜素购于上海禾风制药有限公司,纯品是无色或淡黄色油状物,相对分子质量为162。临用时采用细胞外液新鲜配制成结果部分所示终浓度。采用局部灌流装置于细胞外恒流灌流方式给药,为确保药物的效应的一致性,待平衡5 min后方可记录电流。
1.5 全细胞膜片钳记录采用全细胞膜片钳记录方法,在电压钳制下记录电流。将Axon-700B膜片钳放大器(Molecular Devices, Sunnyvale, CA, USA)同计算机连接。刺激信号及电压输入信号的采集应用Digidata 1440A数模转换器(Molecular Devices, Sunnyvale, CA, USA),均由软件(pCLAMP10.2)控制。GG-17玻璃毛坯经pp-83微电极拉制仪(Narishige Co. Japan)拉制成电阻为2.0~5.5 MΩ的电极。调节三维操纵器进行封接,使封接电阻达1 GΩ以上,吸破细胞膜形成全细胞记录模式。测定电容时,施以0.4 V/s的斜坡刺激,测电流并按方程Cm=I/(dV/dt)计算(Cm为膜电容,I为电流值,dV/dt即电压斜率)。为消除细胞间的误差,I值以电流密度(pA/pF)表示。信号经截止频率为1 kHz的四阶贝塞尔低通滤波器滤波,采样率为5 kHz。串联电阻补偿90%~95%以消除电压偏差,液接电位补偿校正至小于2 mV,慢电容补偿约为85%~90 %,以消除膜电容的充放电影响。
1.6 参数设置AP的记录:电流钳模式下,钳制电位为0 mV,1 500 pA持续10 ms的刺激,记录AP。
ICa, L电流记录:在电压钳方式下,保持电位-40 mV,施予0 mV,150 ms的去极化脉冲,可记录到一缓慢失活的内向电流,该电流被5 μmol/L的硝苯地平阻断,即为ICa, L。
ICa, L电流-电压曲线:在电压钳方式下,保持电位-40 mV,施予150 ms,阶跃10 mV,-40 mV~+40 mV的系列去极化脉冲,求算电流密度。以各电压下的电流密度与测试电压作图,得电流-电压曲线。
ICa, L稳态激活曲线:保持电位-40 mV,施予150 ms,阶跃为10 mV,-40 mV~+70 mV的系列去极化脉冲,可记录到ICa, L电流,标准化各电流幅值,以相对电流对各膜电位作图得稳态激活曲线,并用Boltzmann方程ICa/ICa, max= 1/{1+exp[(Vm-V1/2)/k]}进行曲线拟合求出半激活电压(V1/2)和激活曲线斜率(k)。
ICa, L稳态失活曲线:保持电位-40 mV,施予500 ms,阶跃为10 mV,-70 mV~+40 mV的系列去极化脉冲在每一条件脉冲后紧跟一固定去极化至0 mV,150 ms的测试脉冲,记录ICa, L,标准化各电流幅值,以相对电流对各膜电位作图得稳态失活曲线,并用Boltzmann方程ICa/ICa, max=1/{1+exp[-(Vm-V1/2)/k]}进行曲线拟合求出半失活电压(V1/2)和失活曲线斜率(k)。
ICa, L失活后恢复曲线:钳制电位-40 mV,给予0 mV,150 ms的去极化脉冲,分别间隔20、40、80、160、320、640及1 280 ms后,再施予第2次0 mV,150 ms的方波刺激,将第2次方波脉冲引出的电流与条件刺激电流相比,按单项指数式:I=A*Exp(-τ/t),求出恢复曲线的值。
1.7 统计学方法所有数据以均数±标准差(x±s)表示,数据处理采用pCLAMP 10.2处理,采用SPSS 17.0软件进行统计学处理,多组间数据比较用ANOVA方差分析,组间两两比较用SNK-q检验。以P < 0.05为差异有统计学意义。
2 结果 2.1 大蒜素对心衰兔心室肌细胞AP的作用图 1可见,心衰兔心室肌细胞APD明显延长,特别是APD50延长显著,从Sham组的(93.4±4.7)ms延长至HF组(115.5±6.2)ms(n=15, P < 0.01),应用All 30 μmol/L后,降低至(105.2±5.5)ms(n=15, P < 0.05)。相应的APD90也发生同样的改变,三组分别为:Sham组(118.4±5.7)ms、HF组(152.5±6.2)ms和HF+All组(135.1±8.0)ms。三组之间的动作电位幅值(APA)和静息电位(RMP)差异不大。
|
| A:三组细胞动作电位原始记录图;B和C:三组细胞的动作电位时程(APD50)和(APD90)的改变;与假手术组比较,aP < 0.01;与心衰组比较,bP < 0.05 图 1 大蒜素对心衰兔心室肌细胞动作电位时程(APD)的作用 Figure 1 Effect of All on APD of ventricular myocytes of rabbit with heart failure(HF) |
|
|
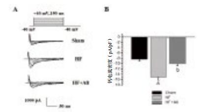
心衰兔心室肌细胞ICa, L电流密度显著大于假手术组,在0 mV去极化时,峰电流密度从Sham组细胞的(-8.4±0.6)pA/pF增加至(-15.1±1.1)pA/pF(n=15,P < 0.01)。灌流All 30 μmol/L后,使电流密度降低为(-10.1±0.8)pA/pF(n=15,P < 0.01),见图 2。
|
| A:三组细胞钙电流的原始记录图;B:三组细胞钙电流峰值密度的改变;与假手术组比较,aP < 0.01;与心衰组比较,bP < 0.01 图 2 大蒜素对心衰兔心室肌细胞ICa, L的作用 Figure 2 Effect of All on ICa, L of ventricular myocytes of HF rabbit |
|
|
采用串刺激引出系列ICa, L电流,以电流密度与刺激电压作图,得I-V曲线,该曲线呈典型的“倒钟”型钙电流特征,图 3显示,三组的电流约在-40 mV激活,最大峰值电位约在0 mV,即初始几乎电压和峰电压均未改变。但在-30 mV~ +20 mV范围内,HF组电流降低更为明显,提示电流改变具有一定的电压依赖性,尤其在峰电压附近电流变化更大。应用30 μmol/L的All后,各电压下电流均被抑制,尤其是在上述范围内恢复模型,且与对照组接近。说明All对心衰后心室肌细胞钙电流的作用在峰电位附近更大,见图 3A。
|
| A:三组细胞钙电流的电流-电压曲线;B:大蒜素对该电流作用的浓度依赖性曲线 图 3 大蒜素对心衰兔心室肌细胞ICa, L作用的电压和浓度依赖性 Figure 3 Voltage- and concentration-characteristics of All on ICa, L of ventricular myocytes of HF rabbit |
|
|
为了探讨药物作用的浓度效应,本研究采用不同浓度的All灌流,使药物最终浓度分别为0.3、1、3、10、30、100和300 μmol/L。结果发现,All抑制效应随着浓度增加而增强,All对心衰时心室肌细胞钙电流的抑制效应具有浓度依赖性。按Hill方程:I/I0=1/[1+([C]/IC50)nH]求算出IC50为(32.5±5.4)μmol/L,Hill系数为0.94,见图 3B。
2.4 大蒜素对心衰兔心室肌细胞ICa, L激活和失活曲线的作用稳态激活曲线显示,心衰时,钙电流的半激活电压(V1/2, act)为(-16.5±1.3)mV,而sham组则为(-15. 5±1.6)mV,HF+All组(-17.1±1.3)mV,三组之间差异无统计学意义。三组细胞的激活曲线斜率(k)未见明显改变。提示药物对电流的作用可能与通道的稳态激活过程关系不大,见图 4A。
|
| A:钙通道稳态激活曲线在三组细胞变化不大;B:钙通道稳态失活曲线在三组细胞有明显差异;与假手术组比较,aP < 0.01;与心衰组比较,bP < 0.01 图 4 大蒜素对心衰兔心室肌细胞ICa, L激活和失活曲线的影响 Figure 4 Effects of All on steady-state activated and steady-state inactivated of ICa, L of ventricular myocytes of HF rabbit |
|
|
图 4B可见,心衰时的钙电流半失活电压(V1/2, inact)从Sham组的(-30.8±3.4)mV正移至(-10.8±2.6)mV(n=15, P < 0.01),应用30 μmol/L All后,V1/2, inact恢复至(-19.3±2.5)mV(n=15, P < 0.01)。三组失活曲线斜率分别为Sham(6.9±0.3)mV、HF(5.9±0.3)mV和HF+All(6.6±0.3)mV。提示心衰时钙电流的增加作用可能主要通过使电流的稳态失活曲线向去极化电位移动,相同去极化电位时,通道失活减慢,应用药物处理后此现象得以缓解。
2.5 大蒜素对心衰兔心室肌细胞ICa, L失活后恢复动力学的作用图 5可见,心衰时钙电流失活后恢复动力学过程加速,这可能是电流增加的又一因素。而应用30.0 μmol/L All后,使通道失活后恢复曲线下移,恢复时间延长,提示药物也可能通过影响心衰后钙通道的恢复动力学而抑制电流,进而使之接近正常。
|
| 钙通道失活后恢复曲线在三组细胞中存在明显的差异 图 5 大蒜素对心衰兔心室肌细胞ICa, L失活后恢复曲线的影响 Figure 5 Effects of All on recovery curve from inactivation of ICa, L of ventricular myocytes of HF rabbit |
|
|
本研究发现,大蒜素可以逆转心衰时心室肌细胞APD延长。文献报道,心衰时由于复极电流的异常,导致APD的延长,从而易出现早后除极(EAD)或迟后除极(DAD),进而导致心力衰竭后的触发性心律失常,并进一步导致获得性LQT综合征和尖端扭转型室速(TdP)[10-11]。本研究的结果提示,大蒜素可以缩短心衰时心室肌细胞APD,有潜在的抗心律失常效应,具有一定的研发前景。
本研究进一步显示,大蒜素对心衰时心室肌细胞APD的作用主要与其电压依赖性和浓度依赖性地抑制ICa, L有关。众所周知,ICa, L参与构成心肌细胞动作电位的2期平台期,主要贡献APD50,ICa, L增大APD50延长,反之缩短。既往研究显示,在心衰时,ICa, L电流降低或者不变。由于二个过程综合效应,首先是ICa, L电流密度降低。另一方面,通道蛋白磷酸化增加,导致单通道开放概率增加,抵消了部分密度降低,使得电流变化不大。或者心衰时ICa, L电流功能性增加导致APD延长[12-13]。本研究发现,对于腹主动脉缩窄联合主动脉瓣膜损伤反流所致的兔心衰模型,其心室肌细胞ICa, L是增加的,且该电流的增加导致了APD50的延长。而引起电流增加的主要原因则是因为心衰时,心衰时钙通道稳态失活减缓和通道失活后恢复过程加速,而通道稳态激活变化不大。应用All后,可以逆转心衰时钙通道稳态失活和通道失活后恢复过程的改变,从而降低电流密度。因此,认为大蒜素通过影响钙通道门控机制降低电流,缩短APD。
本研究未就大蒜素对细胞膜通道蛋白的分子表达和细胞膜分布进行探讨,因此药物是否通过影响通道分子而发挥作用尚需进一步研究。另外,心室肌细胞复极观察涉及诸多通道,仅用ICa, L来解释大蒜素对APD的作用有一定的局限性,还需就药物对其他电流特别是钾电流和晚钠电流进行研究[14-15],方可得出较为全面、客观的结论。但这不影响从ICa, L角度来阐明大蒜素缩短APD的部分机制。
| [1] | Brack KE, Winter J, Ng GA. Mechanisms underlying the autonomic modulation of ventricular fibrillation initiation--tentative prophylactic properties of vagus nerve stimulation on malignant arrhythmias in heart failure[J]. Heart Fail Rev, 2013, 18(4): 389-408. DOI:10.1007/s10741-012-9314-2 |
| [2] | Horváth B, Hegyi B, Kistamás K, et al. Cytosolic calcium changes affect the incidence of early afterdepolarizations in canine ventricular myocytes[J]. Can J Physiol Pharmacol, 2015, 93(7): 527-533. DOI:10.1139/cjpp-2014-0511 |
| [3] | Clusin WT. Calcium and cardiac arrhythmias: DADs, EADs, and alternans[J]. Crit Rev Clin Lab Sci, 2003, 40(3): 337-375. DOI:10.1080/713609356 |
| [4] | 高敏, 肖雪飞, 彭玥, 等. 大蒜素对脓毒症大鼠肠黏膜屏障的保护作用[J]. 中华急诊医学杂志, 2016, 25(2): 167-172. DOI:10.3760/cma.j.issn.1671-0282.2016.02.007 |
| [5] | Huang W, Wang Y, Cao YG, et al. Antiarrhythmic effects and ionic mechanisms of allicin on myocardial injury of diabetic rats induced by streptozotocin[J]. Naunyn Schmiedebergs Arch Pharmacol, 2013, 386(8): 697-704. DOI:10.1007/s00210-013-0872-1 |
| [6] | 陈晨, 王禹, 张德贤, 等. 大蒜素对兔心房肌细胞超速激活延迟整流钾电流(IKUr)的改变[J]. 中华老年多器官疾病杂志, 2013, 12(5): 381-386. DOI:10.3724/SP.J.1264.2013.00095 |
| [7] | 但晴, 赵颖, 吴志娟, 等. 大蒜素对自发性高血压大鼠心肌Ito重构的影响[J]. 药学学报, 2015, 50(1): 39-44. DOI:10.16438/j.0513-4870.2015.01.008 |
| [8] | 王瑞, 王萍, 徐斌, 等. 大蒜素对自发性高血压大鼠肠系膜动脉平滑肌细胞钙电流的作用[J]. 心脏杂志, 2014, 26(4): 378-383. DOI:10.13191/j.chj.2014.0037 |
| [9] | 柯俊, 张存泰, 马业新, 等. 钙调蛋白激酶Ⅱ抑制剂对心肌肥厚兔室性心律失常的影响[J]. 中华心血管病杂志, 2007, 35(1): 39-42. DOI:10.3760/j.issn.0253-3758.2007.01.008 |
| [10] | Coronel R, Wilders R, Verkerk AO, et al. Electrophysiological changes in heart failure and their implications for arrhythmogenesis[J]. Biochim Biophys Acta, 2013, 1832(12): 2432-2441. DOI:10.1016/j.bbadis.2013.04.002 |
| [11] | Hasselberg NE, Haugaa KH, Bernard A, et al. Left ventricular markers of mortality and ventricular arrhythmias in heart failure patients with cardiac resynchronization therapy[J]. Eur Heart J Cardiovasc Imaging, 2016, 17(3): 343-350. DOI:10.1093/ehjci/jev173 |
| [12] | Goonasekera SA, Hammer K, Auger-Messier M, et al. Decreased cardiac L-type Ca2+ channel activity induces hypertrophy and heart failure in mice[J]. J Clin Invest, 2012, 122(1): 280-290. DOI:10.1172/JCI58227 |
| [13] | O'Rourke B, Kass DA, Tomaselli GF, et al. Mechanisms of altered excitation contraction coupling in canine tachycardia-induced heart failure, I: experimental studies[J]. Circ Res, 1999, 84(5): 562-570. DOI:10.1161/01.res.84.5.562 |
| [14] | Horvath B, Bers DM. The late sodium current in heart failure: pathophysiology and clinical relevance[J]. ESC Heart Fail, 2014, 1(1): 26-40. DOI:10.1002/ehf2.12003 |
| [15] | Grubb S, Speerschneider T, Occhipinti D, et al. Loss of K+ currents in heart failure is accentuated in KChIP2 deficient mice[J]. J Cardiovasc Electrophysiol, 2014, 25(8): 896-904. DOI:10.1111/jce.12422 |
2018, Vol. 27



