急性肺损伤(acute lung injury,ALI)或急性呼吸窘迫综合征(acute respiratory distress syndrome,ARDS)是由心源性以外的各种因素引起的急性、进行性加重的呼吸衰竭,并以肺泡-毛细血管膜通透性增加为特征的肺部炎症性综合反应[1-2]。尽管ALI/ARDS发病机制研究及临床治疗取得了进步,但是ALI/ARDS仍是危重病患者死亡的原因之一[3-4]。细菌感染是ALI/ARDS重要的致病因素,研究表明在脓毒症休克的病例中,ALI/ARDS的发病率为18%~38%,并且细菌毒素脂多糖(lipopolysaccharide,LPS)的检出率高达51%[5]。LPS诱导的小鼠ALI模型已广泛应用于肺损伤发病机制的研究[6]。研究报道,肺泡上皮细胞亦参与ALI的免疫调节,表皮生长因子受体(epidermal growth factor receptor,EGFR)是一种广泛表达于肺泡上皮细胞的膜受体,在机械性通气引起的ALI中,EGFR明显活化,而使用EGFR抑制剂能够减轻肺损伤程度[7]。此外,肺泡上皮细胞亦分泌肺泡表面活性物质,如肺表面活性物质相关蛋白A(surfactant protein A,SP-A)等,SP-A具有降低肺泡表面张力、维持肺泡正常生理功能,并且还具有调节肺局部免疫的功能[8-9]。厄洛替尼是一种新型的EGFR抑制剂,临床上应用于治疗非小细胞肺癌等[10],但在LPS诱导的小鼠ALI模型中EGFR抑制剂的作用尚不明确。本文讨论厄洛替尼在ALI中的干预作用及对SP-A表达的影响,现报告如下。
1 材料与方法 1.1 实验材料 1.1.1 试剂及仪器LPS(Ecoli,O55:B5)购自Sigma公司(美国),厄洛替尼购自Santa公司(美国),兔抗小鼠SP-A抗体购自北京博奥森生物技术有限公司(中国),HRP标记的羊抗兔二抗、ECL发光液、DAB显色液购自碧云天生物技术有限公司(中国)。BCA Protein Assay kit试剂盒购于Thermo公司(美国)。UVP Biospectrum化学发光成像系统(美国)。Olympus BX53显微镜(日本)。
1.1.2 实验动物及分组SPF级健康雄性C57BL/6小鼠(6~8周龄、20~25 g)购自武汉大学动物实验中心。实验小鼠随机(随机数字法)分为空白对照组(Control),厄洛替尼灌胃对照组(ER),LPS诱导ALI组(LPS),厄洛替尼药物处理ALI组(ER+LPS),每组6只。Control组给予2 mg/kg生理盐水气管内滴注;ER组予以100 mg/kg的厄洛替尼灌胃;LPS组给予2 mg/kg的LPS气管内滴注;ER+LPS组予以100 mg/kg厄洛替尼灌胃,1 h后给予2 mg/kg的LPS气管内滴注。所有标本均在LPS处理后24 h收集。采用1%戊巴比妥80 mg/kg腹腔注射麻醉小鼠后,剖开腹腔,离断腹主动脉放干血液处死,左肺叶置于4%多聚甲醛中固定24 h后用石蜡包埋并进行组织切片,右肺叶提取蛋白用于Western Blot;另一批小鼠经上述同样方法处死后,每只小鼠使用1 mL生理盐水共3次进行支气管肺泡灌洗,收集灌洗液用于测定总蛋白浓度及细胞计数。
1.2 方法 1.2.1 肺组织病理学观察肺组织切片予以脱蜡水化后,行HE染色,在光学显微镜下观察并拍照,每张切片选取5个视野。根据肺泡腔内和肺间质中性粒细胞浸润、肺间隔厚度、透明膜等进行肺组织病理损伤评分[11]。
1.2.2 肺湿/干质量比值测定小鼠处死后立即取下右上肺组织行电子天平测量湿质量,然后用锡箔纸包扎肺脏置于65 ℃烤箱中烘烤24 h后用电子天平测量干质量,再计算湿/干质量比值。
1.2.3 肺泡灌洗液总蛋白浓度及细胞计数测定收集的肺泡灌洗液经4 ℃离心机400 g离心5 min后,上清液保存在-80 ℃,根据BCA Protein Assay kit试剂说明书测定肺泡灌洗液中总蛋白的浓度;下面沉淀的细胞团用2 mL红细胞裂解液重悬,静置5 min后于400 g离心5 min,弃去上清液,再用1 mL的PBS吹悬,从计数板的凹槽中加入20 μL细胞悬液,置于光学显微镜下观察计数。
1.2.4 SP-A免疫组织化学染色肺组织石蜡切片(4 μm),使用透明脱蜡剂脱蜡并用不同梯度乙醇水化。将切片置于含有0.01 mol/L枸橼酸钠缓冲液的修复盒中用微波炉加热法对组织切片进行抗原修复15 min。3%过氧化氢孵育10 min消除内源性过氧化物酶活性。5% BSA封闭30 min,滴加1:200稀释的兔抗小鼠SP-A抗体4 ℃孵育过夜。滴加HRP标记的山羊抗兔二抗,室温下孵育1 h。DAB显色,苏木精染核,中性树胶封片。显微镜下观察标本,棕黄色即为阳性结果,每个标本取5个视野。Image pro-plus 6.0软件统计分析光密度值。
1.2.5 Western Blot检测SP-A蛋白表达水平提取肺组织总蛋白BCA法测定蛋白浓度并校对蛋白浓度,聚丙烯酰胺凝胶电泳,上样蛋白量为20 μg,转膜,TBST洗涤3次。5% BSA封闭1 h,加入兔抗小鼠SP-A抗体(稀释比1:500)4℃孵育过夜,TBST洗涤3次。加入HRP标记的二抗(稀释比1:1 000)室温下孵育1 h,TBST洗涤3次。加入ECL发光液,在Western Blot化学发光成像系统下曝光。使用AlphaEase FC软件计算灰度值。
1.3 统计学方法数据使用SPSS 17.0软件进行统计学分析,计量资料采用均数±标准差(x±s)表示,各组间采用单因素方差分析(ANOVA),组间两两比较采用LSD-t检验,以P < 0.05为差异有统计学意义。
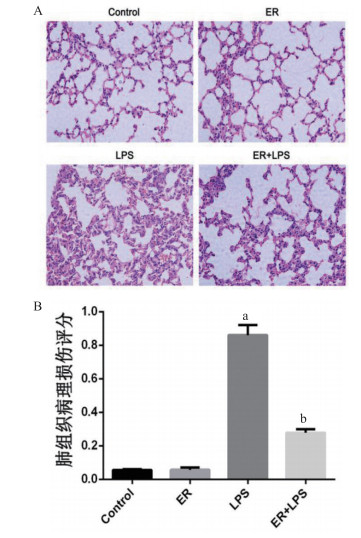
2 结果 2.1 肺组织病理改变及肺损伤评分肺组织HE染色(图 1A)见Control组肺泡结构完整;ER组肺组织结构完整,未见损伤;LPS组可见网状的肺泡结构破坏,肺间隔增厚、并伴有大量的炎症细胞浸润、红细胞渗出及透明膜形成等;ER+LPS组部分肺组织恢复了网状结构,肺间质的充血水肿均减轻,炎症细胞浸润量显著减少。肺组织病理损伤评分(图 1B)显示,各组间评分差异具有统计学意义(F=404.0,P < 0.01),LPS组评分(0.846±0.047)明显高于Control组(0.056±0.008)及ER组(0.064±0.037),而ER+LPS组(0.279±0.020)则明显低于LPS组,差异具有统计学意义(P < 0.05)。
|
| A肺组织HE染色(×400)Control:空白对照组;ER:厄洛替尼灌胃对照组;LPS:LPS诱导ALI组;ER+LPS:厄洛替尼灌胃后LPS处理组;B肺组织病理损伤评分;与Control组相比较, aP < 0.05;与LPS组相比较, bP < 0.05 图 1 肺组织病理改变及肺损伤评分 Figure 1 Pathological changes of lung tissue and lung injury score |
|
|
肺湿/干质量比值结果(图 2A)显示:各组间评分差异具有统计学意义(F=46.86,P < 0.01),LPS组肺湿/干质量比值明显增加,而ER+LPS组湿/干质量比值较LPS组明显减轻;肺泡灌洗液总蛋白浓度(图 2B)显示:各组间评分差异具有统计学意义(F=218.4,P < 0.01),LPS诱导的ALI可见大量的蛋白渗出,ER处理能够减轻LPS诱导的蛋白渗出;肺泡灌洗液细胞计数(图 2C)亦表明各组间评分差异具有统计学意义(F=407.9,P < 0.01),ER能够减轻LPS诱导的细胞渗出,差异具有统计学意义(P < 0.05)。
|
| A肺湿/干质量量比值;B肺泡灌洗液总蛋白浓度(μg/mL);C肺泡灌洗液细胞计数(×10 000);与Control组相比较, aP < 0.05;与LPS组相比较, bP < 0.05 图 2 肺水肿程度测定 Figure 2 Determination of pulmonary edema |
|
|
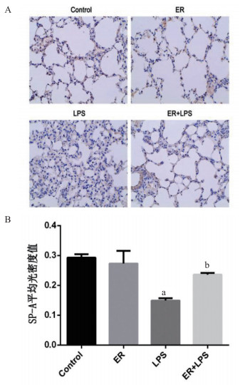
SP-A免疫组织化学染色如图 3A所示,Control组SP-A阳性的细胞均匀分布于肺泡上皮细胞层;ER组亦可见SP-A阳性的细胞分布于上皮细胞层;LPS组SP-A阳性的细胞数目明显减少;ER+LPS组可见增多的SP-A阳性的细胞。SP-A平均光密度值(图 3B)显示:各组间评分差异具有统计学意义(F=39.37,P=0.024 4),与Control组相比,LPS组平均光密度值明显偏低,ER+LPS组平均光密度值较LPS组升高,差异具有统计学意义(P < 0.05)。
|
| A肺组织SP-A免疫组织化学染色(×400);B SP-A平均光密度值。与Control组相比较, aP < 0.05;与LPS组相比较, bP < 0.05 图 3 SP-A在肺组织中的表达 Figure 3 The expression of SP-A in lung tissue |
|
|
采用Western Blot检测SP-A表达(图 4A),使用AlphaEase FC软件分析结果(图 4B),各组间评分差异有统计学意义(F=27.88,P=0.015 4),与Control组相比较,LPS组SP-A蛋白表达水平明显偏低;而ER+LPS组蛋白表达水平较LPS组升高,差异具有统计学意义(P < 0.05)。
|
| A肺组织SP-A的Western Blot结果;B SP-A蛋白表达水平。与Control组相比较, aP < 0.05;与LPS组相比较, bP < 0.05 图 4 SP-A的蛋白表达水平 Figure 4 The protein level of SP-A in lung tissue |
|
|
ALI/ARDS的突出特点是急性的难治性低氧血症(动脉氧分压/吸入氧体积分数≤300)和由非心源性因素引起的双侧肺部浸润[4]。由于ARDS是多因素引起的综合征,如肺炎、肺抽吸术、吸入有毒气体及缺血-再灌注损伤等[12-13],因此有针对性的根除病因是治疗ALI/ARDS的基础。目前类固醇类、他汀类、抗介质类药物已应用于临床治疗ARDS,但仍不能有效降低ALI/ARDS的病死率[14]。本研究采用EGFR抑制剂厄洛替尼干预LPS诱导的小鼠ALI,结果显示厄洛替尼能够在一定程度上减轻肺组织损伤程度及减轻肺泡渗出,并且在肺损伤过程中,SP-A蛋白分泌减少,表达水平降低,而在厄洛替尼处理后,SP-A表达水平上升,表明厄洛替尼可能参与对SP-A的调控进而减轻ALI损伤程度。
肺损伤的发病机制复杂,包括促炎细胞因子释放、中性粒细胞浸润、巨噬细胞的活化等。有学者认为,多种病因诱发的全身或肺内过度活化的炎症反应是引起肺损伤的主要发病机制[12]。动物实验研究发现在LPS诱导的小鼠ALI模型中,阻断TLR4或使用TLR4基因敲除的小鼠,均可以明显减弱NF-κB信号通路的作用,减少炎症介质的释放,减轻肺损伤程度等[15-16]。这些研究表明,抑制炎症信号通路可以缓解肺损伤。
除肺脏免疫系统的激活外,肺泡上皮细胞屏障的破坏及增殖修复亦在ALI/ARDS发病中起重要作用[17]。EGFR参与调控ALI[8],EGFR活化后能够增强对TLRs/NF-κB信号通路的调控,促进炎症因子及趋化因子的释放,抑制EGFR或TLRs任何一种信号通路均能减轻炎症反应[18-19]。而EGFR及TLRs分别主要表达于肺泡上皮细胞及免疫细胞,这些研究表明在ALI/ARDS发病过程中,不仅有免疫细胞对肺泡上皮细胞的损伤与破坏,肺泡上皮细胞亦参与对免疫细胞的调控。本研究中,我们采用EGFR抑制剂厄洛替尼干预LPS诱导的小鼠ALI,可见厄洛替尼能够在一定程度上减轻肺间隔厚度、减少肺实质的细胞浸润及肺泡渗液,减轻肺水肿程度,这些结果说明厄洛替尼在肺损伤中起保护作用。
另有研究表明,SP-A能够识别微生物表面的病原体相关分子模式,通过聚集、调理素及增加通透性等作用于微生物,利于微生物的清除,并且SP-A还能够结合巨噬细胞、淋巴细胞及上皮细胞的膜受体,调节这些细胞对刺激的反应性[9, 20]。SP-A基因缺陷的小鼠更容易受到细菌如B型链球菌、铜绿假单胞菌及腺瘤病毒的感染,进而引起强烈的肺部炎症反应[21]。在本研究中我们发现,在LPS诱导的小鼠ALI模型中,SP-A表达水平明显降低。SP-A降低后一方面肺组织清除微生物及毒素作用降低,另一方面还会造成肺张力减弱、引起肺泡塌陷等。
前期研究发现,LPS诱导的小鼠ALI可见明显的EGFR磷酸化,使用厄洛替尼抑制EGFR磷酸化后,能够减轻肺组织炎症介质释放。在肺损伤后,肺上皮细胞立即启动修复机制,上皮的修复是通过Ⅱ型肺泡上皮细胞向裸露的肺泡基底膜增殖、迁移及分化完成的,而EGFR过度的活化则能够引起Ⅱ型肺泡上皮细胞大量增殖,并且延迟向Ⅰ型肺泡上细胞迁移分化,从而造成肺纤维化,延缓肺组织的修复过程[22]。本研究中,使用厄洛替尼作用于ALI小鼠后,可见肺间隔厚度降低、细胞增殖减缓,表明EGFR抑制剂能够减缓肺组织细胞增殖速度;另一方面EGFR抑制剂还能促进SP-A表达的上调,说明厄洛替尼保护肺损伤的作用机制与可能与促进SP-A的表达相关,并且EGFR信号通路可能参与SP-A的表达。上皮细胞增殖的减缓及SP-A表达的增加可在单位面积内维持有效的肺泡表面张力及增加肺换气功能,从而促进肺功能的修复。SP-A的增加还能促进免疫细胞对病原微生物的清除,最新研究发现SP-A能通过与IFN-γ结合进而抑制巨噬细胞的活化,减轻炎症反应等[23]。这些研究表明SP-A既可维持肺泡正常结构,又可调节免疫细胞的功能,但是EGFR如何调控SP-A的表达仍需深入研究。
总之,ALI/ARDS发病过程中有多种机制参与,有效的药物治疗能够提高ALI/ARDS的预后。本研究结果表明了EGFR抑制剂厄洛替尼能够保护LPS引起的肺损伤,并且可能与调节SP-A的表达相关。
| [1] | Ranieri VM, Rubenfeld GD, Thompson BT, et al. Acute respiratory distress syndrome:the Berlin Definition[J]. JAMA, 2012, 307(23): 2526-2533. DOI:10.1001/jama.2012.5669 |
| [2] | Ware LB, Matthay MA. The acute respiratory distress syndrome[J]. N Engl J Med, 2000, 342(18): 1334-1349. DOI:10.1056/NEJM200005043421806 |
| [3] | 向有喜, 彭菲, 彭再梅. 急性呼吸窘迫综合征的诊治现状与展望[J]. 中华急诊医学杂志, 2017, 26(3): 255-259. DOI:10.3760/cma.j.issn.1671-0282.2017.03.022 |
| [4] | Wheeler AP, Bernard GR. Acute lung injury and the acute respiratory distress syndrome:a clinical review[J]. Lancet, 2007, 369(9572): 1553-1564. DOI:10.1016/S0140-6736(07)60604-7 |
| [5] | 陆立仁, 张良清. 内毒素致急性肺损伤发病机制研究进展[J]. 医学综述, 2010, 16(2): 170-173. |
| [6] | Matute-Bello G, Frevert CW, Martin TR. Animal models of acute lung injury[J]. Am J Physiol Lung Cell Mol Physiol, 2008, 295(3): L379-399. DOI:10.1152/ajplung.00010.2008 |
| [7] | Bierman A, Yerrapureddy A, Reddy NM, et al. Epidermal growth factor receptor (EGFR) regulates mechanical ventilation-induced lung injury in mice[J]. Transl Res, 2008, 152(6): 265-272. DOI:10.1016/j.trsl.2008.10.004 |
| [8] | Casals C, Canadas O. Role of lipid ordered/disordered phase coexistence in pulmonary surfactant function[J]. Biochim Biophys Acta, 2012, 1818(11): 2550-2562. DOI:10.1016/j.bbamem.2012.05.024 |
| [9] | Wright JR. Immunoregulatory functions of surfactant proteins[J]. Nat Rev Immunol, 2005, 5(1): 58-68. DOI:10.1038/nri1528 |
| [10] | Shepherd FA, Rodrigues PJ, Ciuleanu T, et al. Erlotinib in previously treated non-small-cell lung cancer[J]. N Engl J Med, 2005, 353(2): 123-132. DOI:10.1056/NEJMoa050753 |
| [11] | Matute-Bello G, Downey G, Moore BB, et al. An official American Thoracic Society workshop report:features and measurements of experimental acute lung injury in animals[J]. Am J Respir Cell Mol Biol, 2011, 44(5): 725-738. DOI:10.1165/rcmb.2009-0210ST |
| [12] | Chen HI. Acute lung injury and acute respiratory distress syndrome:experimental and clinical investigations[J]. J Geriatr Cardiol, 2011, 8(1): 44-54. DOI:10.3724/SP.J.1263.2011.00044 |
| [13] | Kao SJ, Yang FL, Hsu YH, et al. Mechanism of fulminant pulmonary edema caused by enterovirus 71[J]. Clin Infect Dis, 2004, 38(12): 1784-1788. DOI:10.1086/421021 |
| [14] | Gattinoni L, Quintel M. How ARDS should be treated[J]. Crit Care, 2016, 20: 86. DOI:10.1186/s13054-016-1268-7 |
| [15] | Wu Y, Liu Y, Huang H, et al. Dexmedetomidine inhibits inflammatory reaction in lung tissues of septic rats by suppressing TLR4/NF-kappaB pathway[J]. Mediators Inflamm, 2013, 2013: 562154. DOI:10.1155/2013/562154.DOI:10.1155/2013/562154 |
| [16] | Xu C, Chen G, Yang W, et al. Hyaluronan ameliorates LPS-induced acute lung injury in mice via Toll-like receptor (TLR) 4-dependent signaling pathways[J]. Int Immunopharmacol, 2015, 28(2): 1050-1058. DOI:10.1016/j.intimp.2015.08.021 |
| [17] | 毕继蕊, 杨进, 汪影, 等. 丙咪嗪对小鼠急性肺损伤肺泡上皮屏障功能保护作用的研究[J]. 中华急诊医学杂志, 2017, 26(6): 638-643. DOI:10.3760/cma.j.issn.1671-0282.2017.06.008 |
| [18] | Chattopadhyay S, Veleeparambil M, Poddar D, et al. EGFR kinase activity is required for TLR4 signaling and the septic shock response[J]. EMBO Rep, 2015, 16(11): 1535-1547. DOI:10.15252/embr.201540337 |
| [19] | Koff JL, Shao MX, Ueki IF, et al. Multiple TLRs activate EGFR via a signaling cascade to produce innate immune responses in airway epithelium[J]. Am J Physiol Lung Cell Mol Physiol, 2008, 294(6): L1068-1075. DOI:10.1152/ajplung.00025.2008 |
| [20] | Coya JM, Akinbi HT, Saenz A, et al. Natural anti-infective pulmonary proteins:in vivo cooperative action of surfactant protein SP-A and the lung antimicrobial peptide SP-BN[J]. J Immunol, 2015, 195(4): 1628-1636. DOI:10.4049/jimmunol.1500778 |
| [21] | LeVine AM, Whitsett JA. Pulmonary collectins and innate host defense of the lung[J]. Microbes Infect, 2001, 3(2): 161-166. DOI:10.1016/S1286-4579(00)01363-0 |
| [22] | Finigan J H, Downey G P, Kern J A. Human epidermal growth factor receptor signaling in acute lung injury[J]. Am J Respir Cell Mol Biol, 2012, 47(4): 395-404. DOI:10.1165/rcmb.2012-0100TR |
| [23] | Minutti CM, Garcia-Fojeda B, Saenz A, et al. Surfactant protein a prevents IFN-γ/IFN-γ receptor interaction and attenuates classical activation of human alveolar macrophages[J]. J Immunol, 2016, 197(2): 590-598. DOI:10.4049/jimmunol.1501032 |
2018, Vol. 27



