肺奴卡菌病是由奴卡菌侵犯肺部引起的亚急性、慢性局限性或播散性化脓性或肉芽肿性疾病,可经血源播散至皮肤或中枢神经系统、肾脏等部位或器官。由于是一种少见病,且临床和影像学表现缺乏特异性,故容易误诊或漏诊而延误治疗或治疗不规范而影响预后。本文报道1例肺奴卡菌病伴发脑梗死病例,并复习相关文献,希望有助于提高对奴卡菌病的认识。
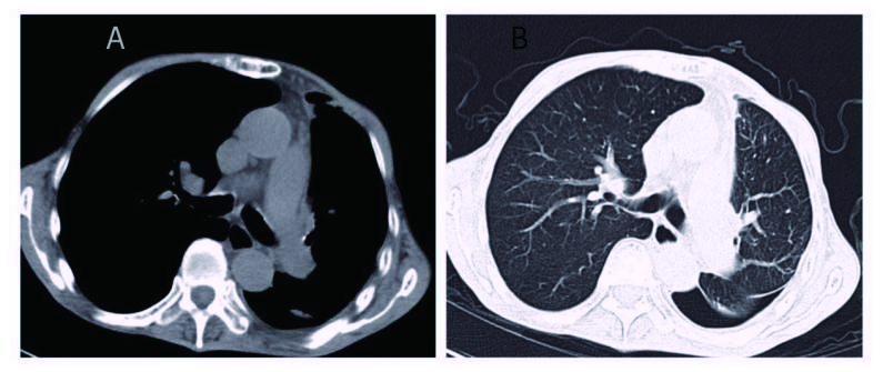
1 资料与方法患者男,70岁,农民,入院前3 d受凉后出现咳嗽,为阵发性干咳、无痰,伴胸闷、气喘,平卧及活动时加重,发热,体温最高37.7 ℃,热型未监测,无畏冷、寒战;当地医院胸部X线平片示左侧胸腔积液、左侧肺炎,予以“头孢噻肟”抗感染治疗无效,于2015年9月29日转来厦门大学附属第一医院。既往慢性支气管炎病史20余年,吸烟史50年×40支/d。入院时查体:T 37.6 ℃,P 106次/min,R 26次/min,BP 118/72 mmHg,SPO2 91%,神志清楚,反应迟钝,有时答非所问,呼吸较急促,气管轻度右偏;左侧胸部呼吸运动减弱,语颤消失,叩诊呈浊音,呼吸音减弱,右肺散在哮鸣音;心界不清,心率106次/min,节律规整,各瓣膜区未闻及杂音。入院后观察患者热型为不规则低热,查血尿粪常规、肝肾功能、肿瘤标志物等正常,降钙素原0.826 ng/mL,结核抗体及结核菌素实验阴性。血气分析:氧分压6.63 kPa,二氧化碳分压正常,无酸碱失衡表现。胸部CT示,双肺多发感染,左侧大量胸腔积液;右肺局限性肺大泡,肺气肿(图 1)。入院后给予莫西沙星抗感染,胸腔穿刺引流出大量淡红色稍混浊胸水,无臭味,每日引流量300~600 mL;胸水常规:李凡他试验阳性,蛋白48.6 g/L,有核细胞数1 520×106/L,比重1.021。患者仍有反复低热,热峰及持续时间稍改善。入院后10 d胸水培养结果回报为星型奴卡菌感染(图 3、4),抗生素更换为TMP-SMX 0.96 g/12 h联合红霉素0.25 g/8 h治疗,体温逐渐下降至正常,咳嗽、气喘症状缓解,胸水引流量逐渐减少至消失,PCT和血气分析结果恢复正常,胸部CT:左侧少量胸腔积液,伴积气(图 2)。于2015年10月25日出院,继续口服TMP-SMX片及红霉素片治疗,定期随诊。患者感觉恢复良好在出院后1个月左右自行停药,3个月后因右侧肢体无力再诊我院,颅脑MRI提示:大面积小脑梗死,脑疝并幕上脑积水(图 5),再诊时未再复查胸部CT,2 d后因呼吸循环衰竭死亡,家属未同意尸检。
|
| 图 1 左肺大量胸腔积液,左肺压缩近不显影(A:纵隔窗; B:肺窗) |
|
|
|
| 图 3 胸水标本表现出分歧杆菌革兰染色阳性提示奴卡菌感染(1 000×) |
|
|
|
| 图 4 抗酸染色见不典型分歧杆菌 |
|
|
|
| 图 2 胸腔穿刺术后,可见左肺复张,双肺纹理清晰,伴少量积气(A:纵隔窗; B:肺窗) |
|
|
|
| 图 5 大面积小脑梗死伴脑疝形成(A:矢状面; B:水平面) |
|
|
奴卡菌病是一种由奴卡菌引起的系统感染性疾病,发病年龄多在50~80岁之间,发病率男女比例约为3:1[1],临床常见三种类型:肺奴卡菌病、皮肤软组织奴卡菌病以及播散性奴卡菌病,其中播散性奴卡菌病,指包含两个非相连器官感染、中枢神经系统感染或奴卡菌血流播散[2]。奴卡菌感染属机会性感染,临床病死率约40%。通常来说,艾滋病、恶性肿瘤以及系统性红斑狼疮等风湿类疾病、实体脏器移植、骨髓移植等需要长期激素治疗的免疫缺陷或者免疫抑制状况是奴卡菌感染的主要相关因素,但也有研究表明奴卡菌感染的人群中有部分为无激素或者免疫抑制剂使用史的相对健康人群[3],目前已证实肺奴卡菌病易发生在免疫功能正常但存在肺结核、慢性阻塞性肺病等情况的人群中且呈慢性经过[4]。本文报道的病例虽然主诉病史3 d,但存在慢性支气管炎和长期吸烟史,考虑为因受凉诱发症状加重,与文献报道基本一致。
2.2 临床表现及影像学表现临床上肺奴卡菌病的表现常与肺结核类似(发热、咳嗽、胸痛、盗汗,体质量下降等)[1]。其中咳嗽及发热是最常见的症状,分别是94%及71%,发热常为低热,主要原因可能是奴卡菌的低毒性及大部分病患的一般情况较差、免疫功能不全或者因服用激素或免疫抑制剂所导致的免疫抑制状态有关。此外气短、疲乏无力、蜂窝组织炎及神经系统表现等症状均有文献报道[5]。CT影像上最常见的改变为小结节或者肿块(94.4%)以及磨玻璃影(77.8%)[6]。另外可见西红柿汤样胸腔积液、感染向外播散累及胸壁形成脓肿等情况[7]。
2.3 诊断由于肺奴卡菌病与肺真菌病、结核、肿瘤等在临床表现及影像学检查上极其类似,故目前奴卡菌病原学检验结果为诊断“金标准”。国外文献报道通常使用16s-rRNA基因测序来快速而准确的诊断奴卡菌感染[8],而我国多采用在细菌、真菌及分支杆菌的培养基上行细菌培养。培养过程中奴卡菌生长缓慢,小部分2~7 d可生长为肉眼可见的菌落,大部分则需更长时间,甚至部分需4~6周,故一般明确细菌学诊断要求培养1~4周,如需加做生化反应鉴定则需更长时间。另外,奴卡菌标本容易被其他微生物污染,检验中去污染和消化过程也会破坏标本中的奴卡菌。因此,到目前为止奴卡菌的检出率并不高,全世界所报道的病例有限。
临床表现鉴别与检验方面的双重困难导致奴卡菌病易被误诊及延迟诊断[9],而这种诊断上的错误及延迟往往会带来严重的后果,尤其是易导致免疫抑制患者的治疗失败,这种患者一旦合并奴卡菌感染,常常伴随着极高的病死率[10]。
2.4 治疗目前奴卡菌病的治疗尚无相关指南可供参考,磺胺类药物一直作为一线用药,但近年来出现不同程度耐药,文献报道从2%~43%不等。而美国的一份对奴卡菌耐药谱10年回顾性研究认为,有约一半的菌株对奴卡菌治疗中最常用的抗生素TMP-SMX耐药[11]。但需要注意的是,虽然报道体外细菌培养中TMP-SMX的耐药率不低,且随时间推移耐药率逐渐上升,但治疗上使用TMP-SMX失败的病例却并不多见[12-13]。近年来,阿米卡星、头孢曲松、亚胺培南、利奈唑胺等抗菌药物也常被用于奴卡菌病的治疗,中国台湾地区、加拿大、法国等的研究者[14-16]发现奴卡菌对碳青霉烯类、头孢菌素类耐药性较高,而对阿米卡星、利奈唑胺耐药率相对较低。目前大部分治疗推荐在未明确具体菌株及药敏之前,临床医师应选用两种甚至更多种的抗生素联用,可选药物包括TMP-SMX、阿米卡星、头孢菌素、碳青霉烯类、四环素类及利奈唑胺,且以TMP-SMX联合其他用药为主;疾病所累及的器官越多、菌株的耐药谱越广,则越应该联合运用抗生素[17]。由于奴卡菌感染有复发的趋向,用药疗程应足够,通常为3个月到一年[1],免疫功能正常的局限性感染者,建议治疗时间为3个月;免疫抑制的局限性感染者或者免疫功能正常的播散性感染者,建议治疗时间为6个月;免疫抑制的播散性感染者,建议治疗12个月以上[18]。
本例患者胸水中培养出星型奴卡菌,属比较常见的肺奴卡菌病,使用TMP-SMX+红霉素后病情得到明显好转,过早停药后因脑梗死并发脑疝死亡,虽然未行尸检不明确脑梗死栓子来源,但考虑一方面奴卡菌病可于中枢神经系统原发或者经由血流播散至中枢神经系统,在脑部形成化脓性病变如脑脓肿或者脑膜炎[19]。另一方面,近年来有学者提出感染性脑卒中的概念,指出慢性感染存在感染负荷,为卒中发生危险因素[20],其机制可能与感染后出现全身炎症反应亢进及免疫功能抑制[21-22],随之引起的高凝状态、血小板激活、血管内皮损伤等相关[23],但目前仍未见明确奴卡菌所致感染诱发脑梗死的报道。本例患者首次住院时就存在“反应迟钝、答非所问”等症状,由于认识不足而忽略了搜集奴卡菌中枢神经系统受累的证据;故本例脑梗死与奴卡菌病之间存在相关联的可能性较大,遗憾的是本例患者并没有得到直接证据。
总之,奴卡菌病相对少见,无特异性临床表现,且病原学检查不易检出,大多数临床医生缺乏相关的诊治经验,故对于易感病例应警惕奴卡菌感染可能,及时进行相关检查,一旦明确诊断就给予有效、足够疗程且以TMP-SMX为基础的联合抗奴卡菌方案。
| [1] | Wilson JW. Nocardiosis: Updates and clinical overview[J]. Mayo Clinic Proceedings, 2012, 87(4): 403-407. DOI:10.1016/j.mayocp.2011.11.016 |
| [2] | McGuinness SL, Whiting SE, Baird R, et al. Nocardiosis in the tropical northern territory of Australia, 1997-2014[J]. Open Forum Infect Dis, 2016, 3(4): ofw208. DOI:10.1093/ofid/ofw208 |
| [3] | Takiguchi Y, Ishizaki S, Kobayashi T, et al. Pulmonary nocardiosis: a clinical analysis of 30 cases[J]. Intern Med, 2017, 56(12): 1485-1490. DOI:10.2169/internalmedicine.56.8163 |
| [4] | Castellana G, Grimaldi A, Castellana M, et al. Pulmonary nocardiosis in chronic obstructive pulmonary disease: a new clinical challenge[J]. Respir Med Case Rep, 2016, 18: 14-21. DOI:10.1016/j.rmcr.2016.03.004 |
| [5] | Hardak E, Yigla M, Berger G, et al. Clinical spectrum and outcome of Nocardia infection: experience of 15-year period from a single tertiary medical center[J]. Am J Med Sci, 2012, 343(4): 286. DOI:10.1097/MAJ.0b013e31822cb5dc |
| [6] | Sato H, Okada F, Mori T, et al. High-resolution computed tomography findings in patients with pulmonary nocardiosis[J]. Acad Radiol, 2016, 23(3): 290-296. DOI:10.1016/j.acra.2015.11.008 |
| [7] | Kanne JP, Yandow DR, Mohammed TL, et al. CT findings of pulmonary nocardiosis[J]. AJR Am J Roentgenol, 2011, 197(2): 266. DOI:10.2214/AJR.10.6208 |
| [8] | Shariff M, Gunasekaran J. Pulmonary nocardiosis: review of cases and an update[J]. Can Respir J, 2016, 2016: 7494202. DOI:10.1155/2016/7494202 |
| [9] | Ozgenç O, Avcı M, Arı A, et al. Long-term treatment of persistent disseminated Nocardia cyriacigeorgica infection[J]. Braz J Infect Dis, 2014, 18(5): 556. DOI:10.1016/j.bjid.2014.03.007 |
| [10] | Lebeaux D, Morelon E, Suarez F, et al. Nocardiosis in transplant recipients[J]. Eur J Clin Microbiol Infect Dis, 2014, 33(5): 689-702. DOI:10.1007/s10096-013-2015-5 |
| [11] | Uhde KB, Pathak S, Mccullum I, et al. Antimicrobial-resistant nocardia isolates, United States, 1995–2004[J]. Clin Infect Dis, 2010, 51(12): 1445-1448. DOI:10.1086/657399 |
| [12] | Brown-Elliott BA, Biehle J, Conville PS, et al. Sulfonamide resistance in isolates of Nocardia spp. from a US multicenter survey[J]. J Clin Microbiol, 2012, 50(3): 670-672. DOI:10.1128/JCM.06243-11 |
| [13] | Hirayama T, Takazono T, Horai Y, et al. Pulmonary nocardiosis caused by nocardia concava with a literature review[J]. Intern Med, 2016, 55(9): 1213-1217. DOI:10.2169/internalmedicine.55.6228 |
| [14] | Tremblay J, Thibert L, Alarie I, et al. Nocardiosis in Quebec, Canada, 1988-2008[J]. Clin Microbiol Infect, 2011, 17(5): 690-696. DOI:10.1111/j.1469-0691.2010.03306.x |
| [15] | Lai CC, Liu WL, Ko WC, et al. Antimicrobial-resistant nocardia isolates, Taiwan, 1998–2009[J]. Clin Infect Dis, 2011, 52(6): 833. DOI:10.1093/cid/ciq255 |
| [16] | Haussaire D, Fournier PE, Djiguiba K, et al. Nocardiosis in the south of France over a 10-years period, 2004-2014[J]. Int J Infect Dis, 2017, 57: 13-20. DOI:10.1016/j.ijid.2017.01.005 |
| [17] | Welsh O, Veracabrera L, Salinascarmona MC. Current treatment for nocardia infections[J]. Expert Opin Pharmacother, 2013, 14(17): 2387. DOI:10.1517/14656566.2013.842553 |
| [18] | Padrones SS, Aso GS, Córdoba IA, et al. Linezolid as treatment of Nocardia asteroides infection[J]. Medicina Clínica, 2010, 134(6): 282. DOI:10.1016/j.medcli.2009.02.005 |
| [19] | Anagnostou T, Arvanitis M, Kourkoumpetis TK, et al. Nocardiosis of the central nervous system: experience from a general hospital and review of 84 cases from the literature[J]. Medicine, 2014, 93(1): 19-32. DOI:10.1097/MD.0000000000000012 |
| [20] | Miller EC, Elkind MS. Infection and stroke: an update on recent progress[J]. Curr Neurol Neurosci Rep, 2016, 16(1): 2. DOI:10.1007/s11910-015-0602-9 |
| [21] | 刘军. 对全身性感染免疫与炎症关系的思考[J]. 中华急诊医学杂志, 2017, 26(11): 1230-1235. DOI:10.3760/cma.j.issn.1671-0282.2017.11.002 |
| [22] | 马帅, 郭树彬. 脓毒症免疫麻痹与细胞免疫调理治疗研究进展[J]. 中华急诊医学杂志, 2016, 25(7): 969-973. DOI:10.3760/cma.j.issn.1671-0282.2016.07.027 |
| [23] | Cowan LT, Alonso A, Pankow JS, et al. Hospitalized infection as a trigger for acute ischemic stroke: the atherosclerosis risk in communities study[J]. Stroke, 2016, 47(6): 1612-1617. DOI:10.1161/STROKEAHA.116.012890 |
2018, Vol. 27



