脓毒症是由感染引起的宿主反应失调,从而导致危及生命的器官功能障碍[1-2],是重症监护室最常见死亡原因。尽管其诊断标准不断更新,治疗手段不断完善,但其发病率、病死率高及医疗费用昂贵的问题仍未能得到很好解决,据统计,在脓毒性休克的情况下,院内死亡率可高达40%[2-3]。因此,寻找脓毒症的分子靶标和信号通路对降低脓毒症病死率具有重要意义。近来研究发现miR-21与炎症反应密切相关,本课题组前期研究证实脓毒症患者血清miR-21表达上调[4],但其是否参与脓毒症的调控及其具体作用机制尚不明确。
p38MAPK是丝裂原活化蛋白激酶家族的重要成员,可通过从非磷酸化转化为磷酸化状态进而促进下游底物的磷酸化来快速实现信号传递,促进炎症介质分泌,介导炎症反应,在应激、炎症反应中是细胞信号通路的交汇点,因此,调控p38MAPK信号通路可能是预防和治疗脓毒症的重要手段。乌司他丁(ulinastatin, UTI)是一种广谱的丝氨酸蛋白水解酶抑制剂,广泛用于急性循环衰竭,胰腺炎、脓毒症的治疗,能保护多个脏器功能,有效提高患者远期存活率[5-6],但其具体作用机制尚不清楚。研究发现,UTI发挥抗炎保护作用的机制可能与阻止p38MAPK磷酸化有关[7]。本课题组前期在细胞实验中发现乌司他丁能下调脓毒症中miR-21的表达[8],但UTI对p38MAPK信号通路的影响及其抗炎保护作用的发挥是否与调控miR-21水平有关还需进一步验证。本研究以脓毒症小鼠模型和小鼠巨噬细胞RAW264.7细胞为研究对象,观察miR-21的表达及p38MAPK信号通路蛋白的表达,并通过乌司他丁干预探讨其保护机制。
1 材料与方法 1.1 实验材料SPF级雄性BALB/c小鼠30只,体质量为20~25 g,由重庆医科大学实验动物中心提供,动物使用许可证[SYXK(渝)2012-0001],适应性喂养1周后开始实验。小鼠RAW264.7细胞(上海中国科学院细胞库);LPS(Sigma);UTI(广东天普生化医药股份有限公司,批号031503133);Trizol试剂(TaKaRa);逆转录及PCR扩增试剂盒(TOYOBO);miR-21、U6引物(上海生物工程技术有限公司);miR-21模拟剂及抑制剂(广州锐博生物公司);lipofectamineTM2000转染试剂(Invitrogen);PTEN、β-actin一抗均购自Santa Cruz公司,p-p38一抗购自CST公司;二抗购自武汉博士德生物工程有限公司;核酸浓度测定仪NanoDrop 2000(Thermo Scientific)。凝胶成像系统及qRT-PCR仪(Bio-Rad)。
1.2 方法 1.2.1 动物模型制备采用随机数字表法,将其分为3组(n=10):正常组、脓毒症组(LPS组)和乌司他丁预处理组(UTI组)。UTI组于造模前以UTI 105 U/kg腹腔注射预处理2 h,然后用LPS 10 mg/kg一次性腹腔内注射,正常组予以等量生理盐水注射,继续在原饲养环境下饲养24 h后处死。
1.2.2 细胞培养及分组RAW264.7细胞接种于含10%胎牛血清的高糖DMEM培养基中,置于37 ℃、5%CO2恒温孵箱中培养,待其融合至80%~90%时进行实验。细胞分组:空白对照组(仅含培养基);LPS组(加入500 ng/mL LPS);UTI组(加入UTI 1 000 U/mL处理2 h后,再加入500 ng/ mL LPS);miR-21模拟剂组(加入100 nmol/L miR-21模拟剂转染6 h后,更换培养基, 加入UTI 1 000 U/mL处理2 h后, 再加入500 ng/mL LPS);miR-21抑制剂组(加入100 nmol/L miR-21抑制剂转染6 h后,更换培养基, 加入UTI 1 000 U/mL处理2 h后, 再加入500 ng/mL LPS),均处理24 h。
1.2.3 肺组织病理学检查取右肺中叶组织用4%多聚甲醛固定,石蜡包埋切片,HE染色后观察比较各组小鼠肺组织病理学改变。
1.2.4 测量肺组织湿/干质量比取右肺上叶组织用滤纸吸干表面水分,称质量;然后置于70 ℃烘箱48 h至恒重,再次称质量,计算肺湿/干质量比值(W/D)。
1.2.5 免疫组化染色检测PTEN、p-p38MAPK在肺组织中表达将上述石蜡切片脱蜡水化,3% H2O2孵育10 min,山羊血清室温封闭30 min,PTEN、p-p38MAPK抗体按照说明书稀释至工作浓度, 孵育过夜。PBS洗3次, 每次5 min,滴加二抗室温孵育30 min,然后再加辣根过氧化物酶室温孵育20 min。DAB显色约30 s后用PBS反复冲洗。苏木精复染、脱水、透明,中性树胶封片。显微镜下观察拍照。
1.2.6 qRT-PCR法检测miR-21表达用Trizol法提取小鼠肺组织和细胞总RNA,测定A260 nm/A280 nm比值> 1.8,定量后取RNA,严格按照反转录试剂盒及扩增说明书进行逆转录及扩增,miR-21逆转录引物: 5'-GTCGTATCCAGTGCAGGGTCCGAGGTATTCGCACTGGATACGACTCAACA-3',PCR扩增引物正向:5'-GTGCAGGGTCCGAGGT-3',反向: 5'-GCCGCTAGCTTATCAGACTGATGT-3';内参U6反转录引物序列:5'-AACGCTTCACGAATTTGCGT-3',PCR扩增引物正向: 5'-CTCGCTTCGGCAGCACA-3',反向: 5'-AACGCTTCACGAATTTGCGT-3';反应体系20 μL, 反应条件:96 ℃ 6 min,96 ℃ 15 s,57 ℃30 s,72 ℃延伸30 s,循环35次。各样品的目的miR-21和内参(U6)分别进行实时荧光定量PCR,数据采用2-△△Ct法进行分析。
1.2.7 Western-blot法检测PTEN、p-p38MAPK蛋白的表达收集细胞, 加入细胞裂解液,冰上裂解后收集蛋白上清液。BCA法检测蛋白浓度,每组取50 μg上样,进行SDS-PAGE电泳及转膜,5%脱脂奶粉室温封闭2 h;一抗(抗体分别稀释至工作浓度)4 ℃孵育过夜;用TBST洗膜3次,每次10 min;辣根过氧化物酶标记二抗(1:3 000稀释),37 ℃孵育1 h,再次用TBST洗膜3次,每次10 min,ECL化学发光显影,凝胶成像系统显影。用Quantity One软件进行分析。
1.3 统计学方法采用GraphPad 5.0及SPSS 19.0统计分析软件,计量资料以均数±标准差(x±s)表示,多组间比较采用单因素方差分析,组间两两比较采用LSD-t检验,以P < 0.05为差异有统计学意义。
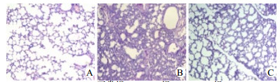
2 结果 2.1 肺组织病理学改变光镜下,正常组小鼠肺组织肺泡结构完整无断裂,肺泡间隔未见增厚,肺泡腔内未见红细胞渗出、炎性细胞浸润;LPS组小鼠肺组织肺泡结构不清晰,部分肺泡塌陷不张,肺泡间隔明显增厚,肺泡腔内可见红细胞渗出、炎性细胞浸润;UTI组病理改变程度较LPS组轻,肺泡间隔稍许增厚,少量炎性细胞浸润(图 1)。
|
| A:正常组;B:LPS组;C:UTI组 图 1 各组小鼠肺组织病理学改变(HE×100) Figure 1 Pathological changes of lung tissues of mice in each group(HE×100) |
|
|
3组小鼠的平均肺组织W/D比值为:正常组(4.14±0.23);LPS组(5.42±0.21);UTI组(4.42±0.21), 差异有统计学意义(F=29.78,P < 0.05)。其中,LPS组肺组织W/D值明显高于另外两组(P < 0.05);同时,与LPS组比较,UTI组W/D值小于LPS组,差异有统计学意义(P < 0.05)。
2.3 各组小鼠肺组织中miR-21表达与正常组(1.00±0.00)比较,LPS组小鼠体内miR-21表达(2.73±0.17)明显增高(P < 0.05), 而与LPS组比较, UTI组小鼠体内miR-21表达(2.14±0.13)明显下调(P < 0.05), 各组比较差异有统计学意义(F=160.40,P < 0.05)(图 2)。
|
| 与正常组比较,aP < 0.05;与LPS组比较,bP < 0.05 图 2 miR-21在小鼠肺组织中的表达 Figure 2 Expression of miR-21 in lung tissues of mice |
|
|
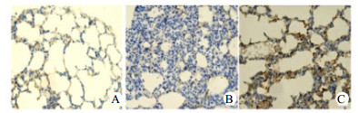
镜下显示,正常组小鼠肺泡上皮细胞的细胞中均可见PTEN、p-p38MAPK蛋白少量表达,呈棕黄色或棕褐色,颜色越深阳性反应越强。与正常组比较,LPS组中PTEN蛋白表达量明显下降,而与LPS组比较,UTI组中PTEN蛋白表达升高(图 3)。相反,LPS组中p-p38MAPK蛋白表达明显高于正常组,而与LPS组比较,UTI组p-p38MAPK中蛋白表达明显下降(图 4)。
|
| A:正常组;B:LPS组;C:UTI组 图 3 PTEN蛋白在小鼠肺组织中的表达(×400) Figure 3 Expression of PTEN protein in lung tissues of mice(×400) |
|
|
|
| A:正常组B:LPS组C:UTI组 图 4 p-p38MAPK蛋白在小鼠肺组织中的表达(×400) Figure 4 Expression of p-p38MAPK protein in lung tissues of mice(×400) |
|
|
在使用抑制剂及模拟剂后,结果显示miR-21表达量空白对照组(1.00±0.00), LPS组(2.70±0.42),LPS+miR-21抑制剂组(0.03±0.04),LPS+miR-21模拟剂组(8.51±0.10),各组间比较差异有统计学意义(F=900.2,P < 0.05)。与LPS组比较,LPS+miR-21抑制剂组miR-21表达明显下调(P < 0.05),LPS+模拟剂组miR-21表达明显上调(P < 0.05)(图 5)。
|
| 1:空白对照组;2:LPS组;3:LPS+miR-21抑制剂组;4:LPS+miR-21模拟剂组; 与空白对照组比较,aP < 0.05;与LPS组比较,bP < 0.05 图 5 加入抑制剂及模拟剂后miR-21的表达 Figure 5 Expression of miR-21 after adding inhibitor and mimic agent |
|
|
Western-blot检测PTEN及p-p38MAPK蛋白表达,结果显示与正常组比较,LPS组PTEN蛋白表达量降低(P < 0.05);与LPS组比较,LPS+miR-21抑制剂组PTEN蛋白表达量升高(P < 0.05),而LPS+miR-21模拟剂组PTEN蛋白表达差异无统计学意义(P > 0.05)。相反,与正常组比较,LPS组p-p38MAPK蛋白表达量升高(P < 0.05);与LPS组比较,LPS+miR-21抑制剂组p-p38MAPK蛋白表达量下降(P < 0.05),而LPS+miR-21模拟剂组p-p38MAPK蛋白表达量升高(P < 0.05),见图 6,表 1。
|
| 1:空白对照组;2:LPS组;3:LPS+miR-21抑制剂组;4:LPS+miR-21模拟剂组 图 6 加入miR-21抑制剂及模拟剂后PTEN及p-p38MAPK蛋白的表达 Figure 6 Expression of PTEN and p-p38MAPK protein after adding miR-21 inhibitor and mimic agent |
|
|
| 组别 | PTEN蛋白表达量 | p-p38MAPK蛋白表达量 |
| 空白对照组 | 1.00±0.00 | 1.00±0.00 |
| LPS组 | 0.55±0.05a | 1.93±0.21a |
| LPS+miR-21抑制剂组 | 1.27±0.07b | 1.51±0.06ab |
| LPS+miR-21模拟剂组 | 0.41±0.03a | 2.52±0.07ab |
| F值 | 33.82 | 89.49 |
| P值 | < 0.05 | < 0.05 |
| 注:与正常组比较,aP < 0.05;与LPS组比较,bP < 0.05 | ||
Western-blot检测乌司他丁干预后p-p38MAPK蛋白表达,结果显示LPS+UTI组p-p38MAPK蛋白表达量比LPS组低(P < 0.05);而与LPS+UTI组比较,LPS+UTI+miR-21抑制剂组p-p38MAPK蛋白表达升高(P < 0.05),在LPS+UTI+miR-21模拟剂组表达下降(P < 0.05),见图 7,表 2。
|
| 1:LPS组;2:LPS+UTI组;3:LPS+UTI+miR-21抑制剂组;4:LPS+UTI+miR-21模拟剂组 图 7 乌司他丁干预后p-p38MAPK蛋白的表达 Figure 7 Expression of p-p38MAPK protein after the intervention with Ulinastatin |
|
|
| 组别 | p-p38MAPK蛋白表达量 | F值 | P值 |
| LPS组 | 1.00±0.00 | 381.2 | < 0.05 |
| LPS+UTI组 | 0.61±0.04ab | ||
| LPS+UTI+miR-21抑制剂组 | 2.36±0.15ab | ||
| LPS+UTI+miR-21模拟剂组 | 0.22±0.05ab | ||
| 注:与LPS组比较,aP < 0.05;与LPS+UTI组比较,bP < 0.05 | |||
脓毒症是主要由感染引起,导致机体免疫功能紊乱及过度炎症反应,从而造成全身多器官功能障碍的综合征。其高发病率、高病死率、高治疗费用的特点已成为全球急危重症医学的棘手问题。脓毒症时,外界刺激因子通过激活细胞内外各信号转导途径, 调节细胞内基因转录、翻译、细胞凋亡等生理过程, 细胞生物学发生系列级联反应,释放大量细胞因子和炎症介质,最终导致机体自身免疫炎症调控失衡。此外,研究发现,危重患者的全基因组表达分析揭示超过80%的基本遗传要素发生了改变[9],人们逐渐意识到遗传因素也在脓毒症的病理生理过程中起着重要作用。因此,寻找特异性的遗传基因位点及其下游信号通路作为预防和治疗脓毒症现已成为研究热点之一。miR-21广泛参与多种疾病的调控,近来研究发现其可通过转录后水平密切参与炎症反应的调控,本课题组前期研究发现miR-21在脓毒症中表达上调[8],但其是否参与脓毒症的调控及其具体机制仍需进一步研究。
丝裂原活化蛋白激酶由多个亚族组成,如细胞外信号调节激酶、c-Jun N-端蛋白激酶等, 其中p38 MAPK是重要的成员之一, 其分布广泛,通过磷酸化激活下游大量细胞促炎因子的释放,是许多细胞因子炎症介质产生的先决条件。有研究表明, p38MAPK信号通路是调节早期细胞炎症因子(如TNF-α、IL-1等)释放的关键[10]。此外, 作为脓毒症晚期释放的重要炎症介质[11], 高迁移率族蛋白B1(HMGB1)的产生与活化也和p38 MAPK的磷酸化有关, 同时HMGB1又可通过糖化终产物受体(RAGE)促进p38 MAPK的活化, 从而刺激更多促炎因子的产生[12]。因此,许多学者开始寻找以p38 MAPK为干预靶点的治疗措施,并取得了一定的成果[13-14]。
乌司他丁是从新鲜人尿中提取的一种胰蛋白酶抑制剂,大量研究业已证实其具有抑制炎症介质释放、清除氧自由基和改善免疫功能的作用[15],但其发挥抗炎保护作用具体机制仍需进一步研究。本实验通过LPS诱导成功构建小鼠脓毒症模型,观察到LPS组小鼠W/D比值升高,HE染色结果显示肺泡结构紊乱,肺泡间隔明显增厚,有明显的炎症细胞浸润,肺泡腔内有红细胞渗出,而UTI组W/D比偏低,肺泡结构相对完整,炎症细胞浸润及红细胞渗出减轻,证实UTI对脓毒症小鼠肺损伤具有明显的保护作用。同时,LPS组中miR-21及p-p38MAPK表达上调,miR-21下游靶基因PTEN蛋白表达下调, 而UTI组miR-21及p-p38MAPK表达水平下降,PTEN蛋白表达上调。研究发现,PTEN可抑制MAPK信号通路[16],故推测UTI这种保护作用或许与其通过miR-21调控p-p38MAPK蛋白有关。进一步在细胞实验中发现,与LPS组比较,LPS+miR-21抑制剂组p-p38MAPK蛋白表达量下降,而LPS+miR-21模拟剂组p-p38MAPK蛋白表达量升高,进一步证实了miR-21可参与p-p38MAPK蛋白的调控。而加入UTI干预后,结果显示LPS+UTI组p-p38MAPK蛋白表达量比LPS组低;而与LPS+UTI组比较,LPS+UTI+miR-21抑制剂组p-p38MAPK蛋白表达升高,LPS+UTI+miR-21模拟剂组p-p38MAPK蛋白表达下降,提示乌司他丁可能通过下调miR-21水平进一步抑制p-p38MAPK信号通路,从而发挥抗炎保护作用。
综上所述,本研究初步探讨了miR-21及p38MAPK在脓毒症中的表达规律,验证了UTI在脓毒症中的保护作用。同时,本研究发现,乌司他丁可能通过下调miR-21水平,从而抑制p38MAPK通路在脓毒症中发挥保护作用,进而为脓毒症的治疗研究提供理论依据。但由于脓毒症的形成往往涉及到多环节多靶点,关于其具体调节机制仍待继续深入探索。
| [1] | Angus DC, van der Poll T. Severe sepsis and septic shock[J]. N Engl J Med, 2013, 369(9): 840-851. DOI:10.1056/NEJMra1208623 |
| [2] | Singer M, Deutschman CS, Seymour CW, et al. The third international consensus definitions for sepsis and septic shock (Sepsis-3)[J]. JAMA, 2016, 315(8): 801-810. DOI:10.1001/jama.2016.0287 |
| [3] | Seymour CW, Liu VX, Iwashyna TJ, et al. Assessment of clinical criteria for sepsis: for the third international consensus definitions for sepsis and septic shock (Sepsis-3)[J]. JAMA, 2016, 315(8): 762-774. DOI:10.1001/jama.2016.0288 |
| [4] | 周巧, 马渝, 肖玲, 等. 脓毒症患者血清miRNA-21和PCT动态表达及其临床意义[J]. 重庆医科大学学报, 2018, 43(7): 907-912. |
| [5] | Liu D, Yu Z, Yin J, et al. Effect of ulinastatin combined with thymosin alpha1 on sepsis: A systematic review and meta-analysis of Chinese and Indian patients[J]. J Crit Care, 2017, 39: 259-266. DOI:10.1016/j.jcrc.2016.12.013 |
| [6] | Feng C, Su X, Zhou X, et al. Early peritoneal lavage with ulinastatin improves outcome and enhances multi-organ protection in a model of severe acute pancreatitis[J]. Exp Ther Med, 2015, 9(4): 1171-1177. DOI:10.3892/etm.2015.2251 |
| [7] | Zhang X, Liu F, Liu H, et al. Urinary trypsin inhibitor attenuates lipopolysaccharide-induced acute lung injury by blocking the activation of p38 mitogen-activated protein kinase[J]. Inflamm Res, 2011, 60(6): 569-575. DOI:10.1007/s00011-010-0305-2 |
| [8] | 肖玲, 马渝, 周巧, 等. 乌司他丁下调LPS诱导的小鼠巨噬细胞MiR-21表达及初步机制研究[J]. 重庆医科大学学报, 2017, 42(5): 487-493. |
| [9] | Xiao W, Mindrinos MN, Seok J, et al. A genomic storm in critically injured humans[J]. J Exp Med, 2011, 208(13): 2581-2590. DOI:10.1084/jem.20111354 |
| [10] | Köffel R, Meshcheryakova A, Warszawska J, et al. Monocytic cell differentiation from band-stage neutrophils under inflammatory conditions via MKK6 activation[J]. Blood, 2014, 124(17): 2713-2724. DOI:10.1182/blood-2014-07-588178 |
| [11] | Wang H, Ward MF, Sama AE. Novel HMGB1-inhibiting therapeutic agents for experimental sepsis[J]. Shock, 2009, 32(4): 348-357. DOI:10.1097/SHK.0b013e3181a551bd |
| [12] | Qin YH, Dai SM, Tang GS, et al. HMGB1 enhances the proinflammatory activity of lipopolysaccharide by promoting the phosphorylation of MAPK p38 through receptor for advanced glycation end products[J]. J Immunol, 2009, 183(10): 6244-6250. DOI:10.4049/jimmunol.0900390 |
| [13] | 乐胜, 马中富, 梁艳冰, 等. 白细胞介素-1β在脓毒症鼠心肌中的表达及p38MAPK的调控作用[J]. 中华急诊医学杂志, 2005, 14(12): 989-992. DOI:10.3760/j.issn.1671-0282.2005.12.006 |
| [14] | Lv Q. Glucocorticoid combined with hyaluronic acid enhance glucocorticoid receptor activity through inhibiting p-38MAPK signal pathway activation in treating acute lung injury in rats[J]. Eur Rev Med Pharmacol Sci, 2016, 20(18): 3920-3929. |
| [15] | 陶广华, 张随随, 朱玲钰, 等. 乌司他丁的药理作用机制及临床应用进展[J]. 中国药房, 2017, 28(35): 5020-5023. DOI:10.6039/j.issn.1001-0408.2017.35.34 |
| [16] | Song GY, Chung CS, Jarrar D, et al. Evolution of an immune suppressive macrophage phenotype as a product of P38 MAPK activation in polymicrobial sepsis[J]. Shock, 2001, 15(1): 42-48. DOI:10.1097/00024382-200115010-00007 |
2018, Vol. 27



