急性肺动脉栓塞(acute pulmonary embolism,APE)为仅次于心肌梗死和脑血管中风的第三位心脑血管致死性疾病[1],肺动脉栓塞诱发的右心功能障碍和严重低血压是致死的主要原因[2], 且肺血管栓塞的范围直接影响患者的临床表现和严重程度[3]。CT肺动脉造影(CT pulmonary angiography,CTPA)已经成为APE非侵入性诊断的金标准,而且能够对各心腔大小及形态学变化进行初步观测[4-5]。本文通过测量分析APE患者心脏各心腔大小,探讨APE患者心脏形态学及血流动力学变化规律。
1 资料与方法 1.1 一般资料收集2008年6月至2016年6月在本院经CTPA确诊的APE患者75例,根据Qanadli评分法肺栓塞阻塞指数(pulmonary obstruction index, POI)分为POI≥50% 33例[c组,(66.45±9.48)岁;男17例,女16例]与POI < 50% 42例[b组,(64.48±13.04)岁;男22例,女20例],并与56例对照组(a组,62.63±10.69岁,男33例,女23例)进行对比。
纳入及排除标准:①病例图像清晰,无伪影,符合中华医学会《急性肺栓塞诊断与治疗中国专家共识(2015)》中的诊断标准[6];②各组病例除外可能引起心脏大小变化的其他疾病,如慢性肺源性心脏病、风湿性心脏病、先天性心脏病、心肌病、糖尿病、风湿免疫相关性疾病等。
1.2 仪器设备、扫描参数及图像重建采用GE LightSpeed 64排螺旋CT(美国GE)。扫描参数:管电压120 kV,管电流350 mA,机架转速0.35 s/rot,准直器宽度40 mm(0.625 mm×64),standard模式,扫描层厚5.0 mm,以0.625 mm层厚、0.625 mm间隔重组图像。采用高压注射器(美国medrad)经肘静脉注入非离子型造影剂(碘海醇, 江苏扬子江, 300 mg/ml)90 ml, 然后以相同速率注射生理盐水30 ml,流速4.0 ml/s。采用Smart自动跟踪技术,于右心室腔内设定阈值100 HU,达到阈值后延迟3 s启动扫描。并将图像数据传输至AW4.6工作站(美国GE),将所获得图像进行容积再现(VR)、多平面重建(MPR)及曲面重建,结合原始图像进行观察。
1.3 图像测量与数据分析 1.3.1 心脏相关参数测量① 选取左心房最大层面,测量最长径及垂直于长径的短径,分别为左房左右径(RL)及前后径(AP);②选取四腔心(左心室最大)层面,经前室间沟与后房间沟作一条直线(m),左、右心室最远点到直线的距离为左、右心室的左右径(RL),右房最远点到直线的距离为右房左右径(RL)。经左、右房室沟作一直线(n),左右心室最远点到直线的距离为左、右心室前后径(AP), 右房最远点到直线的距离为右房前后径(AP);③两条直线m与n相交所成左室方向的夹角为左室角(β)。
1.3.2 肺动脉栓塞指数分析采用Qanadli[6]评分法计算CT阻塞指数, 根据动脉内有无栓子、栓子位置n和肺动脉阻塞程度d来对肺动脉栓子进行评分。评分方法如下:一支肺段动脉或肺亚段动脉出现栓子记为1分。在肺段动脉以上动脉内出现栓子时, 分值等于其所属肺段动脉数。如果单一栓子延伸到多个动脉内, 则把每个动脉的积分加起来, 但总分不能超过所属区域的最大值, 栓子位置的最大评分为20分。如果血管腔部分阻塞时, 阻塞程度评分为1分; 如果血管腔完全阻塞时, 阻塞程度评分为2分。因此每个患者双肺全部血管阻塞百分比就等于全部栓子所在血管位置的评分乘以动脉阻塞程度评分, 除以40, 再乘以100 %。用公式表达为:血管阻塞指数百分比= ∑(n×d)/40×100 %。
1.4 统计学方法此观察及测量过程采取双盲法, 分别由两位经验丰富的专业高年资医生担任,并利用SPSS 11.5软件包进行数据处理,计量数据用均数±标准差(Mean±SD)表示,三组间比较采用ANOVA分析检验,各组间两两比较采用LSD-t检验,方差不齐时采用校正Tamhane法进行多重比较。治疗前后对比,采用配对t检验。计数资料采用卡方检验。以P < 0.05为差异有统计学意义。
2 结果 2.1 组间均衡性检验a、b、c三组间年龄、性别、BMI指数和血压具有均衡性(P > 0.05)见表 1。
| 组别 | 例数(例) | 年龄(岁) | 性别(例) | BMI指数 | 收缩压(mmHg) | 舒张压(mmHg) | |
| 男 | 女 | ||||||
| 对照组(a) | 56 | 62.63±10.69 | 33 | 23 | 23.89±1.90 | 131.41±19.54 | 77.86±11.67 |
| POI<50%(b) | 42 | 64.48±13.04 | 22 | 20 | 23.53±1.34 | 130.10±19.38 | 77.60±11.97 |
| POI≥50%(c) | 33 | 66.45±9.48 | 17 | 16 | 23.30±1.57 | 126.55±16.64 | 79.06±11.67 |
| F值/ χ2值 | 1.229 | 0.627 | 1.401 | 0.705 | 0.160 | ||
| P值 | 0.296a | 0.731a | 0.250a | 0.496a | 0.852a | ||
| 注:a表示组间年龄具有衡性, P > 0.05 | |||||||
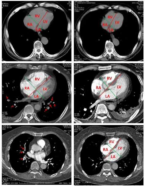
利用四心腔分界线m线与n线作为测量基线,可以对患者不同时间胸部CT或CTPA图像各心腔LR径、AP径进行有效测量对比。POI≥50%时,常常可以发现右心明显增大,并且可以在CTPA检查确诊前就及时发现PE患者出现有急性右心增大(图 1A、B),同时可以观测评价治疗后右心形态恢复情况(图 1C、D)。POI < 50%时,右心增大不明显(图 1E、F)。
|
| A、B:PE患者(POI≥50%),男,71岁,以头晕1小时急诊就诊,行胸部CT(图 1A)与8个月前胸部CT(图 1B)对比,以四心腔分界线m线(红色线)与n线(绿色线)作为测量基线,右心房(RA)与右心室(RV)明显增大,左心房(LA)与左心室(LV)可见缩小,各心腔变化,以左右径(LR)为明显;C、D:PE患者(POI≥50%),男,63岁,CTPA(图 1C)两肺动脉多发充盈缺损(↗),室间隔可见运动伪影明显,以m与n线作为测量基线,右心房(RA)与右心室(RV)明显增大。10天后复查(图 1D),肺动脉内大部分栓子消失,右心增大缓解。E、F:PE患者(POI<50%),女,74岁,CTPA(图 3a)两肺动脉多发充盈缺损(↗),四腔心层面(图 3b),以m与n线作为测量基线,右心房(RA)与右心室(RV)无明显增大,各心腔比例未见明显异常 图 1 PE患者胸部CT或CTPA图像 Fig 1 Images of CT and CTPa of PE patients |
|
|
把肺动脉栓塞患者分为POI < 50%(b)与POI≥50%(c),并与对照组(a)对比分析。左心室AP值三组间差异无统计学意义(P > 0.05)。左心房AP值b组明显大于a、c组两组(P < 0.05),但c组与a组间无明显差异(P > 0.05)。此外左右房室各径线值c组与a组间差异有统计学意义(P < 0.05),与a组对照,c组左心房与左心室径线值减小,右心房与右心室径线值增大。各径线值两心房比或两心室比三组间差异有统计学意义(P < 0.05)。同心腔两径线乘积(RL×AP),与a、b组对照,c组左心房与左心室减小(P < 0.05),右心房与右心室增大(P < 0.05);a、b两组间对照,右心房b组增大(P < 0.05),左心房与左心室、右心室组间差异无统计学意义(P > 0.05)。左室角c组与a组对比,明显减小(P < 0.05),b组与c组间差异无统计学意义(P > 0.05)。见表 2。
| 组别 | 左心房LR (cm) |
左心房AP (cm) |
左心室LR (cm) |
左心室AP (cm) |
右心房LR (cm) |
右心房AP (cm) |
右心室LR (cm) |
右心室AP (cm) |
|
| 对照组a | 6.69±0.79b, c | 3.57±0.74b | 5.76±0.68c | 7.64±0.77 | 4.87±0.66c e | 3.80±0.55b, c e | 4.46±0.51b, c | 5.80±0.99c | |
| POI<50%b | 6.16±0.95a | 3.94±1.06a, c | 5.92±0.88c | 7.58±1.22 | 5.19±0.86c e | 4.40±0.76ae | 4.78±0.71ac | 6.04±1.21c | |
| POI≥50%c | 6.20±0.83a | 3.25±0.58b | 5.28±0.87a, b | 7.25±1.01 | 5.80±0.95ab e | 4.44±0.68a e | 5.56±0.63ab | 6.69±0.94ab | |
| F值 | 5.76 | 6.53 | 6.41 | 1.63 | 13.8 | 14.31 | 34.13 | 7.55 | |
| P值 | 0.004d | 0.002d | 0.002d | 0.199 | < 0.01d | < 0.01d | < 0.01d | 0.001d | |
| 组别 | RL两房比 (RA/LA) |
AP两房比 (RA/LA) |
RL两室比 (RV/LV) |
AP两室比 (RV/LV) |
左心房RL×AP | 左心室RL×AP | 右心房RL×AP | 右心室RL×AP | 左室角(度) |
| 对照组a | 0.73±0.11b, c | 1.09±0.23c | 0.79±0.12c | 0.77±0.13c | 2420.33±732.74ce | 4429.58±854.44c | 1864.14±458.68bc e | 2609.79±604.10c e | 97.91±7.66bce |
| POI<50%b | 0.86±0.20a, c | 1.17±0.30c | 0.82±0.11c | 0.80±0.11c | 2413.42±689.17ce | 4569.75±1504.04c | 2301.09±625.88ace | 2939.28±907.93ce | 92.43±9.57 ae |
| POI≥50%c | 0.95±0.18a, b | 1.41±0.38a, b | 1.09±0.19a, b | 0.95±0.19a, b | 2007.27±446.33a, b e | 3800.26±659.18ab | 2597.79±676.67abe | 3758.28±820.92ab | 88.97±5.47 ae |
| F值 | 20.98 | 11.84 | 54.65 | 17.49 | 4.8 | 5.32 | 18.09 | 23.46 | 14.47 |
| P值 | < 0.01d | < 0.01d | < 0.01*d | < 0.01d | 0.010d | 0.006d | < 0.01d | < 0.01d | < 0.01d |
| 注:a、b、c表示与该字母组组间多重比较, P < 0.05;不同组间总体比较,dP < 0.05;e代表方差不齐而采用校正Tamhane法进行多重比较 | |||||||||
经过至少6个月的对75例肺动脉栓塞患者随访:栓塞阻塞指数POI≥50%(c组)33例患者中,26例经溶栓治疗,7例经抗凝治疗(其中2例死于发病后48 h)。POI < 50%(b组)42例患者中,6例经溶栓治疗,36例经抗凝治疗(无死亡病例)。治疗后1至3个月内,随访治疗前后CTPA图像资料完整27例(b组14例,c组13例),其中肺动脉内栓子完全消失14例(b组12例,c组2例),其余13例肺内栓子均有不同程度减少/减小。治疗前后对比(表 3)左心室左右径(LR)增大(P < 0.01),前后径(AP)轻度缩小(P < 0.05)。右心室前后径(AP)明显缩小(P=0.001),右心室左右径(LR)缩小不明显(P=0.097),右心室RL×AP明显缩小(P=0.002),两室左右径比值(RV/LV)明显减小(P=0.003)。
| 组别 | 左心房LR (cm) |
左心房AP (cm) |
左心室LR (cm) |
左心室AP (cm) |
右心房LR (cm) |
右心房AP (cm) |
右心室LR (cm) |
右心室AP (cm) |
RL两房比 (RA/LA) |
| 治疗前 | 6.43±1.03 | 3.55±0.71 | 5.64±0.90 | 7.63±0.97 | 5.59±0.87 | 4.43±0.75 | 5.15±0.72 | 6.62±1.13 | 0.88±0.16 |
| 治疗后 | 6.48±0.87 | 3.81±0.90 | 6.13±0.79 | 7.14±0.82 | 5.20±0.67 | 4.60±0.71 | 4.84±0.70 | 5.87±0.81 | 0.81±0.14 |
| t值 | -0.382 | -1.409 | -5.853 | 2.242 | 2.165 | -1.31 | 1.724 | 3.554 | 1.891 |
| P值 | 0.706 | 0.171 | < 0.01a | 0.034a | 0.040a | 0.202 | 0.097 | 0.001a | 0.070 |
| 组别 | AP两房比 (RA/LA) |
RL两室比 (RV/LV) |
AP两室比 (RV/LV) |
左心房RL×AP | 左心室RL×AP | 右心房RL×AP | 右心室RL×AP | 左室角(度) | |
| 治疗前 | 1.29±0.29 | 0.93±0.19 | 0.88±0.19 | 3628.36±933.87 | 1586.85±483.69 | 2912.37±674.45 | 5090.58±1312.69 | 93.04±8.92 | |
| 治疗后 | 1.25±0.24 | 0.80±0.13 | 0.83±0.13 | 3384.46±717.27 | 1772.44±544.60 | 2978.14±633.92 | 4209.57±844.63 | 95.32±5.98 | |
| t值 | 0.602 | 3.283 | 1.525 | 1.713 | -2.002 | -0.606 | 3.393 | -1.14 | |
| P值 | 0.552 | 0.003a | 0.139 | 0.099 | 0.056 | 0.550 | 0.002a | 0.264 | |
| 注:aP < 0.05 | |||||||||
APE是指内源性或外源性栓子堵塞肺动脉引起肺循环障碍的临床和病理生理综合征,发病率及误诊率均非常高,其病死率高达2%~7% [2]。CTPA对APE具有极高的敏感性和特异性,并且可以根据动脉内有无栓子、栓子位置和肺动脉阻塞程度进行评分,从而计算出肺动脉阻塞指数(pulmonary obstruction index,POI),能比较准确地预测APE患者不良事件的发生[7-8]。
目前CTPA已经成为肺动脉栓塞确诊的重要手段,随着其空间分辨率和时间分辨率的提高,CT对心脏解剖结构的显示越来越清楚,也使得在CTPA检查的同时对心功能初步做出评价成为目前研究热点。此研究利用四个心腔分界线m(前室间沟与后房间沟连线)与n(左、右房室沟连线)为测量基线,测量四个心腔在前-后、左-右方向上到测线基线最大垂直距离作为各心腔AP径与RL径。同时,m、n两线相交所成左室方向的夹角定义为左室角(β)。由于肉柱与腱索的原因,心腔内缘不规则,从而测量心腔内径误差较大,所以此研究测量选用心腔外径测量。利用四心腔分界线m线与n线作为测量基线,减少了心脏运动伪影对测量的不利影响,心腔增强显影也不再是观测的必须条件,因此可以对患者不同时间胸部CT或CTPA图像各心腔LR径、AP径进行有效测量对比,可以在CTPA检查确诊前就及时发现PE患者出现有急性右心增大,也可以观测评价治疗后右心形态恢复情况。
本研究发现肺动脉栓塞患者POI≥50%组右心房、右心室均明显增大,右心室LR、AP均明显增大,右心房LR明显增大。与之对应的左心室LR明显缩小,而左心室AP值确无明显变化。在急性肺动脉栓塞发生时,出现RV流出阻力急剧增加,引起急性RV扩张,并且通过心室相互依赖性使LV舒张顺应性明显降低,患者本身的心肺功能状态与横切面上肺血管床的阻塞程度明显相关。因此,当阻塞指数大于50%时会引起右心室压力明显增高。由于右心室壁薄,泵功能差,所以对后负荷增高代偿不佳是右心室增大主要原因。左心室LR值变小与右心增大,室间隔左偏有关,因此AP变化不明显,另一方面LR值变小可能与回心血量减少所致左室容积减小有关。超声心动图是诊断右心功能不全实用和敏感的方法,能够对APE患者预后评估提供更多重要的临床参数。但由于对肺动脉栓塞诊断低灵敏度,并且检查时间较长,不被常规用于APE患者,因此对于APE患者快速的右心功能评估始终是一个关键性待解决问题。因此在通过CTPA检查,确诊肺动脉栓塞同时,可见通过测量右心室与左心室LR径比值变化初步估测右心功能变化;与正常组对照,肺动脉栓塞两组左室角(β)有明显缩小,因此它也可作为CTPA图像估测右心增大重要指标,但仍需进一步研究论证。
本研究发现左心房AP值b组明显大于a、c两组(P < 0.05),而LR值明显小于a组。同时,左心房RL/AP也明显小于a、c两组。因此说明,在肺动脉栓塞不同时期,左心房各径线比例变化较大,不能用左心室单一径线值或左右心比值作为评价左心房是否增大的标准。而从各心腔的两径线乘积(RL×AP)结果来看,右心房、右心室随着肺动脉栓塞POI增加而增大,左心房、左心室随着POI增加而减少。因此,对于左心房的两径线乘积(RL×AP)对于其大小评估更为可靠。各径线值左/右心比值结果,随POI增加而减少,c组均明显小于a、b两组(P < 0.05)。其中RL两室比(RV/LV),a、b两组均小于1,且组间对比差异无统计学意义,而c组大于1。因此此次研究结果,也支持了一些学者把RV/LV大于1定为右心增大的CT测量标准[10]的观点。通过对比b、c两组中部分急性肺栓塞患者治疗前后CTPA图像测得的数据,发现治疗后右心室RL×AP明显缩小,两心室左右径比值(RV/LV)亦明显减小。两心室左右径比值(RV/LV)是急性肺动脉栓塞患者预后的独立预测因素,本研究也在一定程度上证实了肺动脉栓塞治疗好转后肺动脉压力有所降低,进而右心室容积缩小,从而反馈给临床作为疗效评估的参考。
本研究还发现治疗后左心室RL值增大显著,AP值亦有明显缩小,这与肺栓塞肺动脉高压血管压力传递效应右心影响左心的过程恰好相反,也符合肺栓塞缓解后左心排血量增加的血流动力学变化趋势。同时发现治疗后右心室AP值缩小显著,RL值略有缩小但变化并不显著,可能是因为样本量太少。
| [1] | Yetgin GO, Aydin SA, Koksal O, et al. Clinical probability and risk analysis of patients with suspected pulmonary embolism[J]. World J Emerg Med, 2014, 5(4): 264-269. DOI:10.5847/wjem.j.issn.1920-8642.2014.04.004 |
| [2] | EI-Menyar A, Nabir S, Ahmed N, et al. Diagnostic implications of computed tomography pulmonary angiography in patients with pulmonary embolism[J]. Ann Thorac Med, 2016, 11(4): 269-276. DOI:10.4103/1817-1737.191868 |
| [3] | 杨帆, 张静华, 赵洛沙, 等. 心电图在急性肺动脉干及左右主肺动脉栓塞早期诊断中的价值[J]. 中华急诊医学杂志, 2017, 26(7): 790-794. DOI:10.3760/cma.j.issn.1671-0282.2017.07.014 |
| [4] | Das M, Wildberger JE. Diagnostics of acute pulmonary embolism : An update[J]. Radiologe, 2016, 56(6): 543-556. DOI:10.1007/s00117-016-0100-3 |
| [5] | Barrios D, Morillo R, Lobo JL, et al. Assessment of right ventricular function in acute pulmonary embolism[J]. Am Heart J, 2017, 185: 123-129. DOI:10.1016/j.ahj.2016.12.009 |
| [6] | 中华医学会心血管病学分会肺血管病学组. 急性肺栓塞诊断与治疗中国专家共识(2015)[J]. 中华心血管杂志, 2016, 44(3): 197-211. DOI:10.3760/cma.j.issn.0253-3758.2016.03.005 |
| [7] | Qanadli SD, EI Hajjam M, Viellard-Baron A, et al. New CT index to quantify arterial obstruction in pulmonary embolism: comparison with angiographic index and echocardiography[J]. AJR Am J Roentgenol, 2001, 176(6): 1415-1420. DOI:10.2214/ajr.176.6.1761415 |
| [8] | Vamsidhar A, Rajasekhar D, Vanajakshamma V, et al. Comparison of PESI, echocardiogram, CTPA, and NT-proBNP as risk stratification tools in patients with acute pulmonary embolism[J]. Indian Heart J, 2017, 69(1): 68-74. DOI:10.1016/j.ihj.2016.07.010 |
2019, Vol. 28



