Löffler心内膜炎是嗜酸性粒细胞增多症累及心脏的一种变现,此病罕见,难与同急性心肌梗死或不明原因心力衰竭相鉴别。现将一例酷似心肌梗死的Löffler心内膜炎病例报告如下。
1 资料与方法患者,女性,68岁,主因“突发心前区不适38 h入院”。患者于入院前38 h,休息中突发心前区不适,伴胸闷、憋气、大汗、咳嗽、咯白痰,不能平卧,症状持续不缓解。入院前24 h就诊于外院,查心肌酶“CK 1 277 U/L,CK-MB 148 U/L”,心电图提示“心房颤动”,给予对症治疗后未见明显缓解。于入院前10 h转至本院,cTnT 2.14 ng/mL,NT-proBNP 25 235 pg/mL,为进一步诊治收入科。患者既往36年前行“剖宫产术”。入院前1年曾先后3次就诊于外院,考虑为“支气管扩张合并感染、支气管哮喘”。否认高血压、糖尿病及家族遗传病病史。入院查体:神清,半卧位。BP 105/65 mmHg (1mmHg=0.133kpa)双肺呼吸音粗,双肺底可闻及少许湿啰音,HR 100次/min律不齐、心音强弱不等,肝脾未触及,双下肢不肿。心电图:心房纤颤,V4~6 T波低平。入院初步考虑:冠心病急性非ST段抬高心肌梗死心律失常:心房纤颤心功能Ⅱ级(Killip’s)支气管扩张。GRACE评分中危。
第1天,心脏超声提示:左房38 mm,左室舒张末内径50 mm,射血分数50%。左室下壁后壁运动减低,左室收缩功能减低,心律失常,二、三尖瓣轻度反流。血化验回报:血常规:白细胞(WBC)15.32×109/L,中性粒细胞(NEUT)比例55.64%,嗜酸性粒细胞(Eosinophil,EO)比例18.81%(绝对值2.88×109/L)。入院后给予左西孟旦等药物对症治疗。第3天,血常规回报:WBC 13.07×109/L,NEUT比例44.0%,EO比例42.0%(绝对值5.49×109/L)。第4天,复查血常规回报:WBC 12.6×109/L,NEUT比例43.6%,EO比例36.9%(绝对值4.6×109/L),复查cTnT 4.16 ng/mL;NT-proBNP 13 840 pg/mL。患者症状略缓解。追问病史:入院前1年曾3次就诊于外院,且反复多次出现EO异常升高,最高2.32×109/L,动态对比胸部CT情况可见游走性斑片影,且入院前1周行冠脉CTA检查未见异常。故考虑Löffler心内膜炎可能。第5天,给予甲强龙40 mg静脉,第6天复查血常规WBC 7.2×109/L,NEUT比例87.2%,EO比例0.5%(绝对值0.0×109/L)。持续给予甲强龙40 mg静脉5 d,第10天复查血常规WBC 9.5×109/L,NEUT比例70.1%,EO比例0.7%(绝对值0.1×109/L);cTnT 2.24 ng/mL;NT-proBNP 6 481 pg/mL,住院期间查ANCA阴性,曲真菌抗体阴性、C反应蛋白、降钙素原、体液免疫、风湿全项均正常。入院后11 d症状好转出院。
|
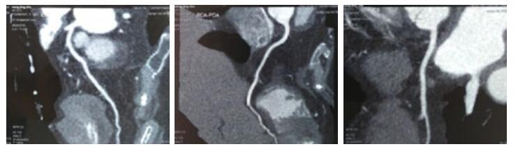
| 图 1 入院前1周冠脉CTA情况(A前降支;B右冠;C回旋支) |
|
|
|
| 图 2 入院前1年多次胸部CT情况(箭头所示游走性斑片影) |
|
|
患者因心前区不适入院。急诊查cTnT及NT-proBNP明显异常,提示心肌损伤、心功能不全诊断明确。但入院后反复复查血常规,EO均明显升高,且患者入院前1周行冠脉CTA未见异常,加之入院后心肌酶、心电图不符合AMI动态演变过程。另外患者1年内多次入院均出现EO均异常升高(均大于 > 1.5×109/L),提示存在嗜酸性粒细胞增多症,胸部CT可见游走性斑片影,提示存在嗜酸性粒细胞增多综合征[1]。尽管未做心肌活检,但患者具有心血管系统、呼吸系统损害,EO计数反复大于 > 1.5×109/L,故笔者认为Löffler心内膜炎诊断明确。
Löffler心内膜炎, 是嗜酸性粒细胞增多综合征累及心脏的表现。此病临床极其罕见。根据病程及形态学分为三期:坏死期、血栓期和纤维化期。其具体机制尚未明确。一方面可能与嗜酸性粒细胞通过释放细胞毒性物质,造成组织损伤有关[2],另一方面可能与嗜酸性粒细胞脱颗粒后,释放碱性蛋白和嗜酸性阳离子蛋白对心肌直接毒性作用有关[3]。
针对HE治疗方案,目前本病尚缺乏有效的治疗手段。部分研究表明激素类药物有效[4]。故入院后给予甲强龙对症治疗后,患者嗜酸性粒细胞水平次日即恢复正常,随后cTnT以及NT-proBNP均较前明显下降,临床症状明显缓解。
| [1] | Klion AD. Eosinophilia: a pragmatic approach to diagnosis and treatment[J]. Hematology Am Soc Hematol Educ Program, 2015: 92-97. DOI:10.1182/asheducation-2015.1.92 |
| [2] | Khoury P, Makiya M, Klion AD. Clinical and biological markers in hypereosinophilic syndromes[J]. Front Med (Lausanne), 2017, 22(4): 240-247. DOI:10.3389/fmed.2017.00240 |
| [3] | Flanigan MJ, Velez MR, RudenEA, et al. Löffler endocarditis and endomyocardial fibrosis[J]. J Am Osteopath Assoc, 2017, 117(9): 601-604. DOI:10.7556/jaoa.2017.115 |
| [4] | IshⅡ J, Yamamoto S, Yoshimura H, et al. Multiple cerebral infarctions in a patient with hypereosinophilic syndrome with Löffler endocarditis: a case report[J]. RinshoShinkeigaku, 2015, 55(3): 165-170. DOI:10.5692/clinicalneurol.55.165 |
2019, Vol. 28



