烟雾吸入性肺损伤(smoke inhalation induced acute lung injury, SI-ALI)是火灾中常见的急症,其发生率约为6%~20%[1]。其病理变化复杂,包括严重的氧化应激、炎症反应及肺部凝血功能紊乱等变化,治疗难度大,常导致ARDS的发生,病死率高[2]。在SI-ALI中,凝血状态的改变与炎症反应是密切关联的,在弥漫性肺泡损伤中均扮演重要角色[3]。在ARDS患者肺泡液中发现了促凝途径的激活[4]及抗凝系统的抑制,特别是血液中抗凝物蛋白C(protein C, PC)的下调与ALI的死亡风险升高显著相关[5]。糖皮质激素是一种有效的抗炎药物,但是有研究认为长期应用会导致静脉血栓风险增高[6];而在急性炎症的研究中发现,糖皮质激素可以缓解局部及全身的凝血异常状态[3, 7]。在烟雾吸入性肺损伤中关于其对凝血功能影响的研究仍不充分。笔者推测甲泼尼龙(methyl prednisolone, MP)治疗烟雾吸入性急性肺损伤中不但可以缓解炎症反应,而且可以改善局部及全身凝血状态。
1 材料与方法 1.1 实验动物及试剂本次实验选取的动物为雄性Sprague-Dawley大鼠(250~300 g),购自军事医学科学院动物中心;MP购自比利时Pfizer公司,总RNA抽提试剂TRIZOL和realtime-PCR(RT-PCR)反转录试剂盒购自美国Thermo Fisher公司,凝血因子Ⅱ(F Ⅱ)、凝血酶抗凝血酶复合物(thrombin-antithrombin complex, TAT-c)、血栓调节蛋白(thrombomodulin, TM)、组织因子(tissue factor, TF)、内皮细胞蛋白C受体(endothelial cell protein C receptor, EPCR)的ELISA试剂盒购自美国Genxspan公司;ACL7000全自动血凝仪来自美国Beckman Coulter公司;RAPIDPoint500血气分析仪来自德国SIEMENS公司;实验采用的烟雾染毒箱为本课题组自行研制,专利号:ZL 2017 2 1317512.6。
1.2 肺损伤模型的建立大鼠在洁净级条件下预先饲养7 d(自由进食水)。采用自行研制的密封性良好的产烟装置和实验装置一体化的集成系统,主要组成部分为烟雾生成单元(不锈钢材质,内含1个控温电磁炉、4个排风扇、1个温度检测器,一个烟雾成分检测器),动物染毒单元(舰船舱室模拟箱,不锈钢材质,包含一个水循环冷却系统,可控制箱内温度于20~25 ℃,1个温度检测器,一个烟雾成分检测器,单侧箱体为玻璃材质,可以实时监测箱内动物活动状态)。两个单元通过联通管道连接。采用的燃烧材料包括聚双马泡沫材料、发泡橡塑绝热制品、阻燃白胶、阻尼材料、无卤电缆、硅丙乳胶漆、装饰板7种。将发烟材料研磨成粉等比例混合(各20 g)后,置于电磁炉上方的托盘中,控制电磁炉温度为300 ℃,待产烟箱中烟雾充盈后用排风机将烟雾通过管道排入试验箱中,同时用烟雾检测仪检测箱内气体的浓度,各种气体控制范围为:CO 400~550×10-6,H2S 10~15×10-6, O2 18%~20%,上述成分的含量通过控制排风机进行维持。配备有温度控制系统通过吸入有机材料燃烧产生的烟雾造成直接肺损伤。根据前期动物模型建立的条件[8],选取烟雾吸入30 min为致伤时间,24 h生存率约为30%。
1.3 激素干预方法150只大鼠按随机数字表法分5组,对照组(control组),单纯烟雾吸入组(s组),烟雾+甲泼尼龙40 mg/kg组(s+HMP组),烟雾+甲泼尼龙4 mg/kg组(s+MMP组),烟雾+甲泼尼龙0.4 mg/kg组(s+LMP组),均n=30。药物干预的方法是烟雾吸入前1 h腹腔注射。于烟雾吸入后24 h,从上述各组随机选取6只存活大鼠进行标本采集。
1.4 血液、BALF及肺组织标本采集在烟雾吸入24 h,通过戊巴比妥对大鼠进行麻醉(50 mg/kg),血液通过腹主动脉采集入含有枸橼酸抗凝剂(0.109 mol/L)的采血管中,并将循环中的血液放干,将胸骨延正中线切开后,右肺进行结扎,左肺用1 mL冷PBS溶液进行缓慢灌洗3次,右上肺固定于4%甲醛溶液中,48 h后用石蜡包埋,右中肺进行湿干比测定,剩余肺组织放置液氮中进行后续检测。通过血气分析仪测定各组大鼠动脉血中pH、PaCO2、PaO2。
1.5 肺湿干比测定右肺中叶用于测定干湿比。肺组织取出后立即称质量,然后在60 ℃干燥箱中放置48 h,取出后称质量,计算湿干比。
1.6 血浆与BALF中凝血因子测定抗凝血与BALF于4 ℃1 000 g进行离心15 min后,血浆与上清液分别进行凝血检测。全身凝血功能检测:大鼠麻醉后,经腹主动脉取血。按照比例混合于含枸橼酸钠抗凝剂的采血管中,于4℃ 3 000 r/min离心15 min,上清液进行常规凝血功能检测:凝血酶原时间(prothrombin time, PT)、部分凝血活酶时间(activated partial thromboplastin time, APTT)、国际标准化比率(international normalized ratio,INR)、纤维蛋白原(fibrinogen,FIB)、凝血因子Ⅷ活动度(factor Ⅷ%,F Ⅷ%), 抗凝血酶Ⅲ(antithrombin Ⅲ, AT Ⅲ)通过凝血仪Sta-R Evolution system (Diagnostica Stago, USA)测定。TM、F Ⅱ、TAT-c检测:上述方法获得抗凝血浆后,采用ELISA试剂盒按照说明书进行检测。通过发色底物法检测上述血浆中的PC活性。局部凝血功能检测:大鼠肺泡灌洗后获得BALF,通过ELISA方法对其中的F Ⅱ、TAT-c进行检测。
1.7 肺组织中凝血因子测定通过RT-PCR方法对肺组织中的TM、TF进行检测。RNA的提取及RT-PCR:右肺上叶及肝右叶收集后,总RNA根据说明书通过trizol试剂进行提取,通过吸光度法在260 nm测得总RNA浓度。通过DNA反转录试剂盒将RNA反转为cDNA,采用的引物序列见表 1。
| 引物 | 序列(5’-3’) |
| 大鼠TF-正向 | TTCTCGGCTTCCTTCTCCTT |
| 大鼠TF-反向 | GTCGGTGAGGTCACACTCAG |
| 大鼠TM-正向 | TGAATACCCGAGATCCTGAG |
| 大鼠TM-反向 | ATGTACTCGCAGCCACCAT |
| 大鼠GAPDH-正向 | TGGCCTTCCGTGTTCCTAC |
| 大鼠GAPDH-反向 | GAGTTGCTGTTGAAGTCGCA |
RT-PCR采用两步法进行,每个样品重复三次。循环步骤如下:在95 ˚C初始变性5 min,然后再进行95 ℃变性10 s共40个循环,59 ℃退火、扩增30 s, 以GADPH作为参照,获得的数据通过2-ΔΔCT方法测定基因的相对表达。
1.8 统计学方法所有检测均重复3次,采用SPSS 24.0进行统计学分析,数据进行ANOVA检验,数据以均值±标准差(Mean±SD)表示。多组间比较采用单因素方差分析,组间两两比较采用LSD-t检验;通过GraphPad Prism 6.0软件绘制大鼠24 h Kaplan-Meier生存曲线,采用log-rank检验,生存率的比较采用χ2检验。以P < 0.05为差异有统计学意义。
2 结果 2.1 生存曲线分析s组24 h生存率为33.67%,s+HMP组生存率为65.73%,与s组之间差异有统计学意义(P=0.041);s+MMP组生存率为85.17%,与对照组之间差异有统计学意义(P < 0.01), 与s+HMP组差异有统计学意义(P=0.040);s+LMP组生存率为60.07%,与s组和s+MMP组生存率差异有统计学意义(P=0.012,P=0.037),与s+HMP组生存率差异无统计学意义(P=0.560),见图 1。
|
| s:烟雾吸入组;s+HMP:烟雾+40 mg/kg甲泼尼龙组;s+MMP:烟雾+4 mg/kg甲泼尼龙组;s+LMP:烟雾+0.4 mg/kg甲泼尼龙组,均n=30 图 1 各组大鼠的生存曲线的比较 Fig 1 Survival proportions of different groups |
|
|
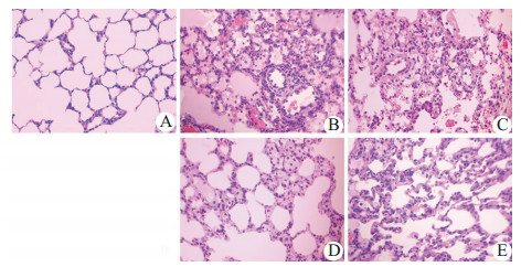
对烟雾吸入后的肺组织进行HE染色显示,s组在烟雾吸入后出现广泛肺泡内水肿及出血,伴有肺泡及肺泡间隔内大量中性粒细胞浸润,支气管中也有炎症细胞的浸润;s+LMP组肺水肿程度显著降低,但是肺泡内仍有大量中性粒细胞浸润,巨噬细胞的比例有所回升;s+MMP组肺水肿程度及肺泡壁损伤进一步减轻,肺泡巨噬细胞显著增多,中性粒细胞显著减少;s+HMP组肺损伤程度较s+MMP组无进一步改善,部分肺泡间隔可见中性粒细胞,巨噬细胞广泛分布,见图 2。
|
| A:对照组;B:s组;C:s+HMP组;D:s+MMP组;E:s+LMP组 图 2 各组大鼠的肺组织病理(HE×100) Fig 2 Lung tissue histopathology of different groups(HE×100) |
|
|
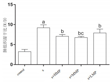
对各组大鼠的肺组织湿干比进行比较,如图 3所示,s组显著高于对照组(3.23±0.23,P < 0.01); s+HMP组为7.08±0.18,显著低于s组(P < 0.01);s+MMP组显著低于s组(P < 0.01),与s+HMP组差异无统计学意义(P=0.17);s+LMP组显著低于s组(P=0.028 1),与s+HMP组差异无统计学意义(P=0.062),与s+MMP组差异有统计学意义(P=0.020)。
|
| Control:对照组;s:烟雾吸入组;s+HMP:烟雾+40 mg/kg甲泼尼龙组;s+MMP:烟雾+4 mg/kg甲泼尼龙组;s+LMP:烟雾+0.4 mg/kg甲泼尼龙组;与对照组比较,aP < 0.01;与s组比较,bP < 0.05;与s+LMP组比较,cP < 0.05 图 3 不同剂量糖皮质激素对肺组织干湿比的影响 Fig 3 Effect of MP on the W/D ratio of smoke inhalation induced lung injury |
|
|
对各组大鼠氧分压比较显示,s组显著低于对照组(P < 0.01); s+HMP组显著高s组(P=0.001);s+MMP组显著高于s组(P < 0.01),与s+HMP组差异无统计学意义(P=0.151);s+LMP组显著高于s组(P=0.003),与s+HMP组差异无统计学意义(P=0.307),与s+MMP组差异有统计学意义(P=0.030)。
二氧化碳分压比较显示,烟雾吸入后PaCO2与对照组相比显著升高(P=0.027),s+HMP组与s组相比显著降低(P=0.024);s+MMP组显著低于s组(P=0.011),与s+HMP组差异无统计学意义(P=0.953);s+LMP组与s组差异无统计学意义(P=0.062),与s+HMP和s+MMP组差异均无统计学意义(P=0.23,P=0.16)。
对动脉血中pH分析显示,s组pH显著低于对照组(P < 0.01),s+HMP组与s组相比显著升高(P=0.013);s+MMP组显著高于s组(P=0.005),与s+HMP组差异无统计学意义(P=0.31);s+LMP组与s组、s+HMP组和s+MMP组差异均无统计学意义(P=0.232,P=0.168,P=0.067),见图 4。
|
| A:PaO2在不同组之间的比较;B:PaCO2在不同组之间的比较;C:pH在不同组之间的比较。Control:对照组;s:烟雾吸入组;s+HMP:烟雾+40 mg/kg甲泼尼龙组;s+MMP:烟雾+4 mg/kg甲泼尼龙组;s+LMP:烟雾+0.4 mg/kg甲泼尼龙组;与对照组比较,aP < 0.05;与s组比较,bP < 0.05;与s+LMP组比较,cP < 0.05 图 4 甲泼尼龙对烟雾吸入后大鼠血气的影响 Fig 4 Effect of MP on arterial blood gas analysis(BGA) in rats after smoke inhalation |
|
|
对各组肺组织中促凝因子TF和抗凝因子TM进行RT-PCR分析,结果显示,烟雾吸入后肺组织中TF的mRNA表达与对照组相比显著增高(P < 0.01);s+HMP组与s组相比显著降低(P < 0.01),s+MMP组与s组相比显著降低(P < 0.01),与s+HMP组相比差异无统计学意义(P=0.210);s+LMP组与s组相比显著降低(P=0.002),与s+HMP组相比差异有统计学意义(P=0.014),与s+MMP组相比差异无统计学意义(P=0.121)。烟雾吸入后肺组织中TM的mRNA表达与对照组相比显著降低(P < 0.01);s+HMP组与s组相比显著升高(P=0.003),s+MMP组与s组相比显著升高(P=0.001),与s+HMP组相比差异有统计学意义(P=0.029);s+LMP组与s组相比显著升高(P=0.040),与s+HMP组相比差异无统计学意义(P=0.06),与s+MMP组相比差异有统计学意义(P=0.018),见图 5。
|
| A:不同组肺组织中TF mRNA表达情况;B:不同组肺组织中TM mRNA表达情况。Control:对照组;s:烟雾吸入组;s+HMP:烟雾+40 mg/kg甲泼尼龙组;s+MMP:烟雾+4 mg/kg甲泼尼龙组;s+LMP:烟雾+0.4 mg/kg甲泼尼龙组;与对照组比较,aP < 0.05;与s组相比bP < 0.05;与s+LMP比较,cP < 0.05;与s+MMP比较,dP < 0.05。TF, 组织因子; TM, 血栓调节蛋白 图 5 甲泼尼龙对烟雾吸入后大鼠肺组织TF及TM表达的影响 Fig 5 Comparison of mRNA expressions of TF and TM in lung tissues among the 5 groups by real-time PCR |
|
|
通过ELISA方法对BALF中的凝血因子F Ⅱ、TF、TAT-c进行检测。烟雾吸入后,BALF中的F Ⅱ显著降低(P=0.030),s+HMP组较s组显著回升(P=0.038),s+MMP组比s组显著升高(P=0.027),较s+HMP组差异无统计学意义(P=0.553),s+LMP组与s组差异无统计学意义,较s+HMP及s+MMP组显著降低(P=0.032, P=0.011)。对TAT-c的检测显示,烟雾吸入后s组TAT-c显著增高(P=0.016);s+HMP组较s组显著降低(P=0.031),MP治疗三组间差异均无统计学意义(P > 0.05)。对BALF中TF的检测显示,烟雾吸入后s组TF显著增高(P < 0.01),s+HMP、s+MMP、s+LMP组较s组均显著降低(P=0.007, P=0.006, P=0.026),MP治疗三组间差异无统计学意义(P > 0.05),见图 6。
|
| A:不同组BALF中F Ⅱ的含量;B:不同组BALF中TAT-c的含量;C:不同组BALF中TF的含量。Control:对照组;s:烟雾吸入组;s+HMP:烟雾+40 mg/kg甲泼尼龙组;s+MMP:烟雾+4 mg/kg甲泼尼龙组;s+LMP:烟雾+0.4 mg/kg甲泼尼龙组;与对照组比较,aP < 0.05;与烟雾组比较,bP < 0.05;与s+LMP相比较,cP < 0.05。F Ⅱ, 凝血因子Ⅱ, TAT-c, 凝血酶抗凝血酶复合物; TF, 组织因子 图 6 甲泼尼龙对BALF三种凝血因子在各组之间的比较 Fig 6 Comparison of the coagulation factors in BALF among the 5 groups by ELISA |
|
|
通过ELISA方法对血浆中的凝血因子TF、TAT-c进行检测;通过凝血仪对F Ⅷ%、FIB进行检测。对TAT-c的检测显示,烟雾吸入后s组TAT-c显著增高(P < 0.01),s+HMP、s+MMP、s+LMP组较s组均显著降低(P < 0.01, P=0.002, P=0.013),s+HMP和s+MMP组间差异无统计学意义(P=0.71),s+HMP组和s+MMP组分别与s+LMP之间差异有统计学意义(P=0.037,P=0.049)。对血浆中F Ⅷ%检测显示,烟雾吸入后F Ⅷ%未显著降低(P=0.0612),s+HMP组较s组显著升高(P=0.039),s+MMP、s+LMP较s组无显著改变(P=0.099, P=0.468);对血浆中TF的检测显示,烟雾吸入后s组TF显著增高(P < 0.01),s+HMP组较对照组及s组均显著增高(均P < 0.01),s+MMP组与s组差异无统计学意义(P=0.441);s+LMP组显著低于s组(P < 0.01)。烟雾吸入后,血浆中的FIB显著升高(P=0.017),s+HMP、s+MMP组较s组无显著下降(P=0.069, P=0.074),s+LMP组较s组显著下降(P=0.020),各剂量MP治疗组间差异无统计学意义(均P > 0.05),见图 7。
|
| A:不同组血浆中TAT-c的含量;B:不同组血浆中F Ⅷ的活性;C:不同组血浆中TF的含量;D:不同组血浆中FIB的含量。Control:对照组;s:烟雾吸入组;s+HMP:烟雾+40 mg/kg甲泼尼龙组;s+MMP:烟雾+4 mg/kg甲泼尼龙组;s+LMP:烟雾+0.4 mg/kg甲泼尼龙组;与对照组比较,aP < 0.05;与烟雾组比较,bP < 0.05;与s+LMP相比较,cP < 0.05。F Ⅷ,凝血因子Ⅷ;TAT-c, 凝血酶抗凝血酶复合物; TF, 组织因子;FIB, 纤维蛋白原 图 7 甲泼尼龙对各组血浆中凝血因子的影响 Fig 7 Comparison of the coagulation factors in plasma among the 5 groups |
|
|
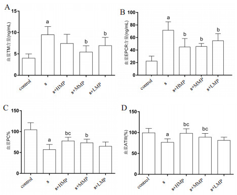
通过ELISA方法对血浆中的凝血因子TM、EPCR进行检测;通过凝血仪对AT Ⅲ%、PC%进行检测。对TM的检测显示,烟雾吸入后s组TM显著增高(P < 0.01),s+HMP组与s组比较差异无统计学意义(P=0.114);s+MMP、s+LMP较s组均显著降低(P=0.002, P=0.046),MP治疗三组之差异无统计学意义(P > 0.05)。对血浆中EPCR检测显示,烟雾吸入后EPCR显著升高(P < 0.01),s+HMP、s+MMP、s+LMP较s组均显著降低(P=0.007,P=0.001, P=0.043),各剂量MP组间差异无统计学意义(P > 0.05)。对血浆中PC%的检测显示,烟雾吸入后s组PC%显著降低(P < 0.01),s+HMP组较s组显著增高(P=0.007),s+MMP组较s组显著升高(P=0.024),与s+HMP组差异无统计学意义(P=0.061), s+LMP组较s组差异无统计学意义(P=0.267), 与s+HMP组差异有统计学意义(P=0.045),与s+MMP差异无统计学意义(P=0.168)。烟雾吸入后,血浆中的AT Ⅲ%显著降低(P=0.025),s+HMP、s+MMP组较s组显著升高(P=0.003, P=0.0356),s+LMP组较s组无显著改变(P=0.33);s+HMP、s+MMP两组之间差异无统计学意义(P=0.55),s+LMP组较s+HMP、s+MMP组差异有统计学意义(P=0.017,P=0.041),见图 8。
|
| A:不同组血浆中TM的含量;B:不同组血浆中EPCR的含量;C:不同组血浆中PC的活性;D:不同组血浆中AT Ⅲ的活性。Control:对照组;s:烟雾吸入组;s+HMP:烟雾+40 mg/kg甲泼尼龙组;s+MMP:烟雾+4 mg/kg甲泼尼龙组;s+LMP:烟雾+0.4 mg/kg甲泼尼龙组;与对照组比较,aP < 0.05;与烟雾组比较,bP < 0.05;与s+LMP相比较,cP < 0.05。TM, 血栓调节蛋白; EPCR, 内皮细胞蛋白C受体; PC, 蛋白C; AT Ⅲ, 抗凝血酶Ⅲ 图 8 甲泼尼龙对各组血浆中抗凝的影响 Fig 8 Comparison of the anti-coagulation factors in plasma among the 5 groups |
|
|
对各组PT、INR、APTT检测显示,烟雾吸入前后与激素干预对三项指标均无显著影响,各组相互之间均差异无统计学意义(均P > 0.05),表明总体凝血功能不能体现烟雾吸入及激素干预后凝血功能的具体改变,见表 2。
| 组别 | PT(s) | INR | APTT(s) |
| control组 | 11.30±0.50 | 1.01±0.08 | 20.11±3.29 |
| s组 | 11.32±0.61 | 1.02±0.05 | 21.10±4.50 |
| s+HMP组 | 11.74±0.33 | 1.06±0.03 | 18.93±1.59 |
| s+MMP组 | 11.84±0.37 | 1.07±0.03 | 19.25±0.57 |
| s+LMP组 | 11.21±0.62 | 1.00±0.08 | 18.72±0.67 |
| 注:各组间比较,均P > 0.05 | |||
烟雾吸入性急性肺损伤的病理生理过程是复杂多样的,包括炎症反应、氧化应激、凝血功能紊乱等各方面。其中,局部凝血功能的紊乱是SI-ALI的一个重要病理过程。烟雾吸入后,微循环的渗透性迅速增加,大量水肿液渗透到肺泡中,其中包含大量凝血因子,同时肺部如肺上皮细胞、巨噬细胞等也会在炎症刺激下产生诸如TF在内的多种凝血因子[9]。凝血的激活及抗凝物质的消耗导致促凝反应进一步加重,再加上大量细胞碎片及富含蛋白黏液的沉积导致了气道内铸型的形成,最终影响了通气功能[10]。笔者前期的实验证明,糖皮质激素在烟雾吸入急性期的应用可以显著改善炎症反应,降低病死率。糖皮质激素虽然是一种广泛应用的抗炎药物,但是其功能具有两面性,比如对凝血功能的影响。一项大型研究认为长期糖皮质激素应用会增加下肢深静脉血栓的风险[6];另一项Meta分析显示激素可以增加健康人群的F Ⅶ、F Ⅷ和F Ⅺ活性;并且在急性炎症过程中,糖皮质激素可以显著增加纤溶酶原激活剂抑制物(plasminogen activator inhibitor-1,PAI-1)的水平, 降低FIB的水平,而且围手术期给予糖皮质激素可以抑制手术引起的t-PA水平的增高[11]。虽然上述结果提示糖皮质激素可引起机体的促凝过程,但是这些数据并不能完全支持促凝状态,激素对凝血的影响实际上与不同的病情和临床状态有很大的关系,很有可能是药物与病情互相调整影响的结果[11]。而且血栓形成是促凝途径、抗凝途径、纤溶途径之间失衡的结果,单纯拿出三方面的某一点进行研究均不能体现总体凝血过程。所以,激素是否导致高凝状态,或者是否也对抗凝途径、纤溶途径有所调节,从而影响血栓风险是有争议的。本次研究的目的是探索MP在SI-ALI急性期对于凝血功能的影响。
本研究显示,MP可以显著降低肺湿干比,即肺水肿程度,并且可显著改善PaO2、PaCO2,提示其在改善肺损伤程度上的有效性。本研究通过检测烟雾吸入后BALF及全身的凝血功能状态发现,烟雾吸入会导致BALF中凝血因子TF及TAT-c的显著增高和F Ⅱ的降低,F Ⅱ的降低提示凝血酶原向凝血酶转化的增多,凝血酶与AT Ⅲ结合形成了TAT-c,上述物质的变化提示肺部局部促凝过程的激活,这与先前的研究相似[12].通过PCR检测肺内TF的合成显著增高,表明烟雾刺激可激活TF的进一步合成,特别是肺泡上皮细胞上调TF的mRNA、蛋白,凝血活性的作用更为突出[13-14],这就导致了肺泡中促凝的激活,并且组织因子途径抑制物(tissue factorpathway inhibitor, TFPI)无法对其进行抑制[15]。而对于TM的PCR检测显示,烟雾吸入后TM的合成显著减少,由于TM是天然抗凝途径APC系统中结合凝血酶的重要物质,其合成减少提示抗凝途径显著抑制。
给予MP干预后,F Ⅱ水平较s组显著回升,TF及TAT-c的水平显著下降,提示凝血酶原向凝血酶转化的减少;对mRNA的检测显示,给予MP干预后TF和TM的水平较烟雾组有显著缓解,s+LMP、s+HMP组相对于s+LMP组效果显著,提示LMP、HMP在局部急性炎症导致的促凝过程中发挥调节作用,可以抑制凝血反应的发展。对于BALF内凝血因子的变化,还有一种可能的解释是激素抑制了ALI时蛋白向肺泡内的集聚,甚至可以降低生理盐水干预的肺泡内蛋白的增高[16],提示多种凝血因子从毛细血管内向肺泡内渗透减少,从而限制了凝血酶的转化[7]。
对循环中TF的检测发现,烟雾吸入后TF显著升高,而给予HMP后,TF的水平进一步升高。在多种疾病应用糖皮质激素后的凝血检测中,也发现了TF升高的趋势[10];健康人给予LPS刺激后再给予糖皮质激素干预并不能降低TF的水平[7]。先前研究指出,糖皮质激素可以诱导单核细胞TF的产生,这是循环中TF的主要来源[17-18]。由于TF处于凝血级联反应的基础地位,是启动外源性凝血途径的关键因子,但是并非主要因素,整个凝血过程需要多种凝血因子作用,单纯TF的变化并不能反映整个凝血过程。本研究结果认为血管渗透性的降低会伴随着BALF中凝血功能紊乱的改善,也就是说,糖皮质激素可以降低肺泡内的促凝反应。
全身凝血检测提示烟雾吸入后抗凝因子AT Ⅲ及PC的显著降低及促凝因子F Ⅷ的消耗,FIB、TF及TAT-c的显著增高,由于抗凝因子及促凝因子相互拮抗,共同维持凝血的平衡,体现在总体凝血指标包括APTT、INR、PT在各组之间差异无统计学意义。既往研究发现,AT Ⅲ及APC不但具有抗凝活性,也是重要的抑制炎症反应的因子,曾应用危重症患者的治疗[19-20],虽然临床实验上并未取得很好的效果,但是反映了天然抗凝途径活性的维持在急性炎症条件下平衡机体凝血功能中的重要性。但是对于天然抗凝途径APC系统中的TM及EPCR的检测发现,烟雾吸入后血浆中上述两种物质显著升高。内皮细胞上TM可以结合凝血酶,激活PC为APC,通过失活F Ⅷ a和F Ⅴ a抑制凝血级联反应;内皮细胞蛋白C受体EPCR,结合PC并将PC呈递到凝血酶-TM复合物,可显著加强PC的活性[21]。这两种物质在循环中的升高体现了内皮细胞受损导致的天然抗凝途径因子的破坏,虽然总体上凝血是平衡的,但是如果刺激因素持续存在,有限的抗凝因子无法拮抗促凝途径,机体便进入促凝状态。
本次实验发现,与烟雾组相比,MP可以稳定体内促凝途径和抗凝途径,表现为F Ⅷ活性的回调,TAT-c的降低,FIB水平的改善,以及循环中抗凝血因子如AT Ⅲ、PC%的回调。既往对激素全身作用的研究发现其可以降低血浆FIB的水平约25%,这是激素在急性期反应的一个特点,而单独给予LPS可以显著升高血浆FIB、TAT-c的水平,给予LPS后再给予激素可降低上述两个指标的升高程度[7],这与本研究结果是一致的。同时,TM和EPCR在循环中的含量与烟雾组相比也显著降低了,体现了MP对内皮的保护作用,更有利于发挥APC系统的抗凝功能,维持总体凝血功能的稳定。在ARDS(肺源或非肺源)或者自身免疫疾病中应用糖皮质激素的研究表明激素可以促进上述疾病中抗凝因子PC活性的恢复,特别是其对ARDS中PC%的作用,可能是激素在ARDS中治疗的一个有效性的靶点[3],但是到底是PC的恢复促进了病情的改善还是PC的恢复只是病情改善的一个标志,目前还不得而知。
虽然在一系列呼吸系统疾病中证实激素的有效性,但是在吸入性肺损伤中,激素的应用仍然需要更多证据[22]。本研究可以为糖皮质激素对急性肺损伤的治疗提供一个合理解释,为临床应用探索理论基础。
| [1] | Albright JM, Davis CS, Bird MD, et al. The acute pulmonary inflammatory response to the graded severity of smoke inhalation injury[J]. Crit Care Med, 2012, 40(4): 1113-1121. DOI:10.1097/CCM.0b013e3182374a67 |
| [2] | Walker PF, Buehner MF, Wood LA, et al. Diagnosis and management of inhalation injury: an updated review[J]. Crit Care, 2015, 19: 351. DOI:10.1186/s13054-015-1077-4 |
| [3] | Seam N, Meduri GU, Wang HH, et al. Effects of methylprednisolone infusion on markers of inflammation, coagulation, and angiogenesis in early acute respiratory distress syndrome[J]. Crit Care Med, 2012, 40(2): 495-501. DOI:10.1097/CCM.0b013e318232da5e |
| [4] | Bastarache J, Ware L, Bernard G. The role of the coagulation cascade in the continuum of sepsis and acute lung injury and acute respiratory distress syndrome[J]. Semin Respir Crit Care Med, 2006, 27(4): 365-376. DOI:10.1055/s-2006-948290 |
| [5] | McClintock D, Zhuo HJ, Wickersham N, et al. Biomarkers of inflammation, coagulation and fibrinolysis predict mortality in acute lung injury[J]. Crit Care, 2008, 12(2): R41. DOI:10.1186/cc6846 |
| [6] | Johannesdottir SA, Horváth-Puhó E, Dekkers OM, et al. Use of glucocorticoids and risk of venous thromboembolism: a nationwide population-based case-control study[J]. JAMA Intern Med, 2013, 173(9): 743-752. DOI:10.1001/jamainternmed.2013.122 |
| [7] | Bartko J, Schoergenhofer C, Schwameis M, et al. Dexamethasone inhibits endotoxin-induced coagulopathy in human lungs[J]. J Thromb Haemost, 2016, 14(12): 2471-2477. DOI:10.1111/jth.13504 |
| [8] | 宋立成, 程浩, 奂剑波, 等. 模拟舰船火灾烟雾吸入致急性肺损伤大鼠模型的建立与评估[J]. 中国实验动物学报, 2018, 26(5): 631-638. DOI:10.3969/j.issn.1005-4847.2018.05.015 |
| [9] | Miller AC, Elamin EM, Suffredini AF. Inhaled anticoagulation regimens for the treatment of smoke inhalation-Associated acute lung injury: a systematic review[J]. Crit Care Med, 2014, 42(2): 413-419. DOI:10.1097/CCM.0b013e3182a645e5 |
| [10] | Thompson BT, Chambers RC, Liu KD. Acute respiratory distress syndrome[J]. N Engl J Med, 2017, 377(6): 562-572. DOI:10.1056/NEJMra1608077 |
| [11] | van Zaane B, Nur E, Squizzato A, et al. Systematic review on the effect of glucocorticoid use on procoagulant, anti-coagulant and fibrinolytic factors[J]. J Thromb Haemost, 2010, 8(11): 2483-2493. DOI:10.1111/j.1538-7836.2010.04034.x |
| [12] | Hoogerwerf JJ, de Vos AF, Levi M, et al. Activation of coagulation and inhibition of fibrinolysis in the human lung on bronchial instillation of lipoteichoic acid and lipopolysaccharide[J]. Crit Care Med, 2009, 37(2): 619-625. DOI:10.1097/CCM.0b013e31819584f9 |
| [13] | Ma L, Shaver C, Grove B, et al. Kinetics of lung tissue factor expression and procoagulant activity in bleomycin induced acute lung injury[J]. Clin Transl Med, 2015, 4(1): 22. DOI:10.1186/s40169-015-0063-4 |
| [14] | Bastarache JA, Wang L, Geiser T, et al. The alveolar epithelium can initiate the extrinsic coagulation cascade through expression of tissue factor[J]. Thorax, 2007, 62(7): 608-616. DOI:10.1136/thx.2006.063305 |
| [15] | Bastarache JA, Wang L, Wang ZM, et al. Intra-alveolar tissue factor pathway inhibitor is not sufficient to block tissue factor procoagulant activity[J]. Am J Physiol Lung Cell Mol Physiol, 2008, 294(5): L874-881. DOI:10.1152/ajplung.00372.2007 |
| [16] | Bartko J, Stiebellehner L, Derhaschnig U, et al. Dissociation between systemic and pulmonary anti-inflammatory effects of dexamethasone in humans[J]. Br J Clin Pharmacol, 2016, 81(5): 865-877. DOI:10.1111/bcp.12857 |
| [17] | Bottles KD, Morrissey JH. Dexamethasone enhances agonist induction of tissue factor in monocytes but not in endothelial cells[J]. Blood Coagul Fibrinolysis, 1993, 4(3): 405-414. DOI:10.1097/00001721-199306000-00002 |
| [18] | Reddy KV, Bhattacharjee G, Schabbauer G, et al. Dexamethasone enhances LPS induction of tissue factor expression in human monocytic cells by increasing tissue factor mRNA stability[J]. J Leukocyte Biol, 2004, 76(1): 145-151. DOI:10.1189/jlb.0204068 |
| [19] | Umemura Y, Yamakawa K, Hayakawa M, et al. Concomitant versus individual administration of antithrombin and thrombomodulin for sepsis-induced disseminated intravascular coagulation: a nationwide japanese registry study[J]. Clin Appl Thromb Hemost, 2018, 24(5): 734-740. DOI:10.1177/1076029618755948 |
| [20] | Healy LD, Puy C, Fernández JA, et al. Activated protein C inhibits neutrophil extracellular trap formation in vitro and activation in vivo[J]. J Biol Chem, 2017, 292(21): 8616-8629. DOI:10.1074/jbc.M116.768309 |
| [21] | Pepler L, Wu CL, Dwivedi DJ, et al. The impact of the endothelial protein C receptor on thrombin generation and clot lysis[J]. Thromb Res, 2017, 152: 30-37. DOI:10.1016/j.thromres.2017.02.002 |
| [22] | Greenhalgh DG. Steroids in the treatment of smoke inhalation injury[J]. J Burn Care Res, 2009, 30(1): 165-169. DOI:10.1097/BCR.0b013e3181923c08 |
2019, Vol. 28



