先天性膈疝(congenital diaphragmatic hernia, CDH)是妊娠期间后外侧膈肌缺损导致腹腔脏器疝入胸腔,同时伴有肺泡、肺血管发育不良和肺动脉高压,引起肺发育不良及随后肺动脉压力持续增高,并发顽固性低氧血症和/高碳酸血症,病死率极高[1]。传统的机械通气无法维持满意的氧合和(或)通气时,有条件时,推荐使用体外膜肺氧合(extracorporeal membrane oxygenation,ECMO)。ECMO是指将患儿的静脉血引流至体外,经膜式氧合器氧合后再用血泵将血液灌人体内,使心肺得到充分休息,有效地改善低氧血症,同时避免了长期高氧浓度吸入所致的氧中毒,避免了机械通气所致的气道损伤,为心肺功能的恢复赢得时间[2]。现报道1例在ECMO应用下由浙江大学医学院附属妇产科医院转运至浙江大学医学院附属儿童医院,并成功救治的重症先天性膈疝患儿,笔者就ECMO应用下两院间的安全转运和围术期的救治护理要点进行回顾分析,现将体会报道如下。
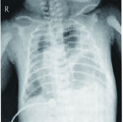
1 资料与方法患儿,男,胎龄39周,体质量3.75 kg,产前诊断左侧先天性膈疝。本例患儿在妇产科医院出生,5 min Apgar评分7分,之后气促,发绀不断加重,予以气管插管,常频通气6 h后改高频通气,12 h后出现右侧气胸,缺氧加重,见图 1,置胸腔引流管排气后,状况仍不见改善,14 h后紧急呼叫本院ECMO团队会诊。患儿采取高频通气模式,频率9Hz,氧浓度100%,在多巴胺10ug/(kg•min)、多巴酚丁胺10 μg/(kg•min)、肾上腺素0.4 μg/(kg•min)、米力农0.5 μg/(kg•min)支持下血压45/32 mmHg,心率173次/min,查血气pH值7.334, PaO2 37.1mmHg,PaCO2 34.5 mmHg,SaO2 74.2%,乳酸2.5 mmol/L,PaO2/FiO2为37。明确诊断:CDH并发严重缺氧性呼吸衰竭。排除颅内出血、心内严重畸形,符合ECMO适应证,于出生18 h,在妇产科医院建立静脉一动脉ECMO(VA-ECMO),切开右颈内静脉及右颈总动脉置入插管(美国美敦力,Fr12,Fr10),膜肺选用米道斯800型套包,离心泵选用MAQUET RF-32,ECMO流量维持在0.25 L/min,之后低氧血症立即改善。
|
| 图 1 左侧先天性膈疝伴右侧气胸,高频通气中 |
|
|
ECMO治疗20 h内环境稳定后,着手两院之间的转运,开放绿色通道,转运过程耗时2 h完成,转运中出现血压波动,予以分次输入少量晶体液体得以改善,SpO2保持在95%左右,未发生其他严重意外。到达本院心脏外科监护室(CICU)2 h后再次转运至手术室,在ECMO辅助下经腹行膈肌修补术,术中见胃、小肠、结肠、脾疝入,手术结束后再转回CICU继续ECMO辅助治疗。ECMO运行76 h后撤离,撤离后出现肺动脉高压,表现为上下肢差异发绀,予以应用瑞莫杜林降低肺动脉压力,肾上腺素提高体循环收缩压至65 mmHg以上,差异发绀减轻,约2周后差异性发绀消失。ECMO撤离5 d后撤离呼吸机,改为温湿化面罩吸氧10 d,患儿呼吸平稳,SaO2维持在90%,血气分析提示PO2和PCO2维持在正常水平。本例患儿ECMO转运下肺CT平扫结果:左上肺发育不良,左下肺缺如。经手术治疗和护理后患儿顺利出院,共住院44 d,其中ICU 20 d,ECMO运行76 h。出院后门诊随访15个月,患儿生长发育良好,呼吸平稳,X线胸片示左肺体积略小,膨胀良好。
2 讨论20世纪90年代有文献报道使用ECMO辅助治疗重症CDH[3],近年来国内也有报道ECMO辅助治疗重症CDH[4-5],但是在应用ECMO辅助治疗下实行两院之间的转运和救治护理要点报道较少。本例患儿在妇产科医院建立ECMO辅助治疗20 h后,内环境逐步趋于稳定,为进一步治疗,经多学科团队的会诊后决定在ECMO应用下实行两医院之间的转运。虽然该患儿转运前内环境基本稳定,但由于该患儿先天性膈疝的畸形未矫正,仍存在心肺功能不全,有文献报道[6],ECMO转运中不良事件发生率为4.2%,其中呼吸、循环系统不良事件高达3.54%。如转运途中出现意外则可能会导致该患儿死亡的风险。因此,即刻启动本院专业的转运团队,转运团队由ECMO专家任组长,组员由具有转运资质的外科医生、监护医生、麻醉医生、监护护士和转运车司机组成,在转运前对团队中的成员进行培训,内容包括转运环境和设备管理、转运对患儿生理的影响、病情监测、气道管理和复苏、常见问题的处理等[7]。对转运中ECMO的管理、并发症预防及急救处理等进行培训和演练。同时准备好转运途中所用的物资及设备,并制订操作性强的转运流程和应急预案,如停电、停气、停氧的应急预案和各类管路意外滑脱的应急处理流程,团队成员明确分工,各司其职。
本例患儿在人员、物资等充分准备后实施转运,转运途中采取5导的心电和ST段监测,持续监测生命体征、SaO2、动脉血压、呼吸机的各项参数、尿量和尿色等,并按需清理呼吸道分泌物。转运途中,观察氧合情况,保持SaO2 90%以上,SvO2 60%以上。配合ECMO医生密切观察运行情况,如监测ECMO离心泵、变温水箱及微量泵的运转,监测ECMO静脉管路判定静脉引流,负压应 < 30 mmHg, 观察氧合器出入口压力,避免灌注不畅,关注氧气余量[8]。并妥善固定好气管插管、ECMO管路及各路静脉导管。
ECMO患儿的转运是一项高风险的工作,必须做好一切准备,包括各种紧急时间打声的抢救预案,避免不良事件发生。本例患儿在转运30min后出现动脉血压波动,最低38/25 mmHg, 心率180次/min,静脉回流障碍,导致多次ECMO流量间歇性停顿,配合ECMO医生从管路系统中以少量分次输入生理盐水后ABP维持在62/40 mmHg,SaO2维持在95%左右。本例患儿转运过程耗时2 h,虽然转运时间较短,但是途中救护车的车带电源突然无电,幸亏离心泵主机自带蓄电池电源,且转运路线大约10 km,有警车开道,比较快速到达医院,其他未发生严重的意外情况。
患儿ECMO转运到院后,经过心胸外科医生会诊,考虑该患儿病情危重,需尽早手术纠正畸形才能维持心肺功能的稳定。因此根据医嘱尽快完善术前准备,在ECMO辅助下紧急行经腹膈肌修补术, 术后转CICU继续ECMO治疗和监护。在ECMO运行期间密切监测凝血功能,每2~3 h监测活化凝血时间(ACT),每天1~2次的凝血谱测定,使ACT维持在180~200 s,血小板在5×109/L以上,保持ECMO管路通畅同时无出血倾向[9]。同时严密监测生命体征,维持血液动力学的稳定,尤其需持续动态监测ABP的变化,及时发现肺动脉高压危象。本例患儿ECMO运行76 h后各项生命体征稳定,血气分析各项指标均在正常范围,经多学科医生会诊评估后考虑撤离ECMO辅助治疗,撤离过程顺利,无出血发生。但在撤离ECMO后1 h左右患儿出现肺动脉高压,予以静脉应用瑞莫杜林等处理后好转。ECMO撤离5 d后撤离呼吸机,改为温湿化面罩吸氧,血气分析各指标均维持在正常水平。
| [1] | 张金哲, 杨啟政, 刘贵麟. 中华小儿外科学[M]. 郑州: 郑州大学出版社, 2006. |
| [2] | Paden ML, Conrad SA, Rycus PT, et al. Extracorporeal life support organization registry report 2012[J]. ASAIO J, 2013, 59(3): 202-210. DOI:10.1097/mat.0b013e3182904a52 |
| [3] | Connors RH, Tracy T Jr, Bailey PV, et al. Congenital diaphragmatic hernia repair on ECMO[J]. Journal of Pediatric Surgery, 1990, 25(10): 1043-1047. DOI:10.1016/0022-3468(90)90215-u |
| [4] | 林茹, 熊启星, 俞建根, 等. 体外膜肺氧合下先天性膈疝转运与外科治疗一例并文献复习[J]. 中华小儿外科杂志, 2016, 37(6): 411-416. DOI:10.3760/cma.j.issn.0253-3006.2016.06.003 |
| [5] | 刘颖悦, 黄柳明, 洪小扬, 等. 重症先天性膈疝术后体外膜肺氧合辅助治疗一例[J]. 中华小儿外科杂志, 2016, 37(6): 473-475. DOI:10.3760/cma.j.issn.0253-3006.2016.06.015 |
| [6] | Lindén V, Palmér K, Reinhard J, et al. Inter-hospital transportation of patients with severe acute respiratory failure on extracorporeal membrane oxygenation – national and international experience[J]. Intensive Care Med, 2001, 27(10): 1643-1648. DOI:10.1007/s001340101060 |
| [7] | 潘红, 黄琴红, 蔡英华, 等. 13例体外膜肺氧合治疗危重患者院内转运的护理[J]. 中华护理杂志, 2017, 52(5): 561-563. DOI:10.3761/j.issn.0254-1769.2017.05.011 |
| [8] | 余佳, 张晨美, 林茹, 等. 体外膜肺在儿童重度急性呼吸窘迫综合征中的应用研究[J]. 中华急诊医学杂志, 2017, 26(10): 1130-1133. DOI:10.3760/cma.j.issn.1671-0282.2017.10.006 |
| [9] | 史婧奕, 崔云, 张育才. 儿童体外膜肺支持下的心肺复苏现状与挑战[J]. 中华急诊医学杂志, 2018(6): 584-587. DOI:10.3760/cma.j.issn.1671-0282.2018.06.002 |
2019, Vol. 28



