纵隔气肿指在纵隔结构内存在气体,它可能与钝性创伤,颈部或皮下肺气肿的扩展和食管损伤有关。1937年Hamman[1]首次报道了自发性纵隔气肿(spontaneous pneumomediastinum, SPM),糖尿病酮症酸中毒(diabetic ketoacidosis, DKA)合并自发性纵隔气肿较罕见,我们报告一例18岁的女性患者,并对相关文献进行广泛的系统回顾,旨在通过分析总结其临床表现,诊断和预后等特征,以提高临床医生的该病的诊断意识。
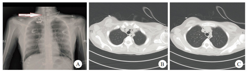
1 资料与方法 1.1 一般资料患者女性,18岁,主因“腹部不适10 d,呕吐5 d”来诊。既往体健,否认糖尿病史。入院查体:体温36.0℃,脉搏72次/min,呼吸18次/min,血压101/60 mmHg。双肺呼吸音清,未闻及干湿啰音,无胸膜摩擦音。心律齐,各瓣膜区未闻及杂音,无心包摩擦音。腹软,无压痛、反跳痛、肌紧张。双下肢无水肿。辅助检查:血糖29.8 mmol/L,尿糖4+,尿酮体4+。血气分析示:酸碱度7.15,二氧化碳分压15.0(mmHg),氧分压116.0(mmHg);血常规:白细胞14.51×109/L, 红细胞5.98×1012/L,血红蛋白183.0 g/L,红细胞压积0.5,血小板374.0×109/L;血肝功、肾功、电解质均正常;患者入院后仍有间断呕吐,诉有胸痛,立即予以胸片检查,胸片(图 1A):双肺纹理增多,纵隔气肿待排;查胸部CT(图B, C):颈部、纵隔积气。
|
| 图 一 颈部可见低密度影(箭头处) |
|
|
考虑诊断:①糖尿病性酮症酸中毒、②1型糖尿病?③纵隔气肿。积极补液,予小剂量胰岛素控制血糖,纠正电解质及酸碱平衡失调。患者糖尿病酮症酸中毒纠正,患者糖化血红蛋白A1c:12(%)↑,完善相关抗体检测考虑1型糖尿病可能性大。患者纵隔气肿,入院后予以查找病因,行食管造影:食管造影未见异常,胸部CT未见气胸,患者无哮喘病史,血气无呼吸衰竭,考虑与患者糖尿病酮症酸中毒引起恶心、呕吐症状,致胸腔压力改变肺泡破裂相关,入院1周后复查胸部CT纵隔气肿吸收,患者血糖控制佳出院。
1.2 方法使用Pubmed,关键词为mediastinal emphysema or emphysema)AND diabetic ketoacidosis,检索1995-2018的上述患者,除外食管破裂,哮喘等继发性原因,筛选SPM合并DKA的患者,收集了患者年龄、性别、糖尿病分型、临床表现、影像学及预后等资料(表 1)。
| 第一作者 | 年龄(岁)/性别 | 糖尿病类型 | 症状 | Hamman' s征 | 影像学 | 治疗 | 预后 |
| Pauw RG | 31/F | 1-DM | 呕吐 | 有 | 皮下气肿,气胸纵隔气肿,硬膜外积气 | 胰岛素,补液消酮,保守治疗 | 痊愈 |
| William B | 23/M | 1-DM | 呕吐,颈部疼痛 | 纵隔气肿,皮下气肿,硬膜外积气 | 胰岛素,补液消酮,保守治疗 | 痊愈 | |
| Payam Pooyan | 20/M | 1-DM | 呕吐,胸痛 | 有 | 纵隔气肿,硬膜外积气 | 胰岛素,补液消酮,保守治疗 | 痊愈 |
| Flores López E | 21/M | 1-DM | 呕吐 | 皮下气肿,纵隔气肿 | 胰岛素,补液消酮,保守治疗 | 痊愈 | |
| Sébastien Drolet | 18/M | 1-DM | 呕吐,胸痛,呼吸困难 | 有 | 皮下气肿,纵隔气肿 | 胰岛素,补液消酮,保守治疗 | 痊愈 |
| Jeffrey M | 23/M | 1-DM | 呕吐,胸痛 | 皮下气肿,纵隔气肿 | 胰岛素,补液消酮,保守治疗 | 痊愈 | |
| Leonie Speksnijde | 15/F | 孕妇 | 呕吐,胸痛 | 纵隔气肿 | 胰岛素,补液消酮,气管插管,引产 | 痊愈 | |
| Hamamoto H | 21/M | 呕吐,腹痛 | 纵隔气肿 | 胰岛素,补液消酮,保守治疗 | 痊愈 | ||
| Ersoy B | 11/F | 1-DM | 呕吐,嗜睡,发热,胸痛 | 有 | 纵隔气肿,皮下气肿 | 胰岛素,补液消酮,保守治疗 | 痊愈 |
| Weathers LS | 14/M | 呕吐,呼吸困难 | 有 | 纵隔气肿 | 痊愈 | ||
| Lin SY | 18/M | 2-DM | 呕吐,呼吸困难,胸痛 | 纵隔气肿 | 胰岛素,补液消酮 | 痊愈 | |
| Meeking DR | 24/M | 呕吐,胸痛 | 纵隔气肿,皮下气肿 | 胰岛素,补液消酮,保守治疗 | 痊愈 | ||
| Monjardino J | 40/M | 1-DM | 呕吐 | 皮下气肿,纵隔气肿 | 痊愈 | ||
| Ba-Ssalamah A | 22/F | 1-DM | 呕吐,意识障碍 | 纵隔气肿 | 痊愈 | ||
| Ahmed M | 19/F | 1-DM | 呕吐,胸痛 | 纵隔气肿,皮下气肿,硬膜下气肿 | 痊愈 | ||
| O' Sullivan AJ | 22/M | 呕吐,胸痛 | 纵隔气肿 | ||||
| Katreddy VM | 30/M | 1-DM | 胸痛,声音嘶哑 | 纵隔气肿,气胸 | |||
| Meron G | 27/M | 纵隔气肿 | |||||
| 尚健 | 21/F | 呕吐 | 纵隔气肿 | 气管插管,纠正休克,补液,CRRT | 死亡 | ||
| 骆红亮 | 14/M | 1-DM | 胸痛 | 纵隔气肿 | 气管插管,胰岛素,补液消酮 | 痊愈 | |
| 骆红亮 | 17/M | 1-DM | 胸痛 | 纵隔气肿,气胸,皮下积气 | 胰岛素,补液消酮,保守治疗 | 痊愈 | |
| 卓凤婷 | 37/M | 2-DM | 呕吐,胸闷 | 纵隔气肿 | 胰岛素,补液消酮,保守治疗 | 痊愈 | |
| 夏尔健 | 20/F | 1-DM | 呕吐,意识障碍 | 纵隔气肿,皮下积气 | 胰岛素,补液消酮,保守治疗 | 痊愈 | |
| 龚维坤 | 42/M | 呕吐,气促 | 纵隔气肿 | 胰岛素,补液消酮,保守治疗 | 痊愈 | ||
| 邢迁西 | 25/M | 2-DM | 呕吐 | 纵隔气肿,,下气肿 | 胰岛素,补液消酮,保守治疗 | 痊愈 |
共收集25例患者,男女比例为3:1,平均年龄为23岁,25例患者中1型糖尿病患者14例,2型糖尿病患者3例,8例患者未分型; 绝大多数患者有呕吐的症状,其次有胸痛,纵隔气肿的标志体征Hamman' s征并不是每个患者均有;影像学检查可以明确诊断,有意思的是,除了纵隔气肿,其中4例患者还并发硬膜外气肿,此病鲜有报道。治疗上多以保守治疗为主,1例患者因出现MODS死亡,绝大多数患者预后较好,痊愈出院(表 2)。
| 变量 | 例数(n,%) |
| 性别 | |
| 男性 | 18(72) |
| 女性 | 7(28) |
| 平均年龄(岁) | 23(11~42) |
| 糖尿病分型 | |
| 1型糖尿病 | 14(56) |
| 2型糖尿病 | 3(12) |
| 未分型 | 8(32) |
| 症状 | |
| 呕吐 | 22(88) |
| 胸痛 | 14(56) |
| 呼吸困难 | 3(12) |
| 意识障碍 | 2(8) |
| 腹痛 | 1(4) |
| 声音嘶哑 | 1(4) |
| 胸闷 | 1(4) |
| 呼吸急促 | 1(4) |
| 发热 | 1(4) |
| 颈部疼痛 | 1(4) |
| Hamman' s征 | 5(20) |
| 影像学 | |
| 纵隔气肿 | 25(100) |
| 皮下气肿 | 12(48) |
| 气胸 | 3(12) |
| 硬膜外积气 | 4(16) |
| 治疗 | |
| 保守治疗 | 16(64) |
| 气管插管 | 3(12) |
| 排气治疗 | 1(4) |
| 预后 | |
| 痊愈 | 21(84) |
| 死亡 | 1(4) |
自发性纵隔气肿发病率低,其特征是由于肺泡过度扩张和气压伤导致的纵隔内存在游离气体。这可能使空气渗入肺间质导致肺泡破裂,导致气胸,空气也可进入颈部皮下软组织和心包,分别为导致皮下积气和心包积气。
一些会导致胸腔内压波动的情况如呕吐、分娩、癫痫发作、过度喊叫、咳嗽、哮喘急性发作和打喷嚏等可能造成SPM。SPM并发DKA在医学文献中鲜有报道,确切的机制目前还不是很清楚,但认为DKA患者出现Kussmaul呼吸可导致肺泡内压力明显升高20~30 mm Hg,并可能导致肺泡破裂,而且呕吐可通过增加胸内压而导致肺泡破裂。随后空气从肺泡间隙漏入间质,然后沿支气管血管鞘进入纵隔,从而导致皮下气肿[12]。二是认为DKA患者胰岛素缺乏导致负氮平衡,患者糖代谢障碍,蛋白质过度分解,肺泡壁及肺泡间质中的蛋白及弹性纤维分解、韧性下降导致耐受的压力减低,更易导致肺泡破裂,产生纵隔气肿。
呕吐、胸痛、呼吸困难在DKA的患者中是较常见的主诉,本例患者先出现呕吐,后出现呼吸困难,及时的胸部影像学检查发现纵隔气肿,在临床工作中,对于此类患者今后的诊治提供参考。虽然本例的患者对保守治疗反应良好,但可能需要进行经口气管插管和机械通气治疗,国内的1例报道患者进行了切开排气但最终死亡。但目前认为在DKA患者中的纵隔气肿属于良性病程,经卧床休息, 给予针对DKA的支持治疗、止痛、吸氧等一般处理,气体能自行吸收,预后良好。
硬膜外气肿是指硬膜外存在空气,文献报道在外伤、剧烈运动、腰椎穿刺和硬膜外镇痛后此并发症。硬膜外积气在DKA相关的SPM中是非常罕见的。具体机制还不明确,需要今后进一步研究整理。
总之,DKA的临床表现多样,合并自发性纵隔气肿少见,容易误诊漏诊,对于出现呕吐后胸痛,颈部疼痛,胸痛的患者,临床医生应该提高对本病的认识,及早发现及时处理。此病多为自限性,预后较好。
| [1] | Alzugaray AE, Borre HA, Radici JV, et al. Spontaneous mediastinal emphysema (Hamman syndrome)[J]. Rev Asoc Med Argent, 1961, 75: 681-683. |
| [2] | Weathers LS, Brooks WG, DeClue T. Spontaneous pneumomediastinum in a patient with diabetic ketoacidosis[J]. South Med J, 1995, 88(4): 483-484. DOI:10.1097/00007611-199504000-00022 |
| [3] | Meeking DR, Krentz AJ. Pneumomediastinum complicating diabetic ketoacidosis[J]. Diabet Med, 1996, 13(6): 587-588. DOI:10.1002/(SICI)1096-9136(199606)13:6<587::AID-DIA34>3.0.CO;2-H |
| [4] | O' Sullivan AJ, Casey JH. Spontaneous pneumomediastinum and diabetic ketoacidosis[J]. Med J Aust, 1997, 166(5): 245-246. DOI:10.5694/j.1326-5377.1997.tb140104.x |
| [5] | Ba-Ssalamah A, Schima W, Umek W, et al. Spontaneous pneumomediastinum[J]. Eur Radiol, 1999, 9(4): 724-727. DOI:10.1007/s003300050742 |
| [6] | Monjardino J, Smith D, Tisdall M, et al. Hyperpnoea and emesis in a diabetic man[J]. J R Soc Med, 2002, 95(10): 502-503. DOI:10.1177/014107680209501007 |
| [7] | Pooyan P, Puruckherr M, Summers JA, et al. Pneumomediastinum, pneumopericardium, and epidural pneumatosis in DKA[J]. J Diab Comp, 2004, 18(4): 242-247. DOI:10.1016/s1056-8727(03)00059-x |
| [8] | Levsky JM, Feuer BH, di Vito J Jr. Pneumomediastinum in a patient with diabetic ketoacidosis[J]. J Emerg Med, 2004, 26(2): 233-235. DOI:10.1016/j.jemermed.2003.09.006 |
| [9] | Meron G, Kettenbach J, Kurkciyan I. Spontaneous pneumomediastinum in a patient with diabetic ketoacidosis[J]. Wien Klin Wochenschr, 2005, 117(3): 82. DOI:10.1007/s00508-004-0308-5 |
| [10] | Drolet S., Gagné JP, Langis P. Spontaneous pneumorrhachis associated with pneumomediastinum in a patient with diabetic ketoacidosis: an exceptional manifestation of a benign disease[J]. Can J Surg J Can De Chir, 2007, 50(3): 225-226. |
| [11] | Ersoy B, Polat M, Coskun S. Diabetic ketoacidosis presenting with pneumomediastinum[J]. Pediat Emerg Care, 2007, 23(1): 67. DOI:10.1097/01.pec.0000248684.87024.da |
| [12] | Pauw RG, VanderWerf TS, Dullaart RP, et al. Mediastinal emphysema complicating diabetic ketoacidosis: plea for conservative diagnostic approach[J]. Neth J Med, 2007, 65(10): 368-371. |
| [13] | Lin SY, Chang CT, Chen CC, et al. Diabetic ketoacidosis complicated by pneumomediastinum and mallory-weiss tear in a young boy with new onset type 2 diabetes[J]. South Med J, 2008, 101(7): 769-770. DOI:10.1097/smj.0b013e318178da02 |
| [14] | Speksnijder L, Duvekot JJ, Duschek EJJ, et al. Spontaneous pneumomediastinum: a rare presentation of diabetic ketoacidosis in a pregnant woman[J]. Obstet Med, 2010, 3(4): 158-160. DOI:10.1258/om.2010.100028 |
| [15] | 尚健, 姚合斌, 张彦彬. 糖尿病酮症酸中毒并发纵隔气肿一例报告[J]. 天津医药, 2011, 39(8): 691. DOI:10.3969/j.issn.0253-9896.2011.08.007 |
| [16] | 邢西迁, 王晋, 杨志坚, 等. 糖尿病酮症酸中毒并发纵隔气肿一例[J]. 中华结核和呼吸杂志, 2011, 34(11): 859-860. DOI:10.3760/cma.j.issn.1001-0939.2011.11.021 |
| [17] | Ojima H, Fukai Y, Soda M, et al. Asymptomatic spontaneous cervical and mediastinal emphysema[J]. BMJ Case Rep, 2012: pⅡ: bcr2012006248. DOI: 10.1136/bcr-2012-006248. |
2019, Vol. 28



