有机氟无色无味,吸入有机氟后,随着时间的逐渐延长可出现明显的中毒表现,而严重时可出现呼吸窘迫、重度的ARDS,目前针对有机氟中毒的主要治疗是对症治疗和激素,而症状严重的中毒患者,即使治疗积极正确,仍然有较高的病死率。现将急性有机氟中毒出现重度ARDS经ECMO救治的过程汇报总结如下。
1 资料与方法 1.1 一般资料该患者是2018年6月收治的一例患者,男性,48岁。检测气体泄漏时吸入高浓度有机氟,接触气体泄漏环境约20 min。无基础疾病,无心肺疾病史,平时身体健康。
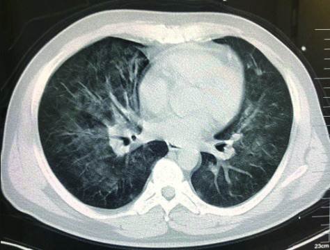
1.2 临床表现和检查患者初期有咳嗽症状,但未在意,患者回家24 h后咳嗽症状加重,伴胸闷气喘,全身大汗淋漓,家属立即将其送至本院急诊,为进一步诊治拟“有机氟中毒”收住入院。入院时体检:神志清楚,T:36.5℃,R: 57次/min,BP: 146/71 mmHg,胸廓对称无畸形,呼吸急促,听诊双肺呼吸音清晰,可闻及大量湿性啰音,心率112次/min,心律齐,心音正常,各瓣膜听诊区未闻及病理性杂音及心包摩擦音,四肢关节正常,双下肢无水肿,深浅生理反射正常,病理反射阴性,脑膜刺激征阴性。辅助检查:白细胞计数10.45×109/L,中性粒细胞91.9%;C-反应蛋白14.81 mg/L, 无创机械通气支持下血气分析pH7.28,PCO2 50 mmHg, PO2 57 mmHg, Lac 3.0 mmol/L(FiO2 50%),为Ⅱ型呼吸衰竭,给予无创呼吸机辅助呼吸、激素冲击、解痉平喘等抢救治疗。急诊胸部CT检查提示:两肺散在斑片状模糊影,密度不均,边界不清(图 1),进ICU床边胸片提示:两肺散在斑片状模糊影(图 2)。根据GBZ5—2016《职业性氟及其无机化合物中毒的诊断》的诊断标准,该患者诊断为职业性急性重度有机氟中毒。
|
| 图 1 3月10日胸部CT |
|
|
|
| 图 2 3月10日胸部X线 |
|
|
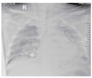
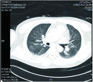
该患者入院后因氧合不能维持、呼吸窘迫直接从急诊收治ICU,大剂量激素冲击及气管插管,呼吸机SIMV+PS模式支持治疗,氧合指数改善不明显,及时行俯卧位通气,但氧合指数仍然小于100,PAO2 38 mmHg, SpO2 78%左右,考虑患者病情危重,且血流动力学不稳,血管活性药剂量大,当天下午行V-V模式ECMO治疗(右侧颈静脉-右侧股静脉),血流速度3.5 L/min,氧流量3.5 L/min,氧体积分数50%,行保护性机械通气,通气模式是压力控制(PC 15 cmH2O,PEEP 8 cmH2O,FiO2 50%,f 12次/min), 镇痛镇静,RASS评分在-4~-5分,必要时阿曲库铵静脉推注行肌肉松弛治疗。其他治疗:甲强龙500 mg治疗3 d,然后逐渐减量;乙酰半胱氨酸抗氧化、化痰、CRRT等支持治疗。ECMO治疗后生命体征明显改善,治疗第2天,血管活性药逐渐减量。治疗3 d后,循环稳定,停用血管活性药,床旁胸片提示:两肺弥漫渗出性改变,较前明显好转。患者症状好转,调节ECMO参数:血流速3 L/min,气体流速3 L/min,氧体积分数35%,控制SpO2 95%~100%之间。在ECMO治疗期间根据血流动力学和血气分析结果不断调整ECMO参数,在ECMO治疗5 d后,脱离ECMO,通气模式改为SIMV+PSV并过渡到PSV(PS 16 cmH2O,PEEP 5 cmH2O,FiO2 30%),氧合良好,在脱离ECMO 2 d后停呼吸机,停机1 d后拔除气管插管。行胸部CT检查示:两肺散在炎性病变,双侧胸膜腔积液(图 3),床旁胸片提示两肺炎性病变(图 4),两肺弥漫性渗出明显改善。后经1周治疗,查胸部CT示:右肺中下叶及左肺少许慢性炎性改变(图 5),病情稳定转至呼吸科病房。
|
| 图 3 3月16日胸部CT |
|
|
|
| 图 4 3月19日胸部X线 |
|
|
|
| 图 5 3月26日胸部CT |
|
|
有机氟气体中毒多见于职业伤害,因其无色无味,不易察觉,早期症状不典型,常隐匿起病,经呼吸道吸入后可引起肺弥漫性渗出,至急性呼吸窘迫综合征(acute respiratory distress syndrome, ARDS)[1]。患者在化工厂检查气体泄漏时,误吸入有机氟气体,当时患者出现刺激性的咳嗽,无其他不适,未引起重视,患者回家后,咳嗽症状加重,伴胸闷气喘,全身大汗淋漓,家属才将其送至医院。有机氟吸人后1 h,开始在肺泡聚集。引起中性粒细胞活化,后经脱颗粒作用释放中性粒细胞弹性蛋白酶(NE)和基质金属蛋白酶(MMP)破坏肺泡上皮、血管内皮和肺间质结构,而白蛋白等可通过被破坏的细胞间隙进入肺间质和肺泡腔,很快引起两肺弥漫性渗出,导致氧合障碍[2-3]。
所以有机氟中毒导致的ARDS往往是重症ARDS,表现为严重低氧和肺顺应性降低[4]。急性有机氟中毒目前尚无特效解毒剂,急救措施主要是及时采用足量的糖皮质激素进行抗炎、抗纤维化治疗[5]。糖皮质激素能抑制有机氟引起的肺部渗出及炎性反应,减低毛细血管通透性从而改善气体交换[6-7]。患者入住ICU后立即气管插管呼吸机辅助通气,充分镇静镇痛,并给予甲基强的松龙500 mg静脉使用,但效果不佳,呼吸急促,血氧饱和度越来越低,给予高PEEP效果不佳,血氧饱和度维持在80%~85%左右,心率快,140次/min左右,立即改俯卧位通气,希望通过俯卧位通气改善氧合状况,俯卧位通气持续8 h,氧饱和度未有明显改善。根据ARDS治疗六步法,患者在经小潮气量高PEEP机械通气、肺复张、俯卧位通气及激素等治疗无效的情况下需及时行ECMO治疗。患者在入ICU的24 h内果断使用ECMO治疗。体外膜肺氧合(ECMO)是一种体外生命支持模式,血液通过体外膜肺氧合后返回患者体内增加供氧,并通过驱动泵起到心脏辅助的作用[8]。由潜在可逆因素引起的ARDS已成为成人ECMO治疗的最常见适应证[9],重度ARDS的机械通气容易导致呼吸机相关肺损伤、氧化应激和进一步的肺损伤。这类患者使用ECMO可以通过更多的保护性通气设置让肺得到休息[10]。ECMO呼吸支持与机械通气相比,优势在于:①ECMO可进行充分氧合和清除二氧化碳,可降低呼吸机参数,使平台压不超过30 cmH2O、呼气末正压控制在5~15 cmH2O、潮气量控制在4~6 mL/kg,从而有效避免机械通气造成的呼吸机相关性损伤;②ECMO在降低呼吸机参数同时可减少镇静药物的应用,有利于患者的自主咳嗽反射及胃肠道功能的恢复;③ECMO减少相关肺损伤同时,减少了细胞因子及炎性介质的释放,从而减少全身炎症反应所导致的多脏器损害[11]。ECMO给肺有了充分恢复的时间[12]。具有机械通气无法比拟的优势[13-15]。体外气体交换是较早的技术,但由于设备和技术因素没有得到普遍使用,近几年来受益于技术改进,ECMO得到了广泛应用[16-18]。
本例患者中毒后迅速进展为严重的ARDS,先后采用机械通气、肺复张、俯卧位及激素治疗效果不佳,后经ECMO体外支持,最终成功脱离呼吸机,病情完全康复。ECMO临床应用已较为普遍,对于呼吸循环衰竭的救治已较为成熟,但将ECMO应用于急性中毒案例不多,鉴于ECMO可提高中毒患者的生存率,可作为今后急性中毒的高效救治方法。
| [1] | 曹隽, 范晓理, 黄伟, 等. 工业有机氟气体中毒致心肌损伤三例分析[J]. 中华急诊医学杂志, 2017, 26(5). DOI:10.3760/cma.j.issn.1671-0282.2017.05.020 |
| [2] | Meng G, Zhao J, Wang HM, et al. Cell injuries of the blood-air barrier in acute lung injury caused by perfluoroisobutylene exposure[J]. J Occup Health, 2010, 52(1): 48-57. DOI:10.1539/joh.l9047 |
| [3] | Xu X, Jackson PL, Tanner S, et al. A self-propagating matrix metalloprotease-9 (MMP-9) dependent cycle of chronic neutrophilic inflammation[J]. Plos One, 2011, 6(1): e15781. DOI:10.1371/journal.pone.0015781 |
| [4] | Demling RH. Current concepts on the adult respiratory distress syndrome[J]. Cire Shoek, 1990, 30(4): 297. |
| [5] | 柳月珍, 何爱文, 陈寿权, 等. 乌司他丁联合甲基强的松龙治疗急性吸人性有机氟中毒疗效观察[J]. 中华急诊医学杂志, 2014, 23(5): 512-515. DOI:10.3760/cmaj.issn.1671-0282.2014.05.009 |
| [6] | 王慎原. 抢救急性有机氟中毒成人呼吸窘迫综合征7例[J]. 中华劳动卫生职业病杂志, 1993, 11(2): 114-116. |
| [7] | Thompson BT. Corticosterods for ARDS[J]. Minerva Anestesiol, 2010, 76(6): 441-447. |
| [8] | Hung M, Vuylsteke A, Valchanov K. Extracorporeal membrane oxygenation: coming to an ICU near you[J]. J Intensive Care Soc, 2012, 13(1): 31-38. DOI:10.1177/175114371201300110 |
| [9] | Ventetuolo CE, Muratore CS. Extracorporeal life support in critically ill adults[J]. Am J Respir Crit Care Med, 2014, 190(5): 497-508. DOI:10.1164/rccm.201404-0736ci |
| [10] | Schmidt M, Stewart C, Bailey M, et al. Mechanical ventilation management during extracorporeal membrane oxygenation for acute respiratory distress syndrome[J]. Crit Care Med, 2015, 43(3): 654-664. DOI:10.1097/ccm.0000000000000753 |
| [11] | Checkley W. Extracorporeal membrane oxygenation as a first-line treatment strategy for ARDS[J]. JAMA, 2011, 306(15): 1703. DOI:10.1001/jama.2011.1504 |
| [12] | Sud S, Sud M, Friedrich JO, et al. High frequency oscillation in patients with acute lung injury and acute respiratory distress syndrome (ARDS): systematic review and meta-analysis[J]. BMJ, 2010, 340: c2327. DOI:10.1136/bmj.c2327 |
| [13] | Putensen C, Theuerkauf N, Zinserling J, et al. Meta-analysis: ventilation strategies and outcomes of the acute respiratory distress syndrome and acute lung injury[J]. Ann Intern Med, 2009, 151(8): 566. DOI:10.7326/0003-4819-151-8-200910200-00011 |
| [14] | Raoof S, Goulet K, Esan A, et al. Severe hypoxemic respiratory failure[J]. Chest, 2010, 137(6): 1437-1448. DOI:10.1378/chest.09-2416 |
| [15] | Terragni P, Faggiano C, Ranieri VM. Extracorporeal membrane oxygenation in adult patients with acute respiratory distress syndrome[J]. Curr Opin Crit Care, 2014, 20(1): 86-91. DOI:10.1097/mcc.0000000000000053 |
| [16] | Hill JD, O' Brien TG, Murray JJ, et al. Prolonged extracorporeal oxygenation for acute post-traumatic respiratory failure (shock-lung syndrome)[J]. N Engl J Med, 1972, 286(12): 629-634. DOI:10.1056/nejm197203232861204 |
| [17] | Combes A, Brodie D, Bartlett R, et al. Position paper for the organization of extracorporeal membrane oxygenation programs for acute respiratory failure in adult patients[J]. Am J Respir Crit Care Med, 2014, 190: 488-496. DOI:10.1164/rccm.201404-0630CP |
| [18] | Abrams D, Combes A, Brodie D. Extracorporeal membrane oxygenation in cardiopulmonary disease in adults[J]. J Am Coll Cardiol, 2014, 63(25): 2769-2778. DOI:10.1016/j.jacc.2014.03.046 |
2019, Vol. 28



