脓毒症是感染、烧伤、创伤、休克等急危重症患者的严重并发症[1]。胃肠道作为机体最大的细菌库,其黏膜屏障功能障碍在脓毒症的发生发展过程中起到了至关重要的作用,被认为是脓毒症发生发展重要的始发因素,因此,保护肠黏膜屏障的完整性是脓毒症患者进行治疗的重要组成部分。大黄素(1, 3, 8-三羟基-6甲基蒽醌,Emodin)作为传统中药大黄重要的活性组分,具有抑菌、抗炎、抗氧化、抗病毒、抗肿瘤等多种药理作用[2],在脓毒症动物肠黏膜损伤的治疗方面也表现出了独特的治疗效果,可以降低脓毒症大鼠肠道的通透性并减轻黏膜上皮的损伤[3-4]。
MicroRNA(miRNA)是一类内生的、长度约为20~24个核苷酸的小RNA,能够在转录水平负调节其靶基因,从而对细胞内多种生物学功能发挥调控作用。作为炎症反应的启动子之一,miRNA能够调节免疫细胞的活化以及炎症细胞因子的释放,因此,在消化系统中,其不仅参与维持肠黏膜屏障的稳定性,还参与了各种肠道疾病的发生发展,包括炎症性肠病、肠系膜血管缺血性疾病等[5-6]多种肠道疾病中已经被证实检测出miRNA表达水平的异常升高或降低。然而在大黄素治疗脓毒症保护患者肠黏膜屏障的过程中,miRNA表达谱的变化目前未见报道。本研究通过复制小鼠脓毒症模型,筛选出给药与否差异表达的miRNAs,通过生物信息学技术预测其靶基因并进行功能注释,初步探索大黄素对脓毒症小鼠肠道miRNA表达谱的调控作用以及涉及到的相关通路变化。
1 材料与方法 1.1 实验动物和药物雄性SPF级c57小鼠,体质量18~22 g/只,购自上海灵畅生物科技有限公司(动物质量合格证编号:2013001835813)。本研究动物实验已获得复旦大学附属中山医院动物伦理委员会批准(伦理审查号:2018-076)。大黄素购自美国MCE公司。
1.2 实验仪器和试剂肿瘤坏死因子-α(tumor necrosis factor-α, TNF-α)/白介素-6(interleukin-6, IL-6)酶联免疫分析试剂盒(深圳市达科为生物技术股份有限公司),肠型脂肪酸结合蛋白(intestinal fatty acid binding protein, I-FABP)酶联免疫分析试剂盒(北京索莱宝科技有限公司),组织RNA提取试剂盒(上海奕杉生物科技有限公司),PCR引物及PCR检测相关试剂盒(广州市锐博生物科技有限公司),小鼠miRNA Microarray(美国Agilent公司),实时荧光定量PCR仪(德国Eppendorf公司),NanoDrop DN-2100分光光度计(美国Thermo Scientific公司),芯片扫描仪(美国Agilent公司)。
1.3 动物模型的构建及分组按照随机数字表法将小鼠分为3组,每组14只:假手术组(Sham组),脓毒症模型组(Sepsis组),大黄素干预组(Emodin组)。适应性饲养一周后,提前12 h禁食,自由饮水,采用盲肠结扎穿孔法(CLP)建立脓毒症小鼠模型[7-8]。小鼠腹腔注射1%戊巴比妥钠麻醉(50 mg/kg),备皮后固定于操作台上,常规消毒铺巾,于前腹正中线做1 cm切口,小心游离盲肠及其系膜,在盲肠远端40%的位置结扎,使用22 G套管针自肠系膜血管侧对向贯穿被结扎盲肠,挤出少许肠内容物并控制流出量,将盲肠及其内容物还纳回腹腔,逐层缝合腹壁切口。术毕立即皮下注射37℃预热的生理盐水补充体液丢失(0.5 mL/10 g)。Sham组只进行开腹、关腹手术,将盲肠游离出腹腔然后还纳,不做结扎穿孔,其他操作同造模组。Emodin组术前0.5 h以及术后每12 h给予大黄素(溶于2%二甲基亚砜溶液)40 mg/kg腹腔注射治疗一次,假手术组和脓毒症模型组则给予同等剂量2%二甲基亚砜溶液腹腔注射。手术48 h后采血并使用脊椎脱臼法处死实验小鼠,距离回盲部2 cm取出部分回肠组织,使用生理盐水冲洗后放入冻存管并迅速置于液氮中保存。
1.4 肠组织病理学检查取下的回肠组织置于4%中性甲醛固定液室温下固定24 h,常规石蜡包埋、切片(5 μm厚),行苏木精-伊红染色,光镜下观察肠组织病理学改变,评估小鼠肠道上皮组织损伤程度。
1.5 酶联免疫吸附实验(ELISA)使用ELISA法检测外周血TNF-α、IL-6以及I-FABP含量。术后48 h使用摘眼球法采集小鼠血液,室温自然凝固30 min后,离心20 min,3 000 r/min,仔细收集上清液,严格按照ELISA试剂盒说明书的步骤测定血清中TNF-α、IL-6以及I-FABP的含量。
1.6 miRNA芯片筛查从脓毒症模型组和大黄素干预组中每组随机挑选3只小鼠进行miRNA芯片筛查。使用Trizol法提取肠组织总RNA,提取出来的RNA用NanoDrop ND-1000分光光度计检测其质量及含量,用变性的琼脂糖凝胶电泳法检测RNA的完整性,两者均合格后进入后续实验。标记RNA前使用Agilent ND-1000再次检查RNA质量,判断其是否降解,然后使用Agilent miRNA Complete Labeling and Hyb Kit进行标记并和芯片进行杂交,随后使用Agilent Microarray Scanner对洗涤后的芯片进行扫描,通过Agilent Feature Extraction软件采集芯片探针信号值获得芯片扫描图,并通过读值获得原始的数据信息。最后使用GeneSpring GX v14.9软件(Agilent Technologies)对原始数据进行Quantile标准化和随后的数据处理。两组样本间具有统计学意义差异表达的miRNA通过差异表达倍数(fold change值)筛选,使用R脚本进行层次聚类,结果使用热图展示。
1.7 实时荧光定量PCR验证差异表达的miRNA为了验证芯片结果的准确性,从获得的23个差异表达的miRNA中随机挑选出3个miRNA(mmu-miR-183-5p,mmu-miR-155-5p,mmu-miR-429-5p)进行real-time PCR验证。首先,按照组织RNA提取试剂盒说明书的要求应用柱法进行总RNA的提取,紫外分光光度计测量RNA浓度合格后进入后续步骤。参加验证的miRNA及内参U6引物序列均由广州锐博生物公司设计合成,严格按照miDETECT A Track™ miRNA qRT-PCR Starter Kit使用说明书的步骤对获得的总RNA进行Poly(A)加尾、反转录以及实时定量PCR检测。其中,PCR反应条件采用三步法进行:95℃预变性10 min;循环扩增(40个循环):95℃ 2 s,60℃20 s,70℃10 s;溶解曲线生成。每个样本每个基因设置3个复孔,96孔板放入qRT-PCR仪后,启动以上程序进行PCR反应,采用2-ΔΔCt相对定量法进行样本相对表达量的分析。
1.8 靶基因预测及生物信息学分析从获得的23个差异表达的miRNA中选择10个差异倍数较大的或者与脓毒症关系较为密切的miRNA行靶基因预测,同时使用targetscan7.1和mirdbV5两个数据库的预测结果作为候选靶基因集并进行后续分析。根据Gene Ontology分类原则对miRNA的靶基因进行功能富集(GO)分析。Kyoto Encyclopedia Genes and Genomes(KEGG)途径分析用于确定这些靶基因的潜在通路。
1.9 统计学方法采用SPSS 21.0进行统计分析。正态分布的计量资料用均数±标准差(Mean±SD)表示,各组间采用单因素方差分析,组间两两比较采用SNK-q检验,方差不齐时采用Mann-Whitney U检验,以P < 0.05为差异有统计学意义。
2 结果 2.1 各组小鼠血清炎症指标以及肠型脂肪酸结合蛋白的变化与Sham组相比,Sepsis组和Emodin组小鼠血清TNF-α、IL-6以及I-FABP的含量明显升高(P < 0.05)。与Sepsis组相比,Emodin组小鼠血清中TNF-α、IL-6以及I-FABP的含量均出现下降(P < 0.05),表明大黄素腹腔注射给药可以缓解脓毒症小鼠的全身炎症反应并改善了肠道黏膜的损伤,见表 1。
| 组别 | 炎症因子 | IFABP(ng/mL) | |
| TNF-α(pg/mL) | IL-6(pg/mL) | ||
| Sepsis组 | 509.43±72.43a | 61.46±25.97a | 67.12±12.50 a |
| Emodin组 | 377.33±86.52ab | 29.48±9.34ab | 50.59±8.22ab |
| Sham组 | 31.05±29.17 | 11.72±1.74 | 34.53±4.92 |
| F值 | 94.37 | 17.45 | 22.48 |
| P值 | < 0.01 | < 0.01 | < 0.01 |
| 注:与Sham组比较,aP < 0.05;与Sepsis组比较,bP < 0.05 | |||
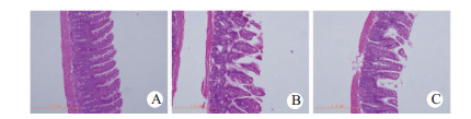
显微镜下,Sham组小鼠小肠黏膜各层结构清晰,黏膜表层完整,腺体结构正常,排列整齐(图 1A);Sepsis组小鼠绒毛上皮细胞的排列出现紊乱,连续性断裂,出现炎症细胞浸润(图 1B);而Emodin组小鼠小肠绒毛结构破坏相对较轻,炎症细胞浸润也相对较少(图 1C)。
|
| A:Sham组;B:Sepsis组;C:Emodin组 图 1 各组小鼠小肠组织病理改变(HE×100) Fig 1 Histopathological changes of intestine in each group(HE×100) |
|
|
Emodin组与Sepsis组相比,共检出857个具有差异表达的miRNA。按照fold change值> 1.5的标准从中筛选出23个差异表达明显的miRNA(P < 0.05)。然后根据差异倍数以及与脓毒症或者肠道疾病的关系,再次从上面筛选出的miRNA中获得10个目的miRNA(表 2)。其中,表达上调的miRNA有7个,分别为mmu-miR-32-5p、mmu-miR-206-3p、mmu-miR-96-5p、mmu-miR-183-5p、mmu-miR-27b-3p、mmu-miR-148b-3p和mmu-miR-200a-3p。表达下调的miRNA有3个,分别为mmu-miR-337-5p、mmu-miR-155-5p和mmu-miR-429-5p。利用相关软件将差异表达的miRNA进行层次聚类分析,见图 2。
| miRNA | 差异倍数 | P值 |
| 上调的miRNA | 22.585 2 | 0.019 8 |
| mmu-miR-32-5p | ||
| mmu-miR-206-3p | 13.223 3 | 0.044 7 |
| mmu-miR-96-5p | 2.218 1 | 0.022 8 |
| mmu-miR-183-5p | 1.694 8 | 0.022 7 |
| mmu-miR-27b-3p | 1.661 1 | 0.012 5 |
| mmu-miR-148b-3p | 1.582 5 | 0.044 0 |
| mmu-miR-200a-3p | 1.561 4 | 0.020 2 |
| 下调的miRNA | 3.014 1 | 0.001 9 |
| mmu-miR-337-5p | ||
| mmu-miR-155-5p | 2.030 7 | 0.043 6 |
| mmu-miR-429-5p | 1.508 0 | 0.032 0 |
|
| 图 2 差异表达miRNA的聚类热图 Fig 2 Hierarchical clustering of differentially expressed miRNAs |
|
|
随机挑选出3个miRNA进行qRT-PCR验证, 分别为mmu-miR-32-5p、mmu-miR-183-5p、mmu-miR-155-5p。统计处理后的结果表明,与Sepsis组相比,Emodin组小鼠肠道miR-32-5p和miR-183-5p的表达量明显上调(P < 0.05),而miR-155-5p的表达量则明显下调(P < 0.05),PCR验证miRNA表达变化趋势与芯片结果一致(图 3),证明芯片结果可靠。
|
| A:小鼠肠道miR-32-5p,miR-183-5p,miR-155-5p表达变化的原始芯片结果;B:小鼠肠道miR-32-5p,miR-183-5p,miR-155-5p表达变化的real-time qPCR验证结果;与Sepsis组比较,aP < 0.05,n=9 图 3 差异表达miRNA的qRT-PCR验证 Fig 3 Confirmation of differentially expressed miRNAs in ileum of mice by real-time PCR |
|
|
采用targetscan7.1和mirdbV5两个可以预测小鼠miRNA靶点的数据库对上述筛选出的10个miRNA进行靶基因预测,并将得到的候选靶基因用于后续的生物信息学分析。GO显著性分析结果主要包括三个部分:生物学过程(biological process,BP)、细胞组分(cellular component,CC)和分子功能(molecular function,MF)。其中,在生物学过程方面差异有统计学意义的GO条目共2 072个,涉及大分子代谢、多细胞生物发育、含氮化合物代谢等生物学过程(图 4A);在细胞组分方面具差异有统计学意义的GO条目共246个,涉及细胞内细胞器、膜结合相关细胞器、高尔基体等多个胞内组成成分(图 4B);在分子功能方面具差异有统计学意义的GO条目共277个,多以分子结合类的功能为主,涉及酶结合、蛋白结合、离子结合等功能(图 4C)。KEGG途径分析结果显示,共77条具差异有统计学意义的信号转导通路被检出(图 4D),包括PI3K-Akt信号通路、磷脂酶D信号通路、MAPK信号通路等,按照富集程度[enrichment score,-log10(P值)],在此取前10位GO条目或者信号通路进行最后展示。
|
| A:生物过程;B:细胞组分;C:分子功能;D:KEGG通路 图 4 靶基因GO功能富集分析及KEGG途径分析 Fig 4 GO category and KEGG pathway analysis on targets of differentially expressed miRNAs |
|
|
本研究发现与Sepsis组相比,大黄素干预后,小鼠血清炎症因子(TNF-α、IL-6)出现了下降,其中以IL-6下降幅度更为显著,大黄素可以抑制脓毒症所致的全身炎症反应,和文献报道基本一致[3, 9]。与心型脂肪酸结合蛋白在临床中的应用类似[10],肠型脂肪酸结合蛋白(I-FABP)作为小肠特有的生物标志物,也可以用于肠道功能障碍的血清学检测[11]。Emodin组与Sepsis组相比血清I-FABP浓度降低,结合镜下肠道病理的改善表明大黄素的腹腔注射给药能够减轻脓毒症小鼠的肠道损伤。
已有研究表明,大黄素可以增加造模后肠系膜微静脉的流速,改善肠道微循环[12],并通过影响JAK1/STAT3信号通路调节凋亡基因Bcl-2和Bax的表达减少脓毒症大鼠空肠上皮细胞的凋亡[3]。此外,通过增强紧密连接蛋白(ZO-1, occludin和claudin-5)的转录、翻译和表达,大黄素还可以直接改善脓毒症大鼠的肠道黏膜损伤[4]。结合本研究结果,在脓毒症的发展过程中,大黄素对于保护肠道上皮细胞,维持肠黏膜屏障的完整性的确起到了重要的作用。但是,这些过程是否涉及miRNA表达谱的变化,却未见报道。
通过miRNA芯片分析技术,本研究观察到了脓毒症小鼠给药与否48 h后的小肠miRNA表达谱,并获得了10个差异表达的miRNA。从中随机挑选出3个miRNA经qRT-PCR验证结果显示:Emodin组与Sepsis组相比,miR-32-5p和miR-183-5p表达显著上调(P < 0.05),miR-155-5p表达显著下调(P < 0.05),表达变化趋势与芯片结果一致。而相关研究表明,miR-32-5p通过靶向FSTL1相关的通路在结核分枝杆菌感染期间能够调节宿主细胞的炎症反应[13]。miR-183-5p可以靶向claudin1 3′端调节神经束膜屏障的通透性,claudin1作为一种重要的细胞紧密连接蛋白,也参与到了肠黏膜屏障的构成[14-15]。血清miR-155-5p在脓毒症患者身上表达上升,可能可以作为脓毒症诊断的特异性标志物,其表达量的上调也可以视为影响脓毒症预后的独立危险因素[16]。
为了进一步探索差异表达miRNA的功能,本研究对筛选出的10个miRNA进行靶基因预测,并对这些可能的靶基因利用相关软件进行生物信息学分析。GO富集分析结果表明胞体内膜系统、高尔基体以及与膜结合相关的细胞器等多个细胞组分参与到了脓毒症小鼠肠道损伤的病理过程,涉及到了高分子代谢、多细胞生物发育、细胞学过程的负调节等多个生物学过程,这其中以机体物质的分子结合功能改变为主,具体包括酶类、离子以及杂环化合物等各自的结合变化,说明大黄素可能通过调节这一系列的分子功能变化发挥其对脓毒症小鼠的肠黏膜屏障保护作用。KEGG途径分析结果表明这些靶基因可能参与的信号通路有77条,涉及到脓毒症相关的通路有PI3K-Akt信号通路[17]、MAPK信号通路[18]、TNF信号通路、AMPK信号通路[19]、紧密连接蛋白相关通路等。这其中,富集程度最高的是磷脂酰肌醇3-激酶/蛋白激酶B(PI3K/Akt)信号通路,作为经典的信号通路,PI3K-Akt通路在细胞存活和抗凋亡中发挥着重要的作用,已有研究表明其参与并缓解脓毒症所致的脑损伤以及心肌功能障碍[17, 20],此外,它还可以与CD40L信号通路协同参与调节脓毒症中血小板的活化以及血管内皮细胞的损伤[21]。
综上所述,大黄素可以通过调控多个miRNA,进而多靶点多途径地参与改善脓毒症小鼠的肠道损伤,修复肠道黏膜屏障的完整性。本研究利用芯片技术并结合生物信息学分析为进一步研究大黄素对脓毒症肠黏膜功能障碍的治疗提供新的切入点:差异表达的miRNA以及涉及到的新的信号通路等。今后会进一步探索上述差异miRNA的靶基因以及涉及的信号通路和细胞功能,为推动大黄单体在临床的应用提供更多的理论依据,也为脓毒症的治疗提供新的思路。
| [1] | Benz F, Roy S, Trautwein C, et al. Circulating microRNAs as biomarkers for sepsis[J]. Int J Mol Sci, 002016, 17(1). DOI: 10.3390/ijms17010078. |
| [2] | 张喜平. 大黄素的药理作用研究概况[J]. 中国药理学通报, 2003, 19(8): 851-854. DOI:10.3321/j.issn:1001-1978.2003.08.004 |
| [3] | Chen YK, Xu YK, Zhang H, et al. Emodin alleviates jejunum injury in rats with sepsis by inhibiting inflammation response[J]. Biomed Pharmacother, 2016, 84: 1001-1007. DOI:10.1016/j.biopha.2016.10.031 |
| [4] | Wang L, Cui YL, Zhang Z, et al. Rhubarb monomers protect intestinal mucosal barrier in sepsis via junction proteins[J]. Chin Med J (Engl), 2017, 130(10): 1218-1225. DOI:10.4103/0366-6999.205855 |
| [5] | He C, Yu TM, Shi Y, et al. MicroRNA 301A promotes intestinal inflammation and colitis-associated cancer development by inhibiting BTG1[J]. Gastroenterology, 2017, 152(6): 1434-1448. DOI:10.1053/j.gastro.2017.01.049 |
| [6] | He XM, Zheng YQ, Liu SZ, et al. MiR-146a protects small intestine against ischemia/reperfusion injury by down-regulating TLR4/TRAF6/NF-κB pathway[J]. J Cell Physiol, 2018, 233(3): 2476-2488. DOI:10.1002/jcp.26124 |
| [7] | Rittirsch D, Huber-Lang MS, Flierl MA, et al. Immunodesign of experimental sepsis by cecal ligation and puncture[J]. Nat Protoc, 2009, 4(1): 31-36. DOI:10.1038/nprot.2008.214 |
| [8] | Ruiz S, Vardon-Bounes F, Merlet-Dupuy V, et al. Sepsis modeling in mice: ligation length is a major severity factor in cecal ligation and puncture[J]. Intensive Care Med Exp, 2016, 4(1): 22. DOI:10.1186/s40635-016-0096-z |
| [9] | Yin JT, Wan B, Liu DD, et al. Emodin alleviates lung injury in rats with sepsis[J]. J Surg Res, 2016, 202(2): 308-314. DOI:10.1016/j.jss.2015.12.049 |
| [10] | 周益平, 熊熙, 王春霞, 等. 心型脂肪酸结合蛋白在儿童严重脓毒症及脓毒性休克中的意义[J]. 中华急诊医学杂志, 2018, 27(6): 605-610. DOI:10.3760/cma.j.issn.1671-0282.2018.06.007 |
| [11] | Shi H, Wu BY, Wan J, et al. The role of serum intestinal fatty acid binding protein levels and D-lactate levels in the diagnosis of acute intestinal ischemia[J]. Clin Res Hepatol Gastroenterol, 2015, 39(3): 373-378. DOI:10.1016/j.clinre.2014.12.005 |
| [12] | 吴可人, 张勤, 叶再元. 大黄素对脓毒症大鼠保护作用的实验研究[J]. 浙江临床医学, 2007, 9(5): 579-580. DOI:10.3969/j.issn.1008-7664.2007.05.002 |
| [13] | Zhang ZM, Zhang AR, Xu M, et al. TLR-4/miRNA-32-5p/FSTL1 signaling regulates mycobacterial survival and inflammatory responses in Mycobacterium tuberculosis -infected macrophages[J]. Exp Cell Res, 2017, 352(2): 313-321. DOI:10.1016/j.yexcr.2017.02.025 |
| [14] | Oh-Oka K, Kono H, Ishimaru K, et al. Expressions of tight junction proteins occludin and claudin-1 are under the circadian control in the mouse large intestine: implications in intestinal permeability and susceptibility to colitis[J]. PLoS One, 2014, 9(5): e98016. DOI:10.1371/journal.pone.0098016 |
| [15] | Yang SB, Krug SM, Heitmann J, et al. Analgesic drug delivery via recombinant tissue plasminogen activator and microRNA-183-triggered opening of the blood-nerve barrier[J]. Biomaterials, 2016, 82: 20-33. DOI:10.1016/j.biomaterials.2015.11.053 |
| [16] | 兰超, 史晓朋, 郭楠楠, 等. 血清miR-155-5p和miR-133a-3p对脓毒症诊断及预后的评估价值[J]. 中华危重病急救医学, 2016, 28(8): 694-698. DOI:10.3760/cma.j.issn.2095-4352.2016.08.005 |
| [17] | Tang GM, Yang HY, Chen J, et al. Metformin ameliorates sepsis-induced brain injury by inhibiting apoptosis, oxidative stress and neuroinflammation via the PI3K/Akt signaling pathway[J]. Oncotarget, 2017, 8(58): 97977-97989. DOI:10.18632/oncotarget.20105 |
| [18] | 陶杨, 肖玲, 黄健, 等. 乌司他丁通过miR-21/p38MAPK通路对脓毒症保护作用的研究[J]. 中华急诊医学杂志, 2018, 27(11): 1242-1247. DOI:10.3760/cma.j.issn.1671-0282.2018.11.012 |
| [19] | Huang J, Liu K, Zhu S, et al. AMPK regulates immunometabolism in sepsis[J]. Brain Behav Immun, 2018, 72: 89-100. DOI:10.1016/j.bbi.2017.11.003 |
| [20] | An R, Zhao L, Xi C, et al. Melatonin attenuates sepsis-induced cardiac dysfunction via a PI3K/Akt-dependent mechanism[J]. Basic Res Cardiol, 2016, 111: 8. DOI:10.1007/s00395-015-0526-1 |
| [21] | Wan P, Tan X, Xiang Y, et al. PI3K/AKT and CD40L signaling regulate platelet activation and endothelial cell damage in sepsis[J]. Inflammation, 2018, 41(5): 1815-1824. DOI:10.1007/s10753-018-0824-5 |
2019, Vol. 28



